デジタルイメージングシステム 「APEXVIEW APX100」を発売
独自の光学技術とAI技術を用いて研究者のワークフローを改善 観察開始までにかかる時間は最短10秒、研究効率の向上に貢献
オリンパス株式会社の完全子会社である株式会社エビデント(代表取締役社長:斉藤 吉毅)は、ストレスフリーな操作で高精細な画像を取得し、研究効率向上に貢献するデジタルイメージングシステム「APEXVIEW APX100(エイペックスビュー エーピーエックス100)」を2022年9月上旬から全世界で発売予定です。
本製品は、当社の従来型顕微鏡と同様に高い光学性能を持ち、高品質な蛍光画像や明視野画像を取得可能です。再生医療やがん研究、脳科学研究など、幅広い分野の研究者のニーズに応えます。新機能として、AIを活用したスマートサンプルナビゲーターを搭載しており、本体にサンプルをセットすると、自動的にサンプルを検出し、サンプルセットから最短10秒で観察を開始できます。また、無色透明なサンプルでもコントラストを付けて立体的に観察できる、独自の観察手法・グラディエントコントラストに対応しています。さらにエビデントが提供するクラウドサービス「Olympus Life Science Solution Cloud(オリンパスライフサイエンスソリューションクラウド、以下OLSC)」に連携可能で、顧客の効率的なデータ管理にも貢献します。
▪主な特長
1. 観察開始までの準備工程が最短10秒、研究効率を向上し、ストレスフリーな使用感を実現
2. 新たな観察手法・グラディエントコントラストも加えた高い光学性能により、研究の信頼性向上
3. 自動データ整理機能やクラウド(OLSC)との連携により、効率的なデータ管理に貢献
様々な産業分野でデジタル化が進む昨今、顕微鏡を使う研究者の方々からも、デジタル化によるワークフローの改善を求める声がありました。例えば研究者からは、「観察前に行うサンプル探しやピント調整、研究の準備段階にかかる手間を削減して、実験結果の分析・考察に集中したい」というニーズがありました。このようなニーズに応えるべく、簡単に使えて、研究の効率化に貢献できる、デジタルイメージングシステム「APEXVIEW APX100」を開発しました。
▪主な特長の詳細
1. 観察開始までの準備工程が最短10秒、ストレスフリーな使用感を実現し、研究効率を向上
本製品はAIを活用したスマートサンプルナビゲーターを搭載しています。サンプルをサンプルホルダーにセットすると、ホルダー全体のマクロ画像を自動撮影し、AIがサンプルの位置を認識します。これによりサンプルの場所探しなど、観察前の煩わしい準備工程を自動化し、最短10秒で観察をスタートできます。また、新しいアルゴリズムの開発により、従来の顕微鏡ソフトウェア「cellSens(セルセンス)」に比べて、AF(オートフォーカス)速度が最大12倍に向上しているため、ユーザーはストレスを感じることなく使用できます。さらに本製品は、BOX型を採用しているため、従来の蛍光観察には必要だった暗室環境が不要です。これらの機能・仕様により、ユーザーの研究効率向上に貢献します。
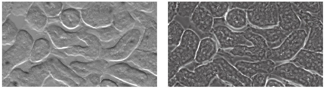
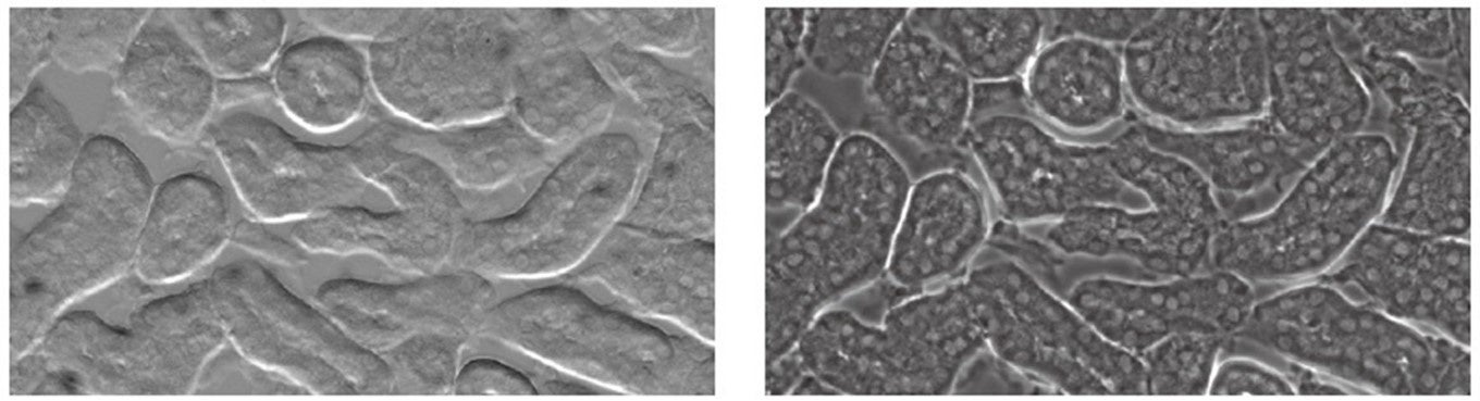
本製品は高い光学性能を誇る、当社の対物レンズラインアップ25種類に対応しています。高演色LED光源や、色再現性に優れたカラーカメラを使用することで、目視観察に限りなく近い忠実な色味を再現しています。さらに、本製品ではエビデント独自の新たな透過観察手法グラディエントコントラストに対応。これにより、iPS細胞や脳スライスのような厚みのあるサンプルにおいて、高コントラストで立体的な観察が可能です。
グラディエントコントラスト観察の方が、位相差観察に比べて組織の輪郭を立体的に観察できている。
3. 自動データ整理機能やクラウド(OLSC)との連携により、効率的なデータ管理に貢献
本製品が撮影したデータは、ソフトウェアが判別し整理を行い、サンプルごとに自動で生成されるフォルダへ保存されます。また、本製品はエビデントが提供するクラウドサービスOLSCと連携ができるため、研究に関するデータを一元管理することが可能です。過去の実験データの参照や、研究者間での共有をスムーズに行うことで、正確で効率的なデータ管理を実現することができます。
取得したデータは、サンプルごとに自動で保存される。
クラウド上でデータの一元管理ができる。効率よくスムーズにデータの参照、共有が可能。
本リリースに掲載されている社名及び製品名は各社の商標または登録商標です。
エビデントについて
エビデントは、科学的な視点で物事を見る姿勢を事業の根幹とし、イノベーションと探求の精神が私たちの行動の原点となっています。世界の人々の健康と安心、心の豊かさを実現するため、医学的研究分野、インフラ設備の点検、製造現場における品質管理、消費材に潜んだ有害物質の検出など、さまざまな現場におけるお客様の課題解決や成果の向上に貢献します。エビデントの産業分野におけるソリューションは、設備の保守、製造、環境用途の顕微鏡、ビデオスコープ、非破壊検査装置、X線分析装置まで多岐にわたっています。また、最先端の技術を搭載したエビデントの産業分野の製品は、品質管理、検査、測定の分野でも幅広く活用されています。ライフサイエンス分野においては、最先端のライフサイエンス・ソリューションの提供し広くコラボレーションをすることで、科学者や研究者の方々や病理医をサポートします。常にお客様の抱える課題の解決や、新たに生じるニーズに応えるべく、臨床研究や不妊治療、教育分野などに向けた幅広い用途の顕微鏡システムのラインアップを提供しています。
本製品は、当社の従来型顕微鏡と同様に高い光学性能を持ち、高品質な蛍光画像や明視野画像を取得可能です。再生医療やがん研究、脳科学研究など、幅広い分野の研究者のニーズに応えます。新機能として、AIを活用したスマートサンプルナビゲーターを搭載しており、本体にサンプルをセットすると、自動的にサンプルを検出し、サンプルセットから最短10秒で観察を開始できます。また、無色透明なサンプルでもコントラストを付けて立体的に観察できる、独自の観察手法・グラディエントコントラストに対応しています。さらにエビデントが提供するクラウドサービス「Olympus Life Science Solution Cloud(オリンパスライフサイエンスソリューションクラウド、以下OLSC)」に連携可能で、顧客の効率的なデータ管理にも貢献します。
▪主な特長
1. 観察開始までの準備工程が最短10秒、研究効率を向上し、ストレスフリーな使用感を実現
2. 新たな観察手法・グラディエントコントラストも加えた高い光学性能により、研究の信頼性向上
3. 自動データ整理機能やクラウド(OLSC)との連携により、効率的なデータ管理に貢献

様々な産業分野でデジタル化が進む昨今、顕微鏡を使う研究者の方々からも、デジタル化によるワークフローの改善を求める声がありました。例えば研究者からは、「観察前に行うサンプル探しやピント調整、研究の準備段階にかかる手間を削減して、実験結果の分析・考察に集中したい」というニーズがありました。このようなニーズに応えるべく、簡単に使えて、研究の効率化に貢献できる、デジタルイメージングシステム「APEXVIEW APX100」を開発しました。
▪主な特長の詳細
1. 観察開始までの準備工程が最短10秒、ストレスフリーな使用感を実現し、研究効率を向上
本製品はAIを活用したスマートサンプルナビゲーターを搭載しています。サンプルをサンプルホルダーにセットすると、ホルダー全体のマクロ画像を自動撮影し、AIがサンプルの位置を認識します。これによりサンプルの場所探しなど、観察前の煩わしい準備工程を自動化し、最短10秒で観察をスタートできます。また、新しいアルゴリズムの開発により、従来の顕微鏡ソフトウェア「cellSens(セルセンス)」に比べて、AF(オートフォーカス)速度が最大12倍に向上しているため、ユーザーはストレスを感じることなく使用できます。さらに本製品は、BOX型を採用しているため、従来の蛍光観察には必要だった暗室環境が不要です。これらの機能・仕様により、ユーザーの研究効率向上に貢献します。


本製品は高い光学性能を誇る、当社の対物レンズラインアップ25種類に対応しています。高演色LED光源や、色再現性に優れたカラーカメラを使用することで、目視観察に限りなく近い忠実な色味を再現しています。さらに、本製品ではエビデント独自の新たな透過観察手法グラディエントコントラストに対応。これにより、iPS細胞や脳スライスのような厚みのあるサンプルにおいて、高コントラストで立体的な観察が可能です。

グラディエントコントラスト観察の方が、位相差観察に比べて組織の輪郭を立体的に観察できている。
3. 自動データ整理機能やクラウド(OLSC)との連携により、効率的なデータ管理に貢献
本製品が撮影したデータは、ソフトウェアが判別し整理を行い、サンプルごとに自動で生成されるフォルダへ保存されます。また、本製品はエビデントが提供するクラウドサービスOLSCと連携ができるため、研究に関するデータを一元管理することが可能です。過去の実験データの参照や、研究者間での共有をスムーズに行うことで、正確で効率的なデータ管理を実現することができます。

取得したデータは、サンプルごとに自動で保存される。

クラウド上でデータの一元管理ができる。効率よくスムーズにデータの参照、共有が可能。
本リリースに掲載されている社名及び製品名は各社の商標または登録商標です。
エビデントについて
エビデントは、科学的な視点で物事を見る姿勢を事業の根幹とし、イノベーションと探求の精神が私たちの行動の原点となっています。世界の人々の健康と安心、心の豊かさを実現するため、医学的研究分野、インフラ設備の点検、製造現場における品質管理、消費材に潜んだ有害物質の検出など、さまざまな現場におけるお客様の課題解決や成果の向上に貢献します。エビデントの産業分野におけるソリューションは、設備の保守、製造、環境用途の顕微鏡、ビデオスコープ、非破壊検査装置、X線分析装置まで多岐にわたっています。また、最先端の技術を搭載したエビデントの産業分野の製品は、品質管理、検査、測定の分野でも幅広く活用されています。ライフサイエンス分野においては、最先端のライフサイエンス・ソリューションの提供し広くコラボレーションをすることで、科学者や研究者の方々や病理医をサポートします。常にお客様の抱える課題の解決や、新たに生じるニーズに応えるべく、臨床研究や不妊治療、教育分野などに向けた幅広い用途の顕微鏡システムのラインアップを提供しています。
このプレスリリースには、メディア関係者向けの情報があります
メディアユーザーログイン既に登録済みの方はこちら
メディアユーザー登録を行うと、企業担当者の連絡先や、イベント・記者会見の情報など様々な特記情報を閲覧できます。※内容はプレスリリースにより異なります。
すべての画像
