フィリップス、携帯型超音波診断装置「Lumify (ルミファイ )」にリアルタイム血流定量評価機能を搭載
ポイントオブケア超音波を次世代へ導くパルスドプラ技術

フィリップスは、パルスドプラ法による血流計測機能を搭載した携帯型超音波診断装置「Lumify(ルミファイ)」の最新モデルを4月15日(金)より販売開始します。
超高齢社会の進展に加え、新型コロナウィルス感染症の拡大による医療提供体制の逼迫により、救急医療や集中治療、在宅医療のニーズが増大しています。そして、これらの医療現場では、臨床医がベットサイドで関心領域を絞って行う超音波検査「ポイントオブケア超音波(Point-Of-Care Ultrasound; POCUS)」が急速に普及しつつあります。
POCUSは、日本人の三大死因のひとつである心疾患、新型コロナウィルス感染による肺炎、透析患者のバスキュラーアクセス、プライマリケアなど、さまざまな医療環境で活用されています。これらの検査の多くは、ベットサイドや病院外(在宅)で行われるため、持ち運びが容易な携帯型超音波診断装置が普及しています。携帯型装置は、機能を絞って小型化しているため、断層像やカラー画像での評価が一般的で、血行動態を定量評価する機能は搭載されていませんでした。
「Lumify」は、より多くの情報を提供するため、新たにパルスドプラ法による血行動態の評価・計測機能を搭載しました。POCUSで血行動態を把握することは、循環器内科や救急医療などのあらゆる医療現場で、診断の信頼性を高め、POCUSを新たなレベルへ高めることが期待されます。
「Lumify」の製品特長
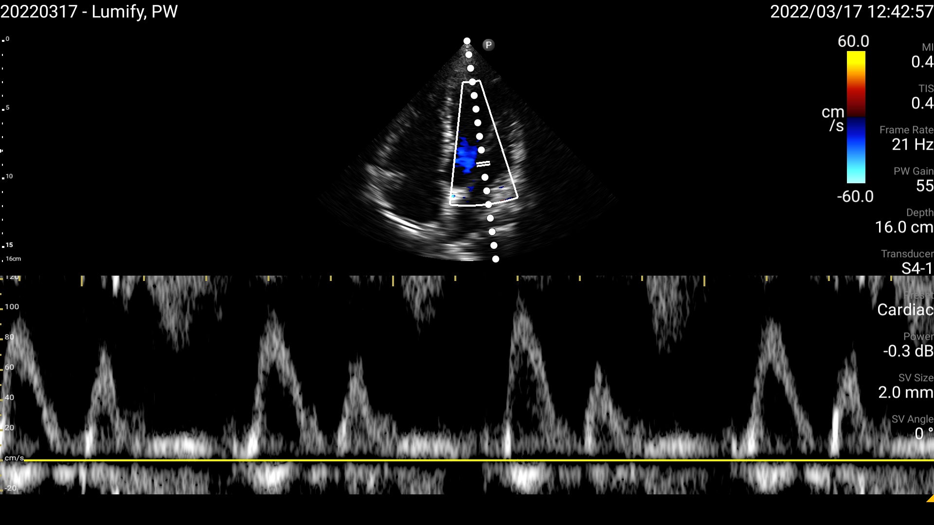
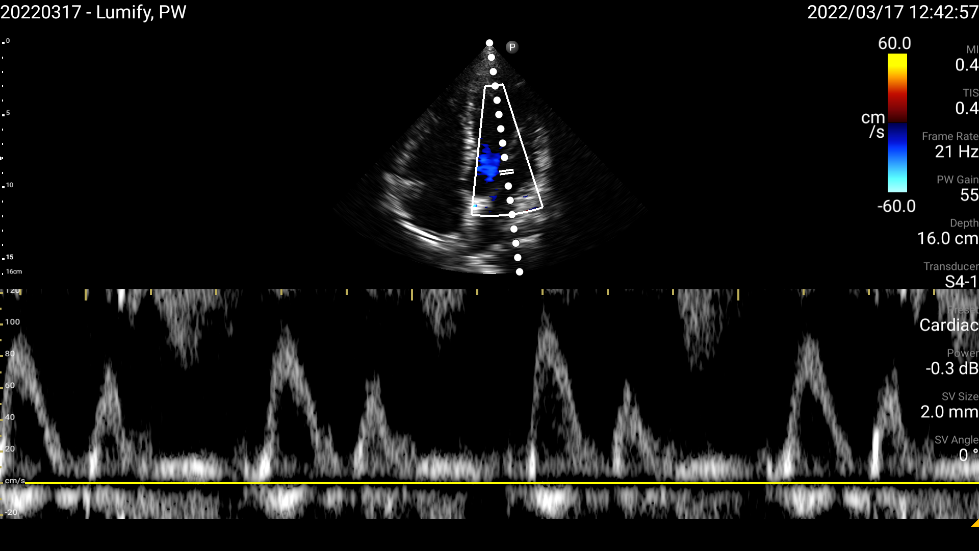
1. パルスドプラ法(血流計測機能)
全てのトランスジューサで、パルスドプラ法による血流の定量評価が可能です。心不全や動脈硬化、バスキュラーアクセスや臍帯血流の評価等に活用できます。さらに自動調整機能により、ワンボタンで波形の最適化が可能です。
パルスドプラ法による僧帽弁血流速度波形(S5-1セクタ・トランスジューサ)
2. さまざまな医療環境に対応可能な3種類のトランスジューサ
診断領域ごとの専門性を追求し設計、開発されたトランスジューサは、軽量かつ高画質です。POCUSで求められる迅速な診断をサポートし、幅広い医療現場のニーズにお応えします。
左からC5-2(コンベックス)、L12-4(リニア)、S4-1(セクタ)
3. 「B-Lineカウンティング」機能(肺エコー用ソフトウェア)
新型コロナウィルス感染症の拡大に伴い、肺エコーのニーズが高まっています。「B-Lineカウンティング」機能は、肺炎などで発生するB-lineを自動計測し、リアルタイム表示します。客観的かつ視覚的なデータは、COVID-19症例の重症度評価に役立ちます。
「B-Lineカウンティング」機能のレポート画像
4.「Reacts [1]」機能(遠隔画像共有機能)
POCUSの課題の一つに教育システムの構築があります。「Reacts」機能は、遠隔地にいるユーザーと超音波画像や音声をリアルタイムに共有することができるツールです。「Reacts」機能をトレーニングに活用することで、超音波検査の手技向上をサポートします。
「Reacts」画像共有機能
5. 感染対策を重視した設計
タブレットとトランスジューサはイソプロピルアルコールの拭き取り清掃が可能です。また、タブレットはすべてタッチパネルで操作でき、簡単に清掃することができます。
[1]「Reacts」は、「Remote Education, Augmented Communication, Training and Supervision」の略です。本技術の提供には、各ユーザーによるインターネット環境の構築が必要となります。

| 販売名 | 超音波画像診断装置 Lumify |
| 医療機器認証番号 | 302AFBZX00043000 |
| クラス分類 | 管理医療機器/特定保守管理医療機器 |
フィリップス・ジャパン(旧フィリップス エレクトロニクス ジャパン)は、超高齢社会を迎える日本の健康と医療の問題に貢献したいと、2019年4月1日よりフィリップス・レスピロニクス合同会社と統合し、ヘルスケア分野の変革に取り組んでいるヘルステックカンパニーです。今後、病院で使用されるフィリップスの先進医療機器やパーソナルヘルスと呼ばれるオーラルヘルスケア(電動歯ブラシ)、AED、在宅呼吸器などがクラウド上で繋がることで、人々の健康な生活、予防、診断、治療、ホームケアという「一連のヘルスケア・プロセス」において、革新的な医療ソリューションを提供していきます。医療従事者の皆様、患者様だけでなく、すべての人々の健康な生活への貢献を目指します。(https://www.philips.co.jp)
ロイヤル フィリップスについて
ロイヤル フィリップス(NYSE:PHG, AEX:PHI)は、人々の健康の向上にテクノロジーで貢献するヘルステック分野のリーディングカンパニーです。健康な生活、予防、診断、治療、ホームケアという一連のヘルスケア・プロセスを通じて、先進的なテクノロジーと、医療従事者および消費者のインサイトを基に、人々の健康を改善し良好な結果をもたらすための包括的なソリューションを提供しています。主な事業領域は、画像診断、画像誘導治療、生体情報モニター、ヘルスインフォマティックスのみならず、パーソナルヘルスや在宅医療まで、さまざまな領域に渡ります。フィリップス ヘルステック事業の2021年の売上高は172億ユーロ、オランダを拠点に全世界に78,000人の従業員を擁し、世界100ヵ国以上でビジネスを展開しています。フィリップスに関するニュースはこちらからご覧ください。(http://www.philips.com/newscenter/)
このプレスリリースには、メディア関係者向けの情報があります
メディアユーザーログイン既に登録済みの方はこちら
メディアユーザー登録を行うと、企業担当者の連絡先や、イベント・記者会見の情報など様々な特記情報を閲覧できます。※内容はプレスリリースにより異なります。
すべての画像