胸部X線画像の読影診断を支援するEIRL Chest Screeningの新モデルを発売、過去検出結果比較機能を追加し、比較読影支援を可能に

【今回の機能追加の背景】
医師は多い場合で、1日に500件以上の胸部X線画像を読影します。その際、必要に応じて過去と現在のX線画像に対する比較読影を行います。特に、現在のX線画像上に異常な陰影を認め、かつ、過去のX線画像にはない(新規出現可能性のある)陰影の場合、当該情報は精密検査の要否を決める重要な判断材料です。そのため今回、上記4種類の異常陰影候補領域の検出に加え、過去の検出結果を比較する機能を追加いたしました。本機能を併用することで、医師の見落としリスクを低減し、比較読影の支援を実施いたします。
【新たに追加された機能】
過去検出結果比較機能とは、本ソフトウェアが解析した胸部X線画像の画像情報を保持しておき、後日同一患者の画像を解析した際、過去の検出結果と比較することで、異常陰影候補領域の経時的変化(新規検出の有無)を表示する機能です。過去に検出されていない異常陰影候補領域が新規に検出された場合、二重線で表示します。(2)
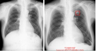
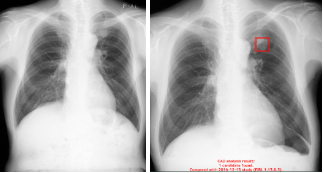
【解析結果の例】(3)

左:患者Aの、過去に解析したX線検査画像
右:患者Aの、新たに解析したX線検査画像
【関連プレスリリース】
2023年1月10日
胸部X線画像の読影診断を支援するEIRL Chest Screeningの新モデルを発売、検出する異常陰影候補領域の対象所見を拡大
https://lpixel.net/news/press-release/2023/10734/
(1)EIRL Chest Screeningは製品の総称です。 販売名:医用画像解析ソフトウェア EIRL Chest XR 承認番号:30400BZX00285000、販売名:医用画像解析ソフトウェア EIRL Chest Metry 認証番号:302AGBZX00101000
(2)過去の画像と同一部位に異常陰影候補領域の検出があった場合は、単線で表示されます。
(3)画像はイメージです。
【製品に関するお問い合わせ】
エルピクセル株式会社 営業本部
TEL:03-6259-1713 Mail:eirl-cs@lpixel.net
URL:https://marketing.eirl.ai/ja/contact/
【AI画像診断支援技術について】
高度化するモダリティとともに、医療画像診断の作業は増加の一途をたどっています。AIを活用した独自のアルゴリズムによって、脳MRI、胸部X線などの医療画像情報を解析し、効率的で、正確な診断が出来る環境の提供を目指します。
EIRLプロダクトサイト(医療従事者向け):https://eirl.ai/ja/
【エルピクセル株式会社について】
エルピクセル株式会社は、ライフサイエンス領域の画像解析に強みを持ち、医療・製薬・農業分野において画像解析技術、とりわけ人工知能技術を応用することで、高精度のソフトウエアを開発してまいりました。医師の診断を支援するAI画像診断支援技術「EIRL(エイル)」、創薬に特化した画像解析AI「IMACEL(イマセル)」を軸に事業を展開しています。
このプレスリリースには、メディア関係者向けの情報があります
メディアユーザー登録を行うと、企業担当者の連絡先や、イベント・記者会見の情報など様々な特記情報を閲覧できます。※内容はプレスリリースにより異なります。
すべての画像
- 種類
- 商品サービス
- 関連リンク
- https://eirl.ai/ja/
- ダウンロード
