「高画質」「高機能」「操作性」を追求したポータブル超音波画像診断装置「HM70 EVO」を発売します。
アイソン株式会社は、「高画質」「高機能」ながら、初心者でも使いやすい「操作性」を兼ね備えたポータブル超音波画像診断装置「HM70 EVO」を本日発売いたします。
【背景】
X線撮影やCT検査など様々な画像検査が行われる中、リアルタイム性に優れた超音波検査は、画像診断技術としてますます注目され、活用されるシーンも広がってきています。
特徴的な活用シーンが、問診や視診・触診などの身体所見に加え、関心領域に絞って超音波検査を行う「Point of Care Ultrasound(POCUS)」。
弊社では、2018年より、POCUSの場面で活用できるポケット型超音波画像診断装置「SONONシリーズ」を販売開始。2023年2月には新製品「SONON500L」発売し、「携帯性」と「高画質」を更に向上させ、多岐にわたる医療ニーズに応えてまいりました。
そのような中、さらなる「高画質」「高機能」を求める現場にも対応できる、ポータブル型の超音波画像診断装置「HM70 EVO」を発売致します。
【HM70 EVOの特徴】
ポータブル超音波画像診断装置「HM70 EVO」は、高画質テクノロジーを結集した“ハイエンドプラットフォームイメージング”を採用し、高品質かつ鮮やかな画像を実現。
しかも、初心者にもやさしい快適ワークフローの実現で、診察室で、病室で、救急現場で、診断に役立つ高画質を、リアルタイムに提供します。
また、波状デザインの背面パネルに加え、蜂の巣状にデザインされた内部構造など、あらゆる面から耐久性を強化しており、安心のポータビリティを実現しました。
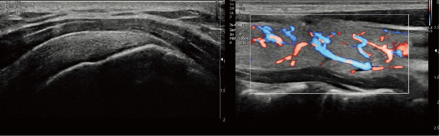
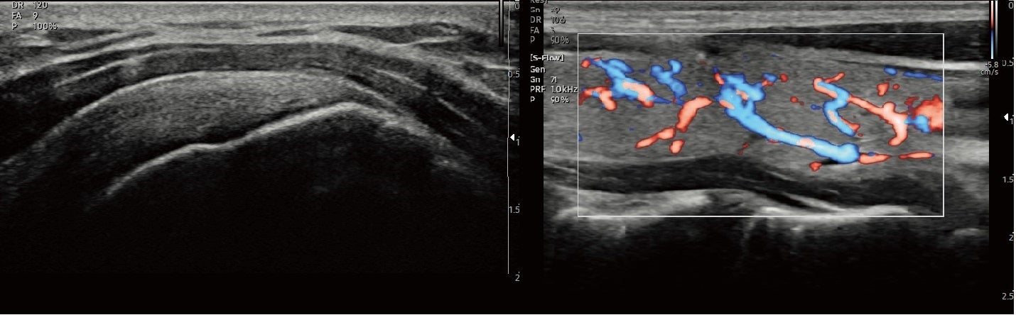
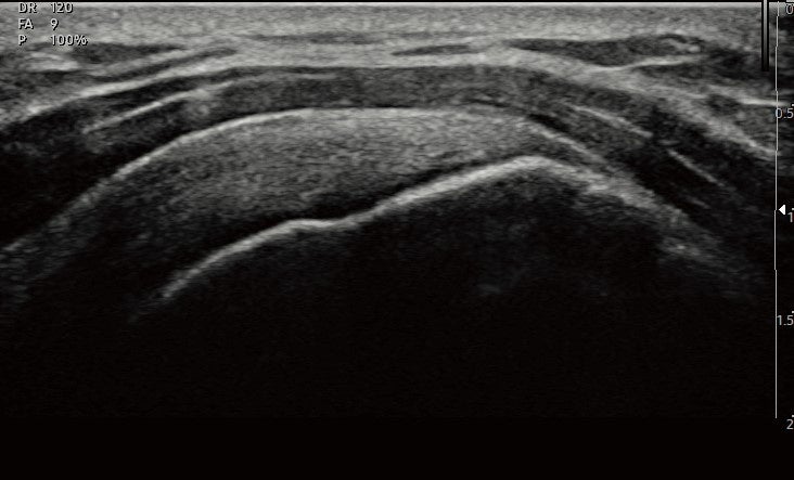
■診断に役立つ鮮明画像を提供 ClearVision
ノイズ低減フィルターが輪郭を強調した鮮明な2D画像を生成し、精度の高い診断をサポートします。また、ライブスキャンモードでは、アプリケーションごとに最適でスムーズなリアルタイム映像を表示します。
■画像領域全体を均一に描出 S-Harmonic
深度によって不均一に描出される画像のノイズを低減し、コントラストを高めることで画像領域全体を均一な画像として描出します。
製品概要
販売名称:超音波画像診断装置HM70 EVO
型式:AES-322
医療機器認証番号:304ADBZX00117000
販売開始:2023年3月17日
主な仕様
本体サイズ:67.2(H)×383.5(W)×355(D)mm
本体重量:約6.0kg(バッテリー含む)
イメージングモード:Bモード、カラードプラモード、パワードプラモード、Mモード、パルスドプラモード
お問い合わせ先
アイソン株式会社
TEL:048-299-3597
HP:https://aison.jp
X線撮影やCT検査など様々な画像検査が行われる中、リアルタイム性に優れた超音波検査は、画像診断技術としてますます注目され、活用されるシーンも広がってきています。
特徴的な活用シーンが、問診や視診・触診などの身体所見に加え、関心領域に絞って超音波検査を行う「Point of Care Ultrasound(POCUS)」。
弊社では、2018年より、POCUSの場面で活用できるポケット型超音波画像診断装置「SONONシリーズ」を販売開始。2023年2月には新製品「SONON500L」発売し、「携帯性」と「高画質」を更に向上させ、多岐にわたる医療ニーズに応えてまいりました。
そのような中、さらなる「高画質」「高機能」を求める現場にも対応できる、ポータブル型の超音波画像診断装置「HM70 EVO」を発売致します。

【HM70 EVOの特徴】
ポータブル超音波画像診断装置「HM70 EVO」は、高画質テクノロジーを結集した“ハイエンドプラットフォームイメージング”を採用し、高品質かつ鮮やかな画像を実現。
しかも、初心者にもやさしい快適ワークフローの実現で、診察室で、病室で、救急現場で、診断に役立つ高画質を、リアルタイムに提供します。
また、波状デザインの背面パネルに加え、蜂の巣状にデザインされた内部構造など、あらゆる面から耐久性を強化しており、安心のポータビリティを実現しました。
■診断に役立つ鮮明画像を提供 ClearVision
ノイズ低減フィルターが輪郭を強調した鮮明な2D画像を生成し、精度の高い診断をサポートします。また、ライブスキャンモードでは、アプリケーションごとに最適でスムーズなリアルタイム映像を表示します。
■画像領域全体を均一に描出 S-Harmonic
深度によって不均一に描出される画像のノイズを低減し、コントラストを高めることで画像領域全体を均一な画像として描出します。

■簡単操作の、直感的なインターフェイス
感的な操作が可能なボタン配置、ひと目で分かりやすい画面レイアウトにこだわり、簡単な操作で必要な情報に素早くアクセスできるため、熟練者はもちろん、初心者でもストレスのない検査を実現します。
製品概要
販売名称:超音波画像診断装置HM70 EVO
型式:AES-322
医療機器認証番号:304ADBZX00117000
販売開始:2023年3月17日
主な仕様
本体サイズ:67.2(H)×383.5(W)×355(D)mm
本体重量:約6.0kg(バッテリー含む)
イメージングモード:Bモード、カラードプラモード、パワードプラモード、Mモード、パルスドプラモード
お問い合わせ先
アイソン株式会社
TEL:048-299-3597
HP:https://aison.jp
すべての画像
- 種類
- 商品サービス
- ビジネスカテゴリ
- 医療・病院
- 関連リンク
- https://aison.jp
- ダウンロード