ホロジックジャパン、最大1200 kPaの弾性率測定や、粘性の定量化ができる 次世代の超音波画像診断装置「SUPERSONIC MACH」を2022年12月20日より販売開始
ウィメンズヘルス分野のリーディングカンパニーであるホロジック社(本社:米国マサチューセッツ州)の日本法人、ホロジックジャパン株式会社(本社:東京都文京区)は、2022年12月20日より超音波画像診断装置 HOLOGIC SUPERSONIC MACH 30及びHOLOGIC SUPERSONIC MACH 20の販売を開始いたします。
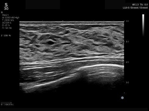
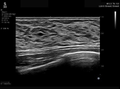
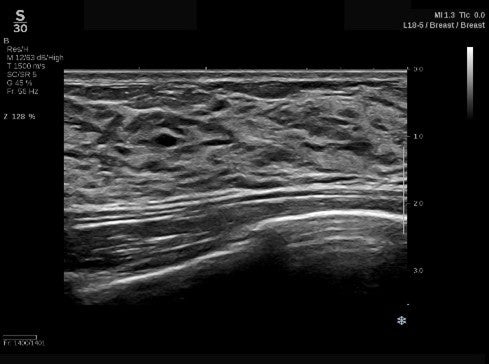
SUPERSONIC™ MACHシリーズは、独自のUltraFast™テクノロジーを搭載し、高品質なBモード画像の提供、最大1200 kPaまで弾性率を測定できるSWE PLUS™イメージングを実現、そして新たに粘性を定量的に測定するVi PLUS™イメージング※を搭載しました。※MACH30のオプション
製品詳細
MACH30: https://hologic.co.jp/products/imaging/ultrasound-diagnostic-equipment/supersonic-mach30.html
MACH20: https://hologic.co.jp/products/imaging/ultrasound-diagnostic-equipment/supersonic-mach20.html
【MACHシリーズ特長】
SuperSonic Imagine社が開発した超音波画像診断装置Aixplorer™の後継機種として、プラットフォームを一新し、より先進的な技術と高い価値を提供していきます。
(1)独自のUltraFast™テクノロジーにより高画質な画像を実現
※1 Ultrafast Ultrasound Imaging, by Jeremy Bercoff (Published: August 23, 2011 DOI: 10.5772/19729)
(2)進化したSWE PLUS™イメージング
従来システムではSWEのレンジは800 kPaまででしたが、SUPERSONIC™ MACHシリーズでは、最大1200 kPaまで測定が可能*となっています。
*MSKプリセット使用時
整形領域では腱や筋肉の硬さ、乳腺領域では腫瘍の硬さ、肝臓領域では、肝組織の硬さを評価することで、疾患の早期診断に貢献します。
(3)新たに搭載したVi PLUS™イメージング
SWE PLUS™イメージングとVi PLUS™イメージングは同時リアルタイムに表示されます。
【製品情報】
HOLOGIC SUPERSONIC™ MACH 30
●販売開始日: 2022年12月20日
●製品特長:
独自のUltraFast™テクノロジーにより高画質な画像を実現し、人間工学に基づいて設計されたSonicPad™トラックパッドにより効率のよい操作、被験者の快適性を追求。
肝臓領域の腹部超音波検査において、より精密な情報を提供するVi PLUS™イメージングを搭載し、肝臓の非侵襲的検査にも対応可能な、次世代モデルです。
HOLOGIC SUPERSONIC™ MACH 20
● 販売名: 汎用超音波画像診断装置 HOLOGIC SUPERSONIC MACH
● 販売開始日: 2022年12月20日
● 製品特長:
独自のUltraFast™テクノロジーにより、高画質、高感度のBモードを提供、最大1200 kPaまで測定可能なSWE PLUS™イメージングを搭載した、様々な臨床用途に対応するハイスペックモデル。
人間工学に基づいて設計されたSonicPad™トラックパッドにより効率のよい操作、被験者の快適性を追求した汎用性の高い装置です。
販売名:汎用超音波画像診断装置 HOLOGIC SUPERSONIC MACH
認証番号:304ABBZX00030000
[ホロジック社(Hologic, Inc.)について]
ホロジック社は、女性のライフステージに影響する乳房、婦人科、骨密度に関連する疾患、子宮頸がんや性感染症に関連する検診や、検査、治療のための革新的なソリューションを提供することを通じて女性の健康(Women’s Health)とウェルビーイング(Well-being)の向上を目指すグローバルヘルスケアカンパニーです。アメリカマサチューセッツ州に本社を置き、1986年の創立から25年で、全世界15か国の拠点に従業員5,500人以上を抱え、毎年持続的な成長を続けています。診断・遺伝子検査(Diagnostics Solutions)、マンモグラフィ・骨密度測定(Breast & Skeletal Health Solutions)、婦人科用外科手術(Gynecological Surgical Solutions)、の3つの分野を主要領域とし、医療従事者が下す決断と診断における疑念を最小化し信頼を最大化するために、一歩先を行く確かさ “The Science of Sure”を提供します。
[ホロジックジャパン株式会社について]
2002年にアメリカの体外診断薬・機器企業Third Wave Technologies社の日本支社として設立。2004年株式会社サードウェイブジャパンへ改組、2012年10月にホロジックジャパン株式会社に社名変更し、体外診断用医薬品・医療機器、マンモグラフィシステム、乳房生検装置などを主力事業として活動しています。
・ウェブサイト https://hologic.co.jp/
製品詳細
MACH30: https://hologic.co.jp/products/imaging/ultrasound-diagnostic-equipment/supersonic-mach30.html
MACH20: https://hologic.co.jp/products/imaging/ultrasound-diagnostic-equipment/supersonic-mach20.html
【MACHシリーズ特長】
SuperSonic Imagine社が開発した超音波画像診断装置Aixplorer™の後継機種として、プラットフォームを一新し、より先進的な技術と高い価値を提供していきます。
(1)独自のUltraFast™テクノロジーにより高画質な画像を実現

パワフルなプロセッサを搭載し、データを高速演算処理するUltraFast™ Imaging技術を駆使することにより、最大20,000フレーム/秒※1の処理速度で高速に画像を構築します。
参考文献:※1 Ultrafast Ultrasound Imaging, by Jeremy Bercoff (Published: August 23, 2011 DOI: 10.5772/19729)
(2)進化したSWE PLUS™イメージング

従来システムではSWEのレンジは800 kPaまででしたが、SUPERSONIC™ MACHシリーズでは、最大1200 kPaまで測定が可能*となっています。
*MSKプリセット使用時
整形領域では腱や筋肉の硬さ、乳腺領域では腫瘍の硬さ、肝臓領域では、肝組織の硬さを評価することで、疾患の早期診断に貢献します。
(3)新たに搭載したVi PLUS™イメージング

肝臓組織の粘性の定量化、弾性率のリアルタイム表示、剪断弾性波伝搬速度のディスパージョン評価を可能*にするモードです。
*C6-1Xプローブ、Liver & Abdomenプリセット、Generalプリセット使用時SWE PLUS™イメージングとVi PLUS™イメージングは同時リアルタイムに表示されます。
【製品情報】
HOLOGIC SUPERSONIC™ MACH 30

●販売開始日: 2022年12月20日
●製品特長:
独自のUltraFast™テクノロジーにより高画質な画像を実現し、人間工学に基づいて設計されたSonicPad™トラックパッドにより効率のよい操作、被験者の快適性を追求。
肝臓領域の腹部超音波検査において、より精密な情報を提供するVi PLUS™イメージングを搭載し、肝臓の非侵襲的検査にも対応可能な、次世代モデルです。
HOLOGIC SUPERSONIC™ MACH 20

● 販売名: 汎用超音波画像診断装置 HOLOGIC SUPERSONIC MACH
● 販売開始日: 2022年12月20日
● 製品特長:
独自のUltraFast™テクノロジーにより、高画質、高感度のBモードを提供、最大1200 kPaまで測定可能なSWE PLUS™イメージングを搭載した、様々な臨床用途に対応するハイスペックモデル。
人間工学に基づいて設計されたSonicPad™トラックパッドにより効率のよい操作、被験者の快適性を追求した汎用性の高い装置です。
販売名:汎用超音波画像診断装置 HOLOGIC SUPERSONIC MACH
認証番号:304ABBZX00030000
[ホロジック社(Hologic, Inc.)について]
ホロジック社は、女性のライフステージに影響する乳房、婦人科、骨密度に関連する疾患、子宮頸がんや性感染症に関連する検診や、検査、治療のための革新的なソリューションを提供することを通じて女性の健康(Women’s Health)とウェルビーイング(Well-being)の向上を目指すグローバルヘルスケアカンパニーです。アメリカマサチューセッツ州に本社を置き、1986年の創立から25年で、全世界15か国の拠点に従業員5,500人以上を抱え、毎年持続的な成長を続けています。診断・遺伝子検査(Diagnostics Solutions)、マンモグラフィ・骨密度測定(Breast & Skeletal Health Solutions)、婦人科用外科手術(Gynecological Surgical Solutions)、の3つの分野を主要領域とし、医療従事者が下す決断と診断における疑念を最小化し信頼を最大化するために、一歩先を行く確かさ “The Science of Sure”を提供します。
[ホロジックジャパン株式会社について]
2002年にアメリカの体外診断薬・機器企業Third Wave Technologies社の日本支社として設立。2004年株式会社サードウェイブジャパンへ改組、2012年10月にホロジックジャパン株式会社に社名変更し、体外診断用医薬品・医療機器、マンモグラフィシステム、乳房生検装置などを主力事業として活動しています。
・ウェブサイト https://hologic.co.jp/
このプレスリリースには、メディア関係者向けの情報があります
メディアユーザーログイン既に登録済みの方はこちら
メディアユーザー登録を行うと、企業担当者の連絡先や、イベント・記者会見の情報など様々な特記情報を閲覧できます。※内容はプレスリリースにより異なります。
すべての画像
