【細胞アート展】細胞を“アート”で捉え、細胞診を楽しく学べる細胞診体験ワークショップを6/29(日)新宿で開催
【事前予約制】6月29日(日)新宿・京王プラザホテル42Fにて、10時30分〜16時00分で開催

公益社団法人 日本臨床細胞学会(学会事務局:東京都千代田区、理事長:岡本 愛光、以下「当学会」)は、、細胞や細胞診について楽しく理解してもらう「細胞アート展」(https://saibouart.jp/)を開催しています。
本企画のリアルイベントとしてご好評いただきました昨年の第一弾、第二弾に引き続き、今年度も開催が決定。2025年6月29日(日)に東京・新宿の京王プラザホテルにて「細胞診体験ワークショップ」を開催します。小学生〜高校生を対象に細胞染色、検鏡を中心とした体験型イベントとなっております。
◾️「細胞アート展」細胞診体験ワークショップ 概要
日程:2025年6月29日(日)10時30分〜16時00分(最終受付)
場所:京王プラザホテル42F
詳細の場所は、参加者に別途ご案内いたします。
住所:東京都新宿区西新宿2丁目2−1
対象:小学生〜高校生まで
料金:無料
参加方法:事前予約制
お申し込み期限:〜5月30日(金)まで。抽選結果につきましては、6月上旬に当選・落選関係なくお申し込みいただきましたすべての方にご連絡させていただきます。
お申し込み方法:下記のお申し込みフォームより必要事項をご入力ください。
※昨年11月に幕張で開催したイベントに参加お申し込みいただいた方で、落選された方には優先的に事前申込みをお送りしております。
※ワークショップに参加するお子様は体験前に保護者の方より同意書をご記入いただきます。
ワークショップの様子はYouTubeで公開しております。
ワークショップでは、実際に子どもたちが自分自身の細胞を顕微鏡で観察しながら細胞診の仕組みを体験することができ、細胞診だけでなく、それを支える細胞診専門医や細胞診検査士の仕事についても同時に学ぶことができます。ワークショップの他に、顕微鏡で撮影された細胞の写真が一つのアート作品として展示され、細胞をアートの視点で捉えていただく写真展も開催します。


■企画実施の背景:
「細胞診」高齢化社会が進む中で患者の負担が少なく、がんの早期発見や治療に貢献


医学の進歩と技術の発展により、多くの人々がより健康な生活を送ることが可能になり、平均寿命が延びるなど、健康水準が向上しています。それと同時に、高齢化が進み、加齢とともに発生リスクが高まるがんにおいては特に定期的な検診が呼びかけられています。
そのような中、がんなど疾患の診断や治療の有効な手段として認識されているのが“病理診断”です。細胞や組織の形を肉眼で観察したり、顕微鏡で観察したりすることによって、どのような病気か検査することを“病理検査”と呼びますが、病理検査によって下される「病理診断」は、病気になった細胞や組織を直接観察して下されるため、「病気の最終診断」となります。 特にがんの診断には、病理診断が必ず必要になります。確実にがんであると確認しなければ、手術や抗がん剤の治療など、 負担の大きい治療に進むことができないからです。
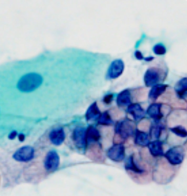
「細胞診」はその中でも塊の「組織」ではなく、こぼれ落ちた「細胞」の形を顕微鏡で観察する検査のことをいいます。細胞診は患者の負担が少なく、特に粘膜や尿などの採取方法は繰り返し行えるため、病気の診断における初期段階の確認に有効です。また、細胞診断の利点は患者の負担が少ないだけではありません。血液検査や画像検査などに比べ、組織サンプルや体液から直接、細胞を取り出し、顕微鏡下で観察することによって、細胞レベルで病変を評価し、疾患の種類や性質を正確に診断することが可能です。子宮頸がん検診にも用いられており、子宮頸癌による死亡率の減少に効果的と報告されています。また子宮体がん、肺がん、乳がん、甲状腺がん、膀胱がんなどの診断に多く用いられています。
本企画を実施する日本臨床細胞学会は、臨床細胞学の研究と細胞診断を推進し、細胞診専門医と細胞検査士の認定を行っています。1962年に設立され、正会員数5,619名(医師会員4,470名 技師正会員1,149名)、準会員数7,233名(2024年5月16日現在)が含まれます。
■ミクロのクルーズ船に乗って体内の細胞の構造を探索できるWebサイト「細胞アートクルーズ」も公開中
Webサイト「細胞アートクルーズ」では、体内の細胞の構造をクルーズ船に乗っているかのように探索でき、複雑な体内の細胞がよりわかりやすく、楽しみながら理解できます。また、正常と悪性の細胞を比較できるようになっており、細胞診が、がんなどの疾患の早期発見や治療に貢献できることを体感できる仕掛けになっています。日本臨床細胞学会は、本企画を通して、多くの方々に細胞について興味を持ってもらい、細胞診やそれを支える専門職の重要性を伝えることを目的としています。
公益社団法人10周年企画「細胞アートクルーズ」Webサイト:https://saibouart.jp/
■2024年「細胞アート展」を大阪・東京・千葉で好評開催。多くのご応募・ご参加ありがとうございました
「細胞アート展」は、2024年6月・8月・11月に開催いたしました。小学生から高校生まで多くのお子さまにご参加いただき、「自分の細胞が観られて楽しかった」「これまで実験を体験できるイベントに参加したことがなかったので、理系の道に興味を持つきっかけになったのではないか」など、ワークショップ後はお子さまや保護者の方から好評の声を多くいただきました。ご応募、ご参加くださいました皆さま、誠にありがとうございました。




東京で開催された実際のワークショップの様子は、YouTubeにて公開しております。
ぜひご覧ください。
お申し込みはこちら[お申し込み〆切:5月30日(金)まで]
本イベントは、事前予約制となります。お申し込み期限は、5月30日(金)までとなります。
抽選結果につきましては、6月上旬に当選・落選関係なくお申し込みいただきましたすべての方にご連絡させていただきます。
お申し込みは下記のURLよりお申し込みをお願いいたします。
https://forms.gle/QCXC634jZrLbAM4V7
※報道関係者の方へ※
本イベントはメディアの皆様からのご取材もお受けしております。
ご取材希望の方は、下記事務局メールまでご連絡ください。
[報道関係者問い合わせ先]
公益社団法人 日本臨床細胞学会 周年企画「細胞アート展」事務局
担当:飯嶋(代行:株式会社kushami) Mail:saibouart@gmail.com
■日本臨床細胞学会について

日本臨床細胞学会は、細胞学に着目し、臨床と研究を行ってきた学会です。全身、特に癌の細胞診断を取り扱っており、細胞診専門(指導)医や細胞検査士などの専門家が細胞診断を通して病気の早期発見や治療を行い、国民の健康維持に貢献しています。学会の重要な活動目的として、細胞診専門職の養成と認定があり、細胞診専門医の認定は昭和43(1968)年から、細胞検査士の認定は昭和44(1969)年から、の歴史を誇っています。細胞診を通じて人々の健康維持に貢献し、医学・科学を追及する集団として期待され、発展し続けていくために、皆様と共に進みたいと考えています。
団体名 :公益社団法人 日本臨床細胞学会
代表者 :理事長 岡本愛光
事務局 :公益社団法人化10周年記念事業企画担当 飯嶋(代行:株式会社kushami)
住所 :〒101-0062 東京都千代田区神田駿河台2-11-1 駿河台サンライズビル3F
URL :https://jscc.or.jp/
このプレスリリースには、メディア関係者向けの情報があります
メディアユーザー登録を行うと、企業担当者の連絡先や、イベント・記者会見の情報など様々な特記情報を閲覧できます。※内容はプレスリリースにより異なります。
すべての画像
- 種類
- イベント
- ビジネスカテゴリ
- 医療・病院財団法人・社団法人・宗教法人
- ダウンロード
