令和5年度第1回東北医学物理スキルアップ研修会を開催
放射線治療計画における自動輪郭抽出とPython画像処理フレームワーク研修会の開催を発表
【令和5年度第1回東北医学物理スキルアップ研修会について】
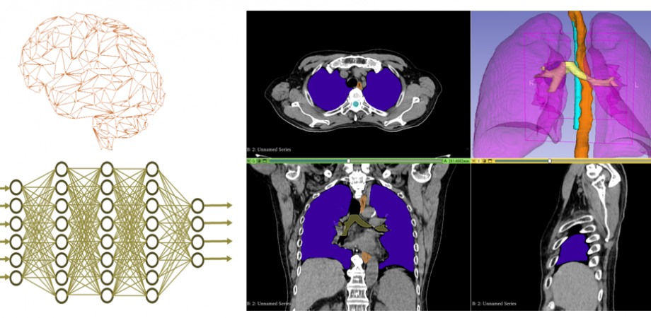
医用画像におけるAIの活用は今後ますます増加すると予想されます。そこで今研修会では、AIの活用方法として既に現場で利用されている放射線治療計画における自動輪郭抽出について、現在の臨床現場での活用例、そのあとは実際にPythonの画像処理フレームワークであるMONAIを使った実習を通して、臨床現場のアプリケーションの活用だけでは理解できないAIの動きを体験してもらうことで自動輪郭抽出の理解を深めるような研修会となっております。

以下のlearning pointに加え、医療スタッフがAIを用いた研究を開始するきっかけにもなればと思っております。どなたでもご参加可能です(プログラム経験が全くなくても問題ありません)。
Learning point
放射線治療現場でのAIを用いた自動輪郭抽出の現状を理解する。
医療現場におけるAIを用いた自動輪郭抽出機能の安全な利用に向けての課題を整理する。
【セミナーの詳細】
ご多忙とは存じますが、皆様のご参加お待ちしております。
日時 令和5年5月27日(土) 12:00~18:00
会場 online開催 (zoom)
参加費(一般:5000円、学生:3000円)
参加特典 実習用コードを付録として配布
定員 200人
実習内容 胸部CT画像を用いた自動輪郭抽出
【プログラム】
12:00-13:00 事前サポート
13:00-13:30 医療現場における自動輪郭抽出の活用について
13:30-14:00 MONAIを使った実習のイントロダクション
14:40-15:00 MONAIの基礎パート1
15:00-15:15 休憩
15:15-16:15 MONAIの基礎パート2
16:15-17:30 MONAIを用いたセグメンテーションの実装
【株式会社Elithについて】
社名:株式会社Elith
代表者:代表取締役 若林怜帆人、取締役CEO兼CTO 井上顧基
本社所在地:東京都渋谷区恵比寿西2-3-13-601
会社概要 URL:https://elith.co.jp
【東北大学大学院医学系研究科について】
東北大学大学院医学系研究科 放射線腫瘍学分野 医学物理グループ
〒980-8574 仙台市青葉区星陵町1-1 東北大学星陵キャンパス医学部3号館9階 医学物理士室
Email: kadoya.n@rad.med.tohoku.ac.jp
HP: http://www.radiol.med.tohoku.ac.jp/medical-physics/members.html
【本プレスリリースに関するお問い合わせ先】
株式会社Elith Eメール:contact@elith.co.jp
すべての画像
