骨の再生医療 IOBP用医療機器 「IOBPキット」の販売を開始
骨の中にPRPや細胞などの生物由来材料を専用の医療機器で注入し骨の治癒や再生を促す

Arthrex Japan合同会社(本社:東京都新宿区、職務執行者:皿澤義隆)は、骨の再生医療 IOBP(Intraosseous Bioplasty)用「IOBPキット」の全国販売を2024年10月より開始いたします。
IOBPはBML(Bone marrow lesion、骨髄異常陰影)に対する治療であり、体への負担が少ない手術です。骨の中にPRPや細胞などの生物由来材料を専用の医療機器で注入し、骨の治癒や再生を促します。
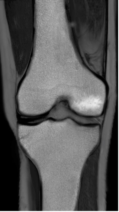
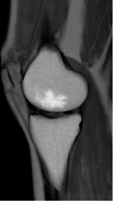
BML(Bone marrow lesion、骨髄異常陰影)とは
BML(Bone marrow lesion、骨髄異常陰影)はMRIで発見することのできる骨髄内の異常のことを言い、軟骨の下の骨の微小骨折による骨髄内の炎症または浮腫(水分が骨に溜まった状態)、壊死(骨が死んでしまった状態)をあらわすとされています。
BMLは痛みと強い関係があることが示されていて、標準的な保存治療のヒアルロン酸注射や近年注目されている再生医療のPRP療法でも改善しない関節痛の原因となっている可能性が指摘されています。


IOBP(Intraosseous Bioplasty)とは
IOBPは骨の中に「Angel cPRP/BMCシステム」などで調整したPRP(多血小板血漿)やBMC(濃縮骨髄液)などの生物由来材料を専用の医療機器で注入し、骨の治癒や再生を促す治療です。
現在BMLに対する標準的治療としては人工関節全置換術(人工物で関節を置き換える)や骨切り術(骨を切って体重のかかる所をずらす方法)が行われます。人工関節全置換術は耐久年数による再手術が必要となる可能性があり、骨切り術は手術侵襲(体に大きな負担)や長期入院の問題があります。
IOBPは体に金属を入れることなく、骨の痛みの改善や骨の再生が期待されている治療手技です。特に変形性膝関節症や特発性大腿骨頭壊死などの疾患に対しては、欧米を中心に治療の安全性や一定の有効性を示唆するデータが報告されています。その他の整形外科領域でも様々な疾患に対しての臨床使用の報告があります。しかしながら、本邦ではまだ実施例が乏しくその成績に対する見解は一定しておらず、まだ治療法としては確立されていません。以下に主な治療法を紹介します。

|
治療目的 |
一般的な治療方法 |
|
変形性関節症や骨軟骨損傷に伴うBMLの治療 |
外科的治療として、患者さんの腸骨(骨盤の骨)から採取した骨髄液を専用の医療機器で濃縮し、BMCを調整し、骨内に注射器で注入します。また、BMCの代わりにPRPを注入する場合もあります。 |
|
特発性大腿骨壊死の治療 |
外科的治療として、患者さんの腸骨(骨盤の骨)から採取した骨髄液を専用の医療機器で濃縮し、BMCを調整し、骨内に注射器で注入します。 |


骨と関節と筋肉の再生医療
以下のサイトでは患者さん向けに整形外科における再生医療について分かりやすく解説しています。

用語の説明
PRP(Platelet-Rich Plasma):日本語で多血小板血漿といい、血小板が多く含まれる血漿のことを指します。
BMC (Bone Marrow Concentrate):日本語で濃縮骨髄液といい、骨髄液に含まれる骨や血管を再生させる細胞や成長因子を含む様々な因子を濃縮し、赤血球から分離したものを指します。
Arthrexについて
Arthrexは、整形外科分野における製品開発やMedical Educationのリーディングカンパニーとして、グローバルに展開している医療機器メーカーです。”Helping Surgeons Treat Their Patients Better™. (外科医が患者により良い治療を提供できるよう支援すること)”を企業理念に掲げており、関節鏡分野における先駆者として低侵襲手術法を向上すべく、10,000以上の革新的な製品や手術手技を開発してまいりました。
Arthrex Japan合同会社について
Arthrex Japan合同会社は、米国フロリダ州に本社を持つArthrex Inc.の日本法人であり、
スポーツ整形外科領域での治療ソリューションを提供しています。
[会社概要]
Arthrex Japan合同会社
代表者:皿澤 義隆
URL: www.arthrex.co.jp
設立:2009年7月
所在地:東京都新宿区西新宿2-4-1 新宿NSビル28階
事業内容:医療機器・器械の製造/輸入/販売
本リリースに関するお問い合わせ先
メールアドレス: JPMarketing@Arthrex.com
電話番号: 03-4578-1000(代表/受付時間:9:00から18:00)

|
販売名 |
承認等番号 |
一般的名称 |
規制区分 |
機能区分 |
|
Angel cPRP/BMCシステム |
30500BZX00054000 |
血液成分分離キット |
クラスⅢ |
非該当 |
|
デリバリーニードル |
304ADBZX00112000 |
単回使用骨内注入用針 |
クラスⅡ |
非該当 |
※本リリースは、報道関係者の皆様に当社の活動内容に関する情報を提供することを目的として作成されています。一般の方への情報提供や製品の広告を目的としたものではありませんのでご了承ください。
すべての画像
