宇宙実験の基盤となる実験
「キンギョのウロコを長期間・細胞活性を保ったまま保存」に成功

金沢大学環日本海域環境研究センターの鈴木信雄教授、岡山大学の池亀美華准教授、立教大学の服部淳彦特任教授と丸山雄介助教、文教大学の平山順教授を中心とした共同研究グループは、キンギョ(Carassius auratus)のウロコ(図1)を0.1%の次亜塩素酸で滅菌後、培地を交換せずに1週間以上低温(4℃)で保管しても、ウロコに存在する骨芽細胞と破骨細胞の活性が維持され、重力にも応答することを証明しました。
予備的な実験により、同技術を用いて3週間以上の間、培地交換無しの条件でキンギョのウロコの細胞活性を維持できることも確認しています。今回の成果により、ロケットの打ち上げ射場でキンギョを飼育し、ウロコをパッキングする必要がなくなり、日本でパッキングしたウロコを低温で維持し、NASAなどの射場に運ぶことが可能となります。さらにロケットの打ち上げの予期せぬ遅延にも対応できます。本研究により、宇宙実験の技術的な側面に大きく貢献することが期待されます。
本研究は、2024年度からJAXA宇宙科学研究所 宇宙環境利用専門委員会の公募事業(※1)(2024年度フロントローディング研究)の助成を受け、実施しています。さらに、2025年度フロントローディング研究にも採択され、今後、本研究成果を活用した、国際宇宙ステーション(ISS)での宇宙実験を企画しています。
本研究成果は、2025年4月7日にアメリカの国際学術誌『Life Sciences in Space Research』のオンライン版に掲載されました。

魚のウロコは、石灰化した骨基質の上に骨芽細胞と破骨細胞、さらに骨細胞が共存し、ヒトの骨と同じように骨代謝を行っている。
【研究の背景】
宇宙環境は、さまざまな臓器・器官に障害を生じさせ、人体に大きな影響を与えます。特に、2030年に終了する国際宇宙ステーション後の月や火星への人類の進出、宇宙における人類の居住を可能にするために、長期の宇宙滞在のリスク評価およびそれを克服するための技術の開発が喫緊に求められています。本研究グループが注目している宇宙環境のリスクは、①微小重力および②宇宙放射線です。①微小重力は、1Gの地上の環境に適応している人体にさまざまな傷害を引き起こします。例えば、体液循環が変化し、約2Lの水分が頭部と胸部に移動してムーンフェイスになり、骨や筋肉は萎縮します。また、宇宙空間に滞在する宇宙飛行士では、1ヶ月に約1パーセントの割合で骨量が減少し、尿からカルシウムが排出されます。従って、腎臓結石のリスクが高まります。②宇宙空間では太陽フレアによる大量の宇宙放射線や、宇宙飛行船の壁を突き抜けるような銀河の超新星爆発による高エネルギー重粒子線が降り注いでいます。
本研究グループは、微小重力と宇宙放射線の骨組織に対する影響に注目し、ヒトの骨と進化的・構造的な類似性を持つキンギョのウロコを骨の実験モデルとして用い、2010年に宇宙実験(Fish Scales)(※2)を実施しました。この宇宙実験では、①微小重力による骨代謝低下の分子メカニズムおよび②宇宙放射線の骨の細胞に対する影響を明らかにし、これらの影響を生体内のインドール化合物である「メラトニン」により抑制できる可能性を示しました(微小重力の影響に関する成果:Ikegame et al., J. Pineal Res., 2019; Hirayama et al., J. Pineal Res., 2023, 宇宙放射線に関する効果:Furusawa et al., Mol. Med. Rep., 2020; Hirayama et al., J. Pineal Res., 2023)。しかし2010年に実施した宇宙実験では、シャトルのドッキング中にすべての実験を終了させるために、86時間の培養しか行うことができませんでした。そこで、次の実験では長期間の宇宙環境における骨組織への影響を評価したいと考え、ウロコを用いた宇宙実験の研究を進めています。
【研究成果の概要】
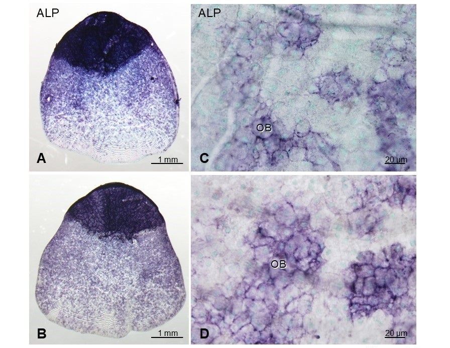
本研究グループは、4℃で保管する前と後のキンギョのウロコの骨芽細胞の染色結果から、4℃での保管が、キンギョのウロコの骨芽細胞の活性および形態は変化させないことを突き止めました(図2)。次に、4℃で保管する前と後のキンギョのウロコの破骨細胞の染色では、破骨細胞は、活性化する際に複数の細胞が融合して多核化し(図3C, D)、さらにアクチリングという構造を持つようになります(図3E、図3Fの赤の部分)。このアクチンリングは、破骨細胞が酸や酵素を分泌して、その酸や酵素が漏れないようにシールする役目を果たしており、破骨細胞の活性化の指標となります。このアクチンリングにより、破骨細胞は特異的に骨を溶かすことができます。またカテプシンKは、骨を溶かす酵素の1種ですが、この酵素も破骨細胞の活性化の指標となります(図4)。これらの活性型の破骨細胞は、これまで活性を維持したまま長期間保管することは難しいとされていましたが、本研究において4℃で保管することにより、活性型の破骨細胞を1週間は保管できることを見出しました。
次に、骨芽細胞と破骨細胞の酵素活性を測定し、これらの活性値の変化を調べました。その結果、これらの酵素活性は少し減少しましたが、統計学的に有意な変化はありませんでした(図5)。
ロケットの打ち上げ時には、振動が発生します。スペースシャトルの場合は、最大で2分間の6.8 Gの重力を誘発する振動があります。そこで1週間4℃で保管したウロコにバイブレーションによる振動を与え、ウロコの細胞がその振動に応答するのかを調べました。その結果、4℃で保管したウロコにおいて、バイブレーションによる振動に応答して、骨芽細胞は活性化し、破骨細胞は活性が低下することが分かりました(図6)。
さらに、実際にスペースシャトルで宇宙に打ち上げた時の低温下で保管されたウロコの骨芽細胞と破骨細胞に対する重力応答を調べました。スペースシャトルの打ち上げでは、シャトル内で振動(最大6.8G、2分間)の後、過重力(最大3G、3分30秒)が発生します。この打ち上げによる振動と過重力の影響を評価するために、4℃で6日間保管したウロコをスペースシャトルで宇宙空間(国際宇宙ステーション)に打ち上げ、国際宇宙ステーションに到着直後に冷凍しました。そのウロコの骨芽細胞と破骨細胞の活性を、地上にて4℃で6日間保管した細胞の活性と比較しました。その結果、ウロコを4℃に保管していたにもかかわらず、骨芽細胞の活性はスペースシャトルの打ち上げの振動と過重力に応答して上昇しました(図7)。加えて、4℃で6日間保管したウロコを国際宇宙ステーションにおいて22℃で86時間培養すると、ウロコの骨芽細胞の活性が微小重力に応答して低下することが分かりました(図8)。非常に応答性が良いことが、ウロコの特徴です。
以上のように、キンギョのウロコを4℃で保管してもその細胞は重力に応答することを見出しました。従って、長期間4℃下で維持しておけば、培養ウロコの骨芽細胞と破骨細胞は宇宙空間の微小重力に対して反応できるため、さまざまな影響を解析できる可能性が高いと思われます。
【今後の展望】
地上でも擬似的に微小重力を作る機器(3次元クリノスタット:2軸で回転して、ベクトルを相殺して擬似的に微小重力を作る機器)を用いて、低温培養の地上実験を行い、次の宇宙実験のためのデータを取得する予定です。
本研究は、宇宙環境利用専門委員会の公募事業(2024年度フロントローディング研究:宇宙で引き起こされる疾病のメラトニンによる予防・治療効果に関する研究:
小型衛星搭載魚鱗を用いた解析、代表:鈴木信雄)、科学研究費補助金(20H04565、 22K11823、 23K10933、 23K10802)、金沢大学環日本海域環境研究センターの共同研究費(24024、 24026、 24030、 24033)の支援を受けて実施されました。







【掲載論文】
雑誌名:Life Sciences in Space Research
論文名:Goldfish regenerated scale culture at low temperatures improves osteoblast and osteoclast survival in scales without loss of the osteoblast and osteoclast response to changes in gravity
(低温でのキンギョの再生ウロコ培養は、重力の変化に対する骨芽細胞と破骨細胞の反応を失うことなく、ウロコの骨芽細胞と破骨細胞の生存を高める)
著者名:Suzuki, N., Kuroda, K., Ikegame, M., Takino, H., Tsunoda, K., Izumi, R., Tabuchi, Y., Furusawa, Y., Yachiguchi, K., Endo, M., Matsubara, H., Yano, S., Shimazu, T., Honda, M., Maruyama, Y., Watanabe, K., Takahashi, A., Hirayama, J. and Hattori, A.
(鈴木信雄、黒田康平、池亀美華、瀧野晴美、角田啓斗、泉梨玖、田渕圭章、古澤之裕、谷内口孝治、遠藤雅人、松原創、矢野幸子、嶋津徹、本田匡人、丸山雄介、渡辺数基、髙橋昭久、平山順、服部淳彦)
掲載日:2025年4月7日にオンライン版に掲載
DOI:10.1016/j.lssr.2025.04.004
【用語解説】
※1:JAXA宇宙科学研究所 宇宙環境利用専門委員会の公募事業
宇宙航空研究開発機構(JAXA)の宇宙科学研究所(ISAS)の宇宙環境利用専門委員会が主催し、微小重力科学および宇宙生命科学領域における『小規模計画』、「きぼう」利用フラグシップミッションなど、具体的な宇宙実験提案につながるフロントローディング研究の公募。宇宙実験前の実験機器の開発を含めた宇宙実験の準備を支援する。
※2:宇宙実験(Fish Scales)
魚のウロコには骨を作る細胞(骨芽細胞)と骨を壊す細胞(破骨細胞)が共存しており、魚は脊椎骨ではなく、ウロコからカルシウムを出し入れしている。例えば、メスのサケは、海から川に遡上するときにウロコからカルシウムを取り出して、卵にカルシウムを供給する。その時、ウロコの破骨細胞が活性化して、ウロコが溶けて小さくなることが証明されている。このウロコを用いて宇宙実験を短期間の準備期間で実施することができた。すなわち、国際宇宙ステーションを構成する日本の宇宙実験棟「きぼう」の宇宙実験に採択されたのが2008年であり、準備期間がわずか2年で宇宙実験を実施することができた。宇宙実験に採択されて10年以上の準備期間で宇宙実験が実施された研究が多い中で、2年という短い期間で実施できたのは、ウロコという優れた材料に注目したからである。このウロコを用いた宇宙実験(Fish Scales)を実施した実績を、責任著者の研究グループは有する。その研究では、宇宙空間で、わずか3日間の培養で破骨細胞が活性化して、ウロコの骨吸収が引き起こされ、メラトニンが骨吸収を抑制することを報告した。今後、メラトニンと他のホルモンとの相加・相乗作用を調べて、次の宇宙実験を実施していきたい。
参考:金沢大学プレスリリース「宇宙空間で引き起こされる骨吸収がメラトニンによって抑制!」https://www.kanazawa-u.ac.jp/rd/69389
--------------------------------------
【本件に関するお問い合わせ先】
■研究内容に関すること
金沢大学環日本海域環境研究センター 教授
鈴木 信雄(すずき のぶお)
TEL:0768-74-1151
E-mail:nobuos@staff.kanazawa-u.ac.jp
岡山大学学術研究院医歯薬学域(歯) 口腔形態学分野 准教授
池亀 美華(いけがめ みか)
TEL:086-235-6631
E-mail:ikegame@okayama-u.ac.jp
立教大学スポーツウエルネス学部スポーツウエルネス学科 特任教授
服部 淳彦(はっとり あつひこ)
TEL:048-471-7335
E-mail:ahattori1005@rikkyo.ac.jp
文教大学教育学部 理科専修 生物学研究室 教授
平山 順(ひらやま じゅん)
TEL:048-974-8811
E-mail:hirayama.jun@bunkyo.ac.jp
■広報担当
金沢大学理工系事務部総務課総務係
宮本 頌子(みやもと しょうこ)
TEL:076-234-6957
E-mail:s-somu@adm.kanazawa-u.ac.jp
岡山大学総務部広報課
TEL:086-251-7292
E-mail:www-adm@adm.okayama-u.ac.jp
立教学院企画部広報室
藤野 裕介(ふじの ゆうすけ)
TEL:03-3985-2202
E-mail:koho@rikkyo.ac.jp
文教大学学園法人事務局経営企画室
常盤 哲平(ときわ てっぺい)
TEL:03-5686-8577
E-mail:koho-m@stf.bunkyo.ac.jp
このプレスリリースには、メディア関係者向けの情報があります
メディアユーザー登録を行うと、企業担当者の連絡先や、イベント・記者会見の情報など様々な特記情報を閲覧できます。※内容はプレスリリースにより異なります。
すべての画像
