フィリップス超音波診断装置 「EPIQ」/「Affiniti」ソフトウェア「VM10」と、超高周波マイクロリニア「mL26-8トランスジューサ」を3月より発売
自動画像調整や立体感のある血流イメージにより、より迅速で確実な診断をサポート

社会問題化している医師の長時間労働改善に向けた取り組みとして、令和6年(2024年)4月より「医師の働き方改革」が始まります。これに伴い、それぞれの専門職に業務の移管や共同化を図る「タスク・シフト/シェア」が推進されています。技師や看護師の活躍の場が広がる一方で、これまでよりも業務の効率化が求められ、患者の安全性と技術の担保が必須の課題となっています。
フィリップスは、超音波診断装置「EPIQ」/「Affiniti」のパフォーマンスを刷新したソフトウェア「VM10」をリリースすることで、患者個別に調整された画像診断情報を迅速かつ高精度で提供する現場のニーズに応え、よりシンプルなユーザーエクスペリエンスで確度の高い診断に貢献します。
超音波診断装置「EPIQ」/「Affiniti」 ソフトウェア「VM10」の主な特長
自動画像調整ツールで、リアルタイムに一貫したイメージクオリティを提供
新たに自動画像調整ツール「AutoSCAN Assistant」が登場し、自動でより精密な画像調整が可能となりました。検査中のゲイン・TGC/LGC・Focusの手動調整の手間を減らし、患者一人ひとりに最適化された画像をリアルタイムに描出するとともに、術者の経験や技術に左右されない一貫したイメージクオリティの提供が可能になりました。自動画像調整ツール「AutoSCAN Assistant」の主な機能
「Next Generation AutoSCAN」
ピクセル単位の最適化アルゴリズムによって、自動かつ精密に視野全体の輝度バランスを調整します。これにより、手動によるゲインおよびTGC/LGC の調整を減らし、視野全体の視認性を向上させることができます。例えば、肋骨による陰影部分にも自動輝度調整が行われるため、視野全体の視認性が向上します。「AutoSCAN Penetration」
超音波は身体の深部に進むほど減衰するため、ゲインだけでなく、TGC による輝度調整も必要です。「AutoSCAN Penetration」機能は、深部へ行くに従って信号強度を緩やかに、自動で増強または減弱する機能で、TGCによる微調整の手間を省きます。「Auto Focal Zone」
視野深度を変更した際に、画面上の特定の位置に焦点域を維持するように自動でフォーカス調整が行われます。これにより、検査中のフォーカス位置再調整の必要性を大幅に低減し、同時に検査を通して視野全体で良好な均一性を維持した画像を提供します。
立体感のある血流イメージ「Flow Viewer」で視認性が格段に向上
「Flow Viewer」 は血流イメージに3 D のようなレンダリングを取り入れた表示法です。「Flow Viewer」はすべてのカラーモード(Color, CPA, Directional CPA, MFI, MFI HD)で使用可能で、血流に立体感を与えることで、従来のカラー画像に比べて、血管の鮮明度や境界の明瞭性に優れ、小血管の分岐と隣接血管の視認性が向上します。また、カラーの血管外へのはみだしや、呼吸などの動きによるにじみも減少し、これにより一目でより多くの臨床情報を把握することができます。
「Flow Viewer」による腎臓の血流イメージ:使用前(左)と使用後(右)システム間で共通するプラットフォーム
「EPIQ」/「Affiniti」に加え、昨年新しく販売を開始した小型ポータブル装置「Compact5000シリーズ」は、システム間で共通するプラットフォームにより統一されたワークフローによって、ユーザーは操作性に煩わされることなく、患者のケアに集中することができます。
フィリップスの超音波診断装置
超高周波マイクロリニア「mL26-8トランスジューサ」の主な特長
高周波ながら幅広い臨床領域に対応
mL26-8 トランスジューサフィリップスのトランスジューサポートフォリオの中で最も周波数の高いマイクロリニアトランスジューサで8~26MHzの周波数をカバーします。従来のトランスジューサと比較して空間分解能が36%、透過性が64%向上[1]しており、真皮のように非常に浅い領域から、乳腺・甲状腺や表在血管、整形、新生児、眼球など、幅広い臨床領域で明瞭な画像を取得することができます。トラペゾイドモードを併用すると視野が75%広がり[2]、観察時の視認性が向上します。
エルゴノミクスデザイン
軽量で握りやすいハンドルデザインを採用しました。小型の形状は狭いウィンドウからのスキャンや、小さい臓器へのアクセスを容易にします。またケーブルを従来品より30cm長くすることで、手術室の清潔野や保育器などで優れた汎用性を発揮します。
小さいながらも充実した機能
血流情報を詳細に観察するため、微細な血流を表示するMicro Flow Imaging (MFI)とMFI HD、そして新しい血流表示のFlow Viewerに対応し、臨床的に価値のある画像を提供します。穿刺の際には、針の視認性を向上するNeedle Visualizationモードにも対応しており、トランスジューサヘッドには4つのセンターマーカーが記されているため、穿刺の際の位置決めに役立ちます。
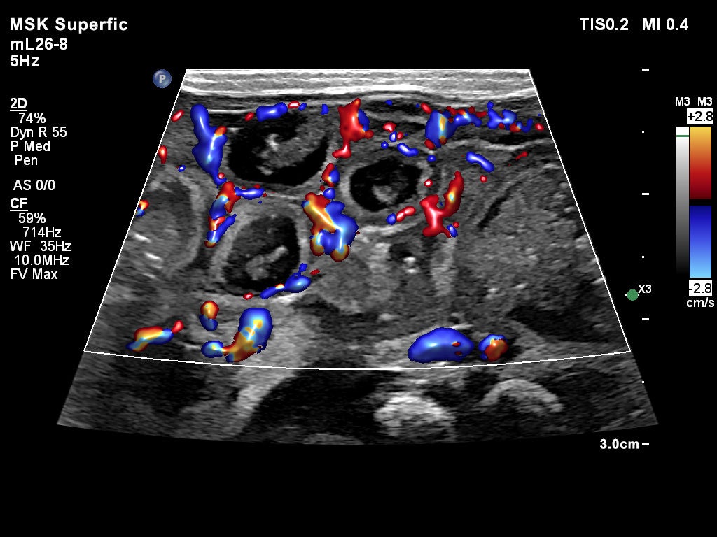
mL26-8画像 腸管(カラー・Flow Viewer)
受賞歴[3]のある「mL26-8 トランスジューサ」
[1]:Compared to the predecessor transducer L15-7io.
[2]:Compared to the predecessor transducer L15-7io for all depths greater than 1.6 cm.
[3]:「mL26-8 トランスジューサ」はJFR ; Journées Francophones de Radiologie (2023) の一般画像部門で "Best Innovation Award "を受賞
販売名:超音波画像診断装置 EPIQ/Affiniti
医療機器承認番号:225ADBZX00148000
特定保守管理医療機器/管理医療機器
販売名 :超音波画像診断装置 Compact 5000 シリーズ
医療機器認証番号:305ADBZX00012000
特定保守管理医療機器/管理医療機器
販売名:フィリップス 超音波診断用プローブ mL26-8
医療機器承認番号:305AFBZX00103000
特定保守管理医療機器/管理医療機器
このプレスリリースには、メディア関係者向けの情報があります
メディアユーザー登録を行うと、企業担当者の連絡先や、イベント・記者会見の情報など様々な特記情報を閲覧できます。※内容はプレスリリースにより異なります。
すべての画像