金のユーグレナ®(パラミロンEOD-1®)の摂取が筋肉細胞を太くする~ 筋萎縮に働く遺伝子の発現が抑制される ~
大妻女子大学 青江誠一郎教授と神鋼環境ソリューションの共同研究成果
大妻女子大学(所在地:東京都千代田区、学長:伊藤正直)家政学部 青江誠一郎教授と株式会社神鋼環境ソリューション(本社:神戸市中央区、社長:佐藤幹雄)は、ユーグレナグラシリスEOD-1株(金のユーグレナ🄬)(*1)が産生するパラミロンEOD-1🄬(*2、3)の摂取が筋萎縮(筋肉を構成するタンパク質の分解)に働く遺伝子の発現を抑制し、筋肉細胞を太くすることを明らかにしました。なお、本研究成果は、第78回日本栄養・食糧学会大会にて発表いたしました。
筋肉量の低下は20代頃から始まり、生涯を通して進行します。そして、筋肉量が保てているほど寿命が長いことや筋肉量が減少すると感染症や糖尿病のリスクが高まることが知られています。近年では、サルコペニア(*4)や身体的フレイル(*5)といった高齢者の筋肉量・筋力の低下などの予防が注目されていますが、長く健康的な生活を送るためには、早い段階から筋肉量・筋力を維持・増加させることが非常に重要です。
今回のパラミロンEOD-1を摂取させたマウス実験により、次の作用が明らかになりました。
・筋肉(腓腹筋)の萎縮に働く遺伝子の発現を抑制(図1)
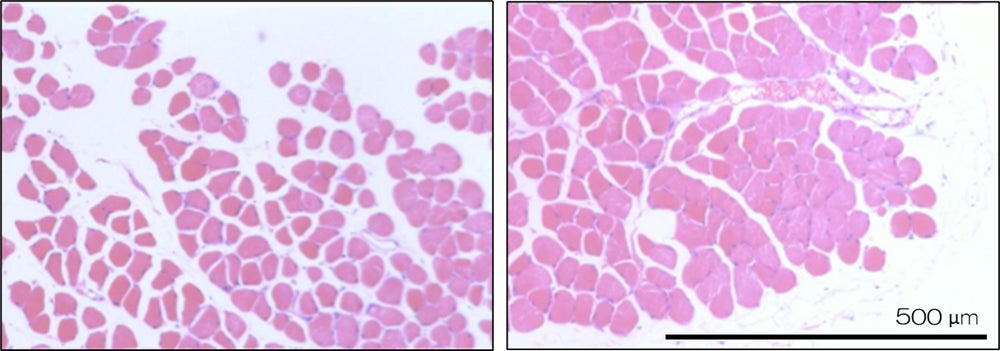
・筋肉(ヒラメ筋)の筋線維(筋肉細胞)断面積の増加(図2、3)。
筋肉量の増減は、筋肉を構成するタンパク質の合成と分解のバランスによって決まります。このバランスが保たれていると筋肉を維持することができ、合成に傾くと筋肉を増やすことができます。
パラミロンEOD-1は、腸管の細胞を刺激することで作用すると考えられています。パラミロンEOD-1は腸を介して筋肉に働きかけることで、筋肉を構成するタンパク質の分解に関わる遺伝子の発現を抑制し、筋肉細胞を太くしていると考えられます。
今後は、パラミロンEOD-1の筋肉や腸に対する作用の詳細なメカニズム解明を進め、筋肉と腸との関係性を明らかにしていく予定です。



【発表内容】
◆発表タイトル:ユーグレナEOD-1株由来パラミロンの摂取が食餌性肥満モデルマウスの筋肉代謝に及ぼす影響
◆概要:
1.実験方法
4週齢のマウスを1週間予備飼育した後、10匹ずつ2群に分け、実験試料と水を84日間自由摂取させた。ヒラメ筋の筋線維断面積および腓腹筋のmRNA発現量を比較した。
2.実験試料
高脂肪食にパラミロンEOD-1が5%になるように添加し、対照食品には5%のセルロースを添加した。
3.結果
・腓腹筋の筋萎縮関連遺伝子(NLRP3、MuRF1、MAFbx-1/Atrogin-1)の発現量が、パラミロンEOD-1群は対照群と比較して有意に低値を示した(図1)。
・ヒラメ筋の筋線維断面積が、パラミロンEOD-1群は対照群と比較して、有意に高値を示した(図2、3)。
(*1)ユーグレナグラシリスEOD-1株、金のユーグレナとは
ユーグレナグラシリスEOD-1株は、当社が機能性を発見したユーグレナの新規株。金のユーグレナは、ユーグレナグラシリスEOD-1株を光合成させずにタンクの中で純粋培養したもの。株そのものが持つパラミロンを豊富に含有する特長に加え、光を遮蔽した製造方法を採用することにより、パラミロン含有率は70%を超える。特許番号:特許第6329940号
(*2)パラミロンとは
ユーグレナが体内に貯蔵する独自の成分で、3本の直鎖状のβ-1,3グルカンがねじれあう螺旋構造をしている。食物繊維の一種。パラミロンの形状や含有量はユーグレナの種類や株の違いによって特徴があり、棒状やリング状、球状など様々な形状がある。一般的に、光合成で育てた緑色のユーグレナのパラミロン含有量は7~10%程度である。
(*3)パラミロンEOD-1とは
株式会社神鋼環境ソリューションが機能性を発見したユーグレナの新規株「ユーグレナグラシリスEOD-1株」に含まれるパラミロン。神鋼環境ソリューションの研究により免疫力の向上、精神的・身体的疲労感の軽減、自律神経バランスの調整、血糖値上昇抑制、LDLコレステロール低下などの効果を確認している成分。
パラミロンEOD-1に関する詳しい情報:https://eod1-paramylon.com/
(*4)サルコペニア
高齢期にみられる骨格筋量の低下と筋力もしくは身体機能(歩行速度など)の低下のこと。高齢者の活動能力の低下の大きな原因となっている。
(*5)身体的フレイル
フレイルとは、活動的な生活をしている状態(健常)と要介護状態の間の状態。何も対策をとらずに放置していると病気などをきっかけに要介護状態になってしまう危険性が高い。その中でも日常生活を営むために必要な身体能力が衰えてしまった状態が身体的フレイル。病気の治療や生活習慣を整えるなど適切な対策を行うことで、フレイル状態からは脱却することができる。
(*6)筋肉の萎縮に働く遺伝子、筋萎縮関連遺伝子(NLRP3、MuRF1、MAFbx-1/Atrogin-1)
筋肉を萎縮させるタンパク質をコードする遺伝子であり、これらの遺伝子の発現を抑制することは筋肉の萎縮を抑制すると考えられる。各遺伝子がコードするタンパク質の機能は下記の通り。
NLRP3:NLRP3インフラマソームと呼ばれるたんぱく質複合体を形成し、サイトカイン分泌やプログラム細胞死を引き起こすことで、筋肉の萎縮を起こす。
MuRF1:ユビキチンリガーゼと呼ばれる酵素の1つ。分解の目印(ユビキチン)をタンパク質に結合させることで、筋肉のタンパク質の分解を促す。
MAFbx-1/Atrogin-1:MuRF1と同様にユビキチンリガーゼの1つで、同様の作用で筋肉のタンパク質の分解を促す。
以上
このプレスリリースには、メディア関係者向けの情報があります
メディアユーザー登録を行うと、企業担当者の連絡先や、イベント・記者会見の情報など様々な特記情報を閲覧できます。※内容はプレスリリースにより異なります。
すべての画像
- 種類
- 調査レポート
- ビジネスカテゴリ
- ダイエット・健康食品・サプリメントフィットネス・ヘルスケア
- ダウンロード
