胸部X線画像から「肺がん」が疑われる肺結節候補域を検出する医用画像解析ソフトウェア「EIRL Chest Nodule」、IDATEN制度を活用し、検出感度を向上させた新モデルをリリース

EIRL Chest Noduleは、2020年8月に深層学習を活用したプログラム医療機器として医療機器製造販売承認を取得、販売を開始しており、日本国内の健診施設や総合病院等で導入されています。臨床現場での活用が進む中、多い場合で1日に数百件以上の胸部X線画像を読影する医師のワークフローを阻むことなく、見落とし防止に寄与するソフトウェアとして、医師の声を活かしながら性能改善を図ってまいりました。今後も、IDATEN制度を活用し、迅速に改良後の高性能な製品販売を目指してまいります。
【強化された機能】
肺結節候補域の検出感度が向上
本ソフトウェアを使用しない読影試験での放射線科専門医9名、非専門医9名の肺結節候補域の平均感度はそれぞれ、47.1%、43.78%でした。それに対し、今回のバージョンアップによって、旧モデルと比較した本ソフトウェアの肺結節候補域の検出感度は4.1ポイント向上し78.4%に改善されました。サイズ別の評価では、5mm以上15mm未満の小さな結節での検出感度が9ポイント向上し、63.6%となりました。(3)
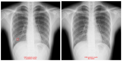
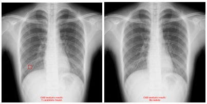
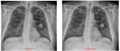
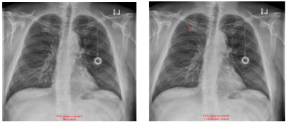
【画像例】
・偽陽性の改善例
肋骨、血管、ニップル等が重なり合い、透過度が減少している領域に対して旧モデルでは偽陽性が発生しておりましたが、新モデルでは改善されています。(4)

※左:旧モデルによる解析結果、右:新モデルによる解析結果
・偽陰性の改善例
旧モデルでは肋骨の重なりに隠れた肺結節候補域を検出できていませんでしたが、新モデルでは検出できています。(5)

※左:旧モデルによる解析結果、右:新モデルによる解析結果
【EIRL Chest Nodule について】
胸部X線画像から肺結節の疑いがある候補域を検出し、医師の読影をサポートするAIソフトウェアです。医師単独で読影した場合と比べ、本ソフトウェアを用いて読影した場合には、放射線科専門医で9.95%、非専門医で13.1%の感度が上がることが認められ(6)、2020年8月に薬事承認を取得、販売開始いたしました。
発売開始後、2021年9月には検出感度の向上および経時的変化の表示機能を追加した新モデルをリリースするなど、医師の声を活かしながら、継続的な改良に取り組んでいます。
【関連プレスリリース】
・2020年8月28日
胸部X線画像から「肺がん」が疑われる肺結節候補域を検出する、医用画像解析ソフトウェア EIRL Chest Noduleを発売
https://lpixel.net/news/press-release/2020/10089/
・2021年9月21日
胸部X線画像から「肺がん」が疑われる肺結節候補域を検出する 医用画像解析ソフトウェア EIRL Chest Nodule、 検出感度の向上および経時的変化の表示機能を追加した新モデルをリリース
https://lpixel.net/news/press-release/2021/10412/
【IDATEN(Improvement Design within Approval for Timely Evaluation and Notice)制度について】(7)
IDATEN制度とは、AIを活用したソフトウェア医療機器等、製造販売承認取得後に性能向上等が予定されている医療機器等に対し、その性能等に関する変更計画(ソフトウェアのバージョンアップ計画等)について、独立行政法人 医薬品医療機器総合機構(PMDA)が事前に確認することで、その計画の範囲内であれば「医療機器変更計画に従つた変更に係る届書」を提出するだけで改良を認める審査制度です。従来、性能に関する変更を行う際は、その都度「一部変更承認申請」を行う必要があり、製造販売業者にとって、数ヶ月の審査期間と手数料が負担となっていました。IDATEN制度における「医療機器変更計画に従つた変更に係る届書」は届出書類を提出するのみで完了し、審査期間や手数料等の費用を大幅に縮減できることによって、より迅速に、高性能な医療機器を提供することが可能となります。
(1)肺結節: X線画像では、空気は黒く、骨・筋肉・血液などの水分は白く写ります。通常は黒く映る部分が局所的に白く見えた場合、それを「結節影」と呼び、肺がん、肺結核、肺炎などの可能性が疑われます。定期健康診断などで実施される胸部X線検査において、そういった「結節影」が見られた場合には、精密検査によって確認をする必要があります。
(2)販売名:医用画像解析ソフトウェア EIRL X-Ray Lung nodule 、承認番号:30200BZX00269000
(3)旧モデルと新モデルの単体性能試験の結果の比較
(4)解析する画像によって偽陽性が発生する場合があります。
(5)解析する画像によって偽陰性が発生する場合があります。
(6)肺結節が認められる有所見画像67症例及び正常画像253症例の胸部単純X線画像を対象に、18名の医師による読影試験結果(旧バージョンによる試験結果)
(7)厚生労働省医薬・生活衛生局「医療機器の変更計画の確認申請の取扱いについて」 (薬生機審発0831第14号,令和2年8月31日)
https://www.pmda.go.jp/files/000236900.pdf
【製品に関するお問い合わせ】
エルピクセル株式会社 営業本部
TEL:03-6259-1713 Mail:eirl-cs@lpixel.net
URL:https://marketing.eirl.ai/ja/contact/
【AI画像診断支援技術について】
高度化するモダリティとともに、医療画像診断の作業は増加の一途をたどっています。AIを活用した独自のアルゴリズムによって、脳MRI、胸部X線などの医療画像情報を解析し、効率的で、正確な診断が出来る環境の提供を目指します。
EIRLプロダクトサイト(医療従事者向け):https://eirl.ai/ja/
【エルピクセル株式会社について】
エルピクセル株式会社は、ライフサイエンス領域の画像解析に強みを持ち、医療・製薬・農業分野において画像解析技術、とりわけ人工知能技術を応用することで、高精度のソフトウエアを開発してまいりました。医師の診断を支援するAI画像診断支援技術「EIRL(エイル)」、創薬に特化した画像解析AI「IMACEL(イマセル)」を軸に事業を展開しています。
このプレスリリースには、メディア関係者向けの情報があります
メディアユーザー登録を行うと、企業担当者の連絡先や、イベント・記者会見の情報など様々な特記情報を閲覧できます。※内容はプレスリリースにより異なります。
すべての画像
- 種類
- 商品サービス
- ビジネスカテゴリ
- 医療・病院
- 関連リンク
- https://eirl.ai/ja/
- ダウンロード
