他家iPS細胞由来腎前駆細胞の開発を行うリジェネフロ株式会社に出資
慢性腎臓病に対する細胞医薬の実用化を目指す
三菱UFJキャピタル株式会社(本社:東京都中央区、代表取締役社長 坂本 信介)は、同社が運営するファンドMUFGメディカルファンド(正式名称:三菱UFJライフサイエンス3号投資事業有限責任組合)より、他家iPS細胞由来腎前駆細胞の開発を手掛けるリジェネフロ株式会社に対し、第三者割当増資による出資を実行したことをお知らせいたします。
【リジェネフロ株式会社 概要】
会社名 リジェネフロ株式会社
所在地 京都市左京区吉田下阿達町46-29 京都大学医薬系総合研究棟
代表者 石切山 俊博
設立日 2019年9月
事業内容 腎疾患治療薬の研究開発・生産・販売
URL https://www.regenephro.co.jp
【三菱UFJキャピタル株式会社について】
ライフサイエンス分野においては、2009年のライフサイエンス室発足後、国内外のバイオベンチャーへの資金提供、経営支援を本格的に開始し、2017年にはライフサイエンス部を創設するとともに、当社初となる業種特化ファンドとして、三菱UFJライフサイエンス1号投資事業有限責任組合(100億円)を組成しました。2019年2月には三菱UFJライフサイエンス2号投資事業有限責任組合(100億円)を組成、2020年6月には新型コロナ感染症対策を含む、創薬・再生医療等を担うベンチャー企業を支援するMUFGメディカルファンド(100億円)を組成し、バイオベンチャー投資にとどまらず、アカデミア創薬、製薬会社のカーブアウト案件、製薬会社の開発プロジェクトへの投資、医療機器関連にも注力しています。
◆会社概要
会社名:三菱UFJキャピタル株式会社
所在地:東京都中央区日本橋2丁目3番4号 日本橋プラザビル7F
代表者:代表取締役社長 坂本 信介
設立:1974年8月1日
URL:https://www.mucap.co.jp/
事業内容:ベンチャーキャピタル事業
◆MUFGメディカルファンド(正式名称:三菱UFJライフサイエンス3号投資事業有限責任組合)について
投資対象:
-医薬品(創薬型・創薬基盤技術特化型) ※ 製薬会社起点や国内アカデミア創薬への投資活動に注力
-再生医療製品
-医療機器等
-診断薬・診断機器
無限責任組合員:三菱UFJキャピタル株式会社
出資者: 株式会社三菱UFJ銀行、三菱UFJキャピタル株式会社
設立日:2020年6月22日
ファンド総額:100億円

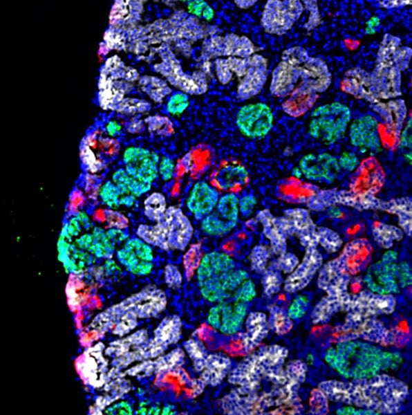
- iPS細胞由来ネフロン前駆細胞について

- 出資背景
慢性腎臓病には有効な治療法が少なく、ドナー不足が深刻な腎臓移植を除けば、根本的な治療法はないのが現状です。慢性腎臓病の患者数は日本で約1,300万人、透析治療費は年間約1兆5,000億円です。慢性腎臓病の有効な治療法の開発は、喫緊の社会的課題となっています。
リジェネフロでは、長船教授の研究成果から生まれた革新的な基盤技術をもとに、様々なアプローチで腎疾患の治療法開発に取り組んでいます。三菱UFJキャピタルは、リジェネフロ社の再生医療技術が腎疾患治療の新たな可能性を生み出すと確信しており、MUFGのネットワークを最大限に活用し、事業推進を支援してまいります。【リジェネフロ株式会社 概要】
会社名 リジェネフロ株式会社
所在地 京都市左京区吉田下阿達町46-29 京都大学医薬系総合研究棟
代表者 石切山 俊博
設立日 2019年9月
事業内容 腎疾患治療薬の研究開発・生産・販売
URL https://www.regenephro.co.jp
【三菱UFJキャピタル株式会社について】

ライフサイエンス分野においては、2009年のライフサイエンス室発足後、国内外のバイオベンチャーへの資金提供、経営支援を本格的に開始し、2017年にはライフサイエンス部を創設するとともに、当社初となる業種特化ファンドとして、三菱UFJライフサイエンス1号投資事業有限責任組合(100億円)を組成しました。2019年2月には三菱UFJライフサイエンス2号投資事業有限責任組合(100億円)を組成、2020年6月には新型コロナ感染症対策を含む、創薬・再生医療等を担うベンチャー企業を支援するMUFGメディカルファンド(100億円)を組成し、バイオベンチャー投資にとどまらず、アカデミア創薬、製薬会社のカーブアウト案件、製薬会社の開発プロジェクトへの投資、医療機器関連にも注力しています。
◆会社概要
会社名:三菱UFJキャピタル株式会社
所在地:東京都中央区日本橋2丁目3番4号 日本橋プラザビル7F
代表者:代表取締役社長 坂本 信介
設立:1974年8月1日
URL:https://www.mucap.co.jp/
事業内容:ベンチャーキャピタル事業
◆MUFGメディカルファンド(正式名称:三菱UFJライフサイエンス3号投資事業有限責任組合)について
投資対象:
-医薬品(創薬型・創薬基盤技術特化型) ※ 製薬会社起点や国内アカデミア創薬への投資活動に注力
-再生医療製品
-医療機器等
-診断薬・診断機器
無限責任組合員:三菱UFJキャピタル株式会社
出資者: 株式会社三菱UFJ銀行、三菱UFJキャピタル株式会社
設立日:2020年6月22日
ファンド総額:100億円
このプレスリリースには、メディア関係者向けの情報があります
メディアユーザーログイン既に登録済みの方はこちら
メディアユーザー登録を行うと、企業担当者の連絡先や、イベント・記者会見の情報など様々な特記情報を閲覧できます。※内容はプレスリリースにより異なります。
すべての画像
- 種類
- 経営情報
- ビジネスカテゴリ
- 銀行・信用金庫・信用組合
