肺がんに対する日帰り手術という新たな治療選択|すぐに受けられる早期肺がんの日帰り手術
ー東京日本橋に専門クリニックが開院ー

東京日本橋 早期肺がん日帰り手術クリニック(院長:浅越 佑太郎、所在地:東京都中央区日本橋2-1-10 柳屋ビルディングB2階)は、令和8年1月に開院いたしました。当院は、早期肺がんに対する日帰り手術という新たな治療の選択肢を保険診療で提供する専門クリニックです。
一般的に「肺がん」と聞くと、長期の入院や継続的な通院治療が必要というイメージを持たれる方が多いかもしれません。確かに、そのような治療を要する種類やステージのがんも存在します。しかし早期肺がんの中には、麻酔科医による適切な全身麻酔管理のもと、習熟した外科医が手術を行えば、1回の手術で切除を完了し治療を終えることが可能な肺がんも存在します。
当院では、そのような早期肺がんに対して日帰りでの肺部分切除術を実施し、患者さまの身体的負担をできる限り抑えながら、根治を目指した標準治療を行っております。
当院は日帰り手術のクリニックですが、受診されたすべての方にいきなり手術を行うわけではありません。当然手術をしなくて良いのであればそれに越したことはありませんので、手術の前にまずは「正確な診断」が重要です。
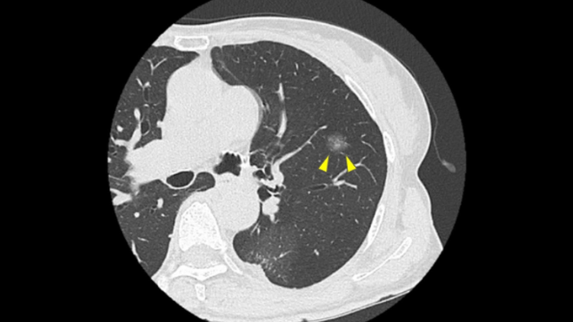
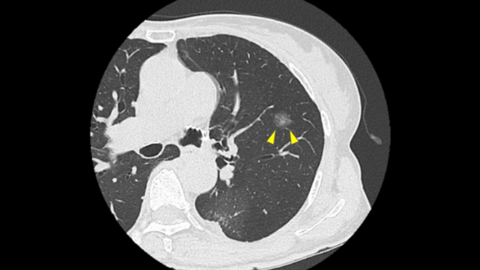
健診で「肺に影がある」と言われた時、最も大切なのは「その影は手術が必要な悪いものなのか」それとも「経過観察で良いものなのか」を、早い段階で専門医に相談することです。
当院ではCT検査の画像を、専門医4名体制で迅速に確認し、肺の影について手術をすべきかそうでないのかを正確に見極めることから始めます。健診で要精密検査と言われた方にはぜひ一度受診していただきたいと思います。
院長メッセージ

私は奈良県立医科大学を卒業後、麻酔科医として手術室、集中治療室、ペインクリニックで様々な経験を積んできました。
その中でも国立がん研究センター中央病院での勤務年数が最も長く、肺がんを含むあらゆるがんの周術期管理に携わって参りました。がんを宣告された患者様は、一様に不安な思いを抱え、自らの命と真剣に向き合うことになります。そこで、がん治療には確実性、安全性は当然のことながら、スピード感も非常に重要であることを実感しました。
不安を抱えた患者様に、可能な限り早く元通りの安心した生活に戻っていただきたいという思いから、麻酔科医が管理する安全で痛みに配慮した肺がん手術を行う必要があると考えました。そこで、国立がん研究センター中央病院で共に働いた優秀な呼吸器外科医の協力のもと、東京日本橋に早期肺がん日帰り手術クリニックを開院するに至りました。
肺がんの早期治療は非常に重要です。不安を抱えたまま手術まで何週間もお待ちいただく必要はありません。
「検診で肺に影が見つかって、どこに行けばいいかわからない」
「すぐにでも肺がんの手術を受けたいのに、なかなか手術を受けられない」
「他の先生の意見も聞いてみたい」
このような方は、まずは当院にご相談ください。メールとLINEによる医師への無料相談も24時間受け付けております。
東京日本橋 早期肺がん日帰り手術クリニック
院長 浅越 佑太郎
当院の特徴
約1時間の早期肺がん日帰り手術

早期肺がんの中には、短時間の手術で腫瘍の切除が完了する肺がんがあります。当院では肺がん治療を専門とする呼吸器外科医が執刀し、そこに慎重な全身麻酔管理を組み合わせることで、当日の帰宅が可能です。手術時間は長くて1時間、朝からの手術の場合、麻酔からの回復も含めて午前中にご帰宅が可能です。
肺がん治療では、安全性、確実性は当然のことながら、スピード感も重要と考えます。肺がんかもしれないという思いを抱えながらの生活は想像以上にストレスがかかるものです。また、日帰りによる早期の社会復帰により、入院しているよりもリハビリが早く進むメリットもあります。術後は心配なことがあればいつでもご連絡いただける診療体制も整えております。

専門医4名体制で実現する「肺がんの早期発見」

肺がんによる死亡数を減らすことを最終目標に掲げる当クリニックは、日帰り手術だけではありません。早期発見にも力を入れています。
実は、健診のレントゲンやCT検査で肺がんらしい影が見つかっているのに早期に手術までたどり着いていない患者様が非常に多いです。実際に、肺炎として抗生剤治療をされていたり、経過観察を指示されているケースを見受けます。
肺に影が見つかった時に最も重要なのは「手術が必要な肺がんらしい影なのか、手術せずに経過観察で良いタイプの影なのか」をできる限り早く正確に見極めることです。そして、CT画像から手術の必要性を最終的に判断できるのは「肺がん手術を専門とする呼吸器外科医」ですが、そういう医師にたどり着くまでに長い時間がかかっている患者さまが多いです。
肺に影が見つかった方にとって、治療方針が決まらないまま過ぎてゆく時間そのものが大きな不安につながります。
当院では、肺がん治療を専門とする呼吸器外科医、麻酔科医を含む4名の専門医が迅速にCT画像を確認し、患者さまがすぐに相談できる診療体制を整えていますので、初診の段階から手術すべきかどうかのご提案が可能です。もちろん、その上で経過観察が適切であると判断する場合もありますが、どれだけ小さくても肺に影がある場合、一度は呼吸器外科医に診てもらっておくことで、手術の機会を逸する可能性は低くなり、患者さまが抱える不安を軽減できると考えます。
肺がんは徐々にではありますが確実に進行する病気です。早期発見を次の確実な一歩へ繋げるためには、できるだけ早期に手術を受けることが望まれます。
肺がんは日本人のがんによる死因の第1位ですが、その理由は、発見時にはすでに手術が困難なケースが多いためです。一方で早期に手術を行えば5年生存率が高いがんです。
肺がんの早期治療は非常に重要です。不安を抱えたまま手術まで何週間もお待ちいただく必要はありません。まずは当院にご相談ください。
がんの診断から手術日までを最短で
がんと診断されてから手術まで待つ時間というのは精神的につらく、非常に長く感じるものです。当院では手術枠を全て肺がん手術に割り当てていますので、総合病院のような長い手術待機の期間がありません。初診日に手術日を決定し、最短でその翌日、遅くともおおよそ1週間後には手術が可能です。がんの手術は早いに越したことはありません。
また、手術までに何度も通院していただく必要もございません。基本的に術前の来院は1回のみ、手術日を含めて通院2回で肺がん治療が完了するような体制を整えております。さらに、遠方にお住まいの方や、やむを得ない理由で手術前のご来院が難しい場合は、手術日に初めて来院していただくことも可能です。(ただし、事前にCT画像や検査結果などが必要となります。)
術後は必要に応じて来院していただきますが、オンラインでの診療にも対応しております。患者様の個々の事情に合わせた対応は、クリニックだからこそできる強みです。
痛みに配慮した肺がん手術

かつての肺がん手術は、大きく胸を切開する「開胸手術」が主流でしたが、現在では胸腔鏡を用いた低侵襲手術が一般的となり、身体への負担は大幅に軽減されています。とはいえ、肺の手術は術後に痛みを感じやすい部位でもあるため、術後の疼痛管理は非常に重要です。
一般的に術後の痛みの管理は外科医が行うことが多いのですが、当院ではすべて日本麻酔科学会認定の麻酔科専門医が担当します。麻酔科医は「痛みのプロフェッショナル」として、患者様一人ひとりの状態に合わせ、よりきめ細やかな痛みのコントロールを行うことが可能です。
このように当院では、麻酔科専門医による疼痛管理の一元化や術中・術後を通じた適切な疼痛管理を徹底し、術後の痛みを可能な限り軽減する体制を整えています。
信頼できる医師陣
外科医に関しては、国立がん研究センター中央病院で共に手術に入って働いていた医師が中心となって執刀いたします。麻酔科医に関しては、基本的には院長が担当します。
また、病院で医師と話す際に緊張される患者様を時折お見受けするのですが、少しでもわからないことがありましたらご遠慮なく医師にお尋ねください。我々は患者様からのご質問は大歓迎です。お話をしっかりとお聴きして、患者様が納得されるまで誠心誠意お答えいたします。
がんの肺転移に対する日帰り手術

他臓器のがん細胞が血流を介して肺に到達し、結節として増殖したものを「転移性肺腫瘍」といいます。大腸がん、骨肉腫、軟部肉腫からの転移が多いです。
肺は全身の静脈血(全身の組織に酸素を届け終えた後の血液)が最初に通過する臓器であるため、血行性に転移が生じやすい特性を持ちます。
一般的にがんが転移したら手術ができないと諦められる方が多いですが、「肺転移=手術不能」というわけではありません。条件を満たす症例では、外科的な完全切除により生命予後の改善が期待できることが示されています。
当院では主に早期肺がんを日帰り手術で行っておりますが、転移性肺がんについても同様の術式で日帰り手術を受けていただけます。手術時間1時間以内、痛みに配慮した胸腔鏡下手術、麻酔科医による術後疼痛管理により、「条件を満たす症例で、転移性肺がんでも日帰り手術での対応が可能」です。
東京駅徒歩7分、日本橋駅直結

JR東京駅徒歩7分、地下鉄日本橋駅直結という立地のため、関東圏の方はもちろん、遠方の患者様も新幹線でのアクセスが抜群です。何週間も手術を待ったり入院することを思えば、東京駅まで新幹線で来ていただけさえすれば早期の手術が可能です。
クリニック概要
東京日本橋 早期肺がん日帰り手術クリニック
院長:浅越 佑太郎
住所:〒103-0027 東京都中央区日本橋2-1-10 柳屋ビルディングB2階
※ JR東京駅八重洲口から徒歩7分、地下鉄日本橋駅A6.B5出口直結
ホームページ:https://tokyo-haigan.net/
このプレスリリースには、メディア関係者向けの情報があります
メディアユーザー登録を行うと、企業担当者の連絡先や、イベント・記者会見の情報など様々な特記情報を閲覧できます。※内容はプレスリリースにより異なります。
すべての画像
- 種類
- その他
- ビジネスカテゴリ
- 医療・病院
- キーワード
- 肺がん日帰り手術クリニック早期肺がん
