FastLabel、医療AI用DICOMアノテーションツールα版をリリース
〜CTやMRIなど医療画像診断AIの開発を促進〜
AI開発を効率化するデータプラットフォームを開発・提供するFastLabel株式会社(本社:東京都品川区、代表取締役CEO:上田英介、以下「FastLabel」)は、医療分野で扱われるDICOM(Digital Imaging and Communications in Medicine)規格に対応したアノテーションツールのアルファ版をリリースしたことをお知らせします。

近年、医療技術の発達によって読影が必要な医療画像の数が増え、診断する医師の仕事は増えていますが医師の数は増えないため、作業の効率化が課題となっています。そのため、診断の質を高めつつ医師の負担を軽減するために、AIによる画像診断支援が注目を浴びています。
医療分野のAI開発において、特に高品質な教師データが大量に必要となります。しかし、医療分野に特化した教師データを作るためのアノテーションツールがなく、教師データの不足や品質の問題により医療AIの研究開発が進まないという課題がありました。
今回、当社が提供するAIデータプラットフォーム「FastLabel」は、医療AI開発の効率化を実現するため、CTやMRIなど医療画像診断AIで使われるDICOM形式に標準対応致しました。
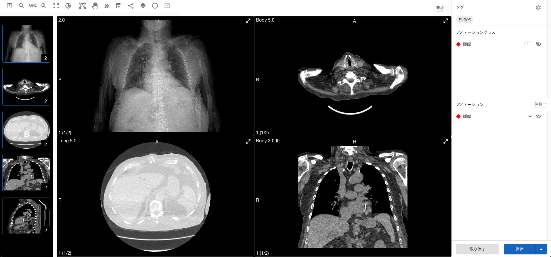
CT胸部の規格に標準対応、ビューアーで複数画像表示
DICOMプロジェクトでは下記のように、検査画像を一つのタスクとして管理してアノテーションできます。サムネイルバーと、ビューアーで構成されており、シリーズ単位で画像や情報を表示できます。またDICOMのTag情報も確認、検索可能です。


今回アルファ版で対応した規格はCTの胸部ですが、今後はMG、MR、SEGや他の箇所などにも標準対応していく予定です。また自動アノテーション機能の開発も予定しており、医師の方の負担を軽減し、高品質な教師データの作成を支援致します。
会社概要
社名:FastLabel株式会社
代表者:代表取締役CEO 上田 英介
本社所在地:東京都品川区北品川5-5-27 201号
会社URL: https://fastlabel.ai/
本プレスリリースに関するお問い合わせ
FastLabel株式会社 広報担当
メール: info@fastlabel.ai
すべての画像
