北海道大学・岩内協会病院・岩内町との共同プロジェクトにて、尿がん検査「マイシグナル」から肺がんステージ0の早期発見・早期治療を実証
~第42回呼吸器外科学会学術大会にて発表~
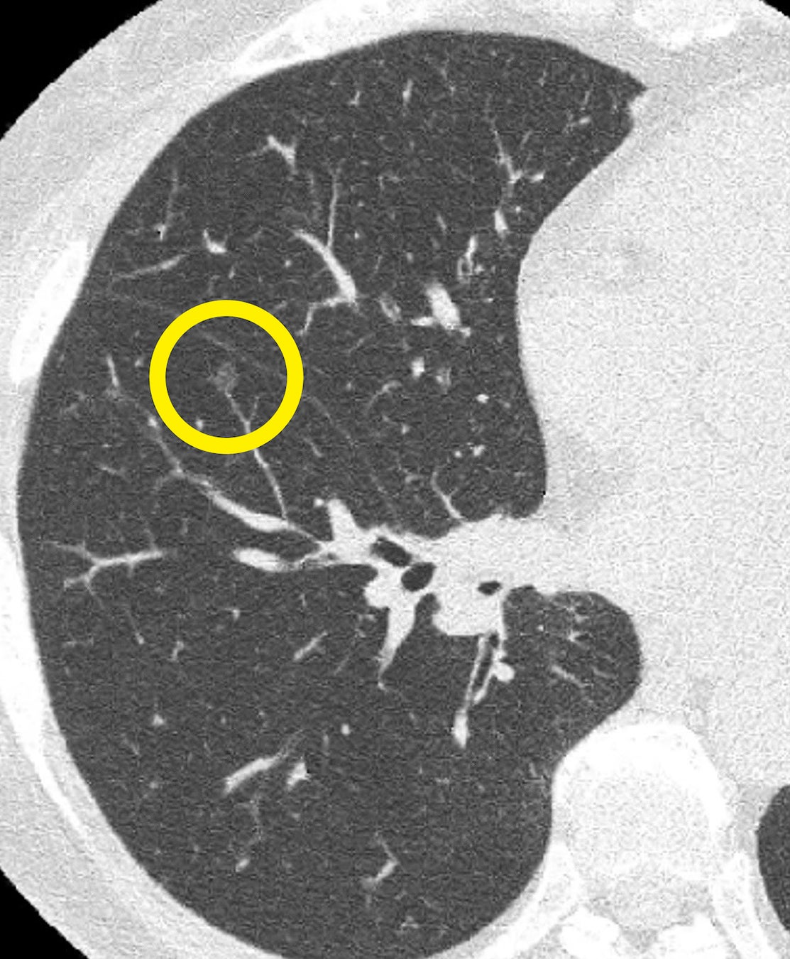
尿がん検査「マイシグナル」を提供するCraif株式会社(所在地:東京都文京区、CEO:小野瀨 隆一、以下Craif)は、第42回 呼吸器外科学会学術大会にて、北海道大学病院 加藤達哉教授らと共同で実施した肺がんに関する前向き観察研究(*1)「北海道でのマイシグナルを用いた肺癌スクリーニングの有効性の検証」の成果を発表いたしました。今回の取り組みでは、マイシグナルの検査結果から肺がんのリスクが高いと判定された方が精密検査を受け、肺がんの疑いのある腫瘍が発見されました。その結果、手術によりステージ0の肺がん(AIS: Adenocarcinoma in situ)を取り除くことができ、完治に至りました。

*1.特定の集団に治療や指導等による介入(通常診療と同じように実施される検査を除く)もせず、健康状態や疾病の発生を観察し、データを収集する研究手法
■ 取り組みの背景と目的
Craifは「人々が天寿を全うする社会」の実現を目指し、医療の中心を“治療”から“予防”へとシフトさせ、がんをはじめとした疾患の早期発見・早期治療に取り組んでいます。日本では高齢化が急速に進み、2人に1人ががんに罹患し、3人に1人ががんで亡くなる時代に突入しています。一方で、がん検診の受診率は約40%(*2)と、国際的にも低水準にとどまっています。特に北海道では、広大な地理的制約などが影響し、医療機関や人材の不足などにより、医療資源が限られており、他の都道府県に比べてがん検診受診率がどの部位も大幅に低いことが知られております(*3)。がん検診の受診率が低いことで、がんの早期発見が難しくなり、結果として重症化や医療費の高騰につながるリスクが高まっています。
こうした背景を受け、Craifは2023年、北海道大学や旭川医科大学、サツドラホールディングス株式会社などとともに、がん早期発見・早期治療に向けたコンソーシアム「CRUSH-Cancer」(*4)を設立。コンソーシアムの一環として、がん検診率が約6%(*5)と極めて低い北海道岩内町にて、尿がん検査「マイシグナル」を活用した肺がんの前向き観察研究を実施。また、がん啓発のイベントなどを通じた住民の意識向上にも取り組みました。がん検診の受診率を上げることはがんの早期発見に寄与するといわれており、高精度かつ簡便で自宅でも実施可能な「マイシグナル・スキャン」を活用することで、地理的な制約に起因する北海道の低い検診率という社会課題の解決に今後も貢献してまいります。
*2.国立がん研究センターがん対策情報センター
*3.国立がん研究センターがん情報サービス「がん統計」国民生活基礎調査 都道府県別の受診率(2019)
*4.Cooperative Research group for Urinary miRNA-SCREENING-Hokkaido-Cancerの略
*5.令和4年度地域保健・健康増進事業報告(厚生労働省)がんに関する統計・調査
■ 共同研究概要
本研究は、Craifが肺がんリスクが高い方を対象に「マイシグナル・スキャン」を100セット無償提供し、「マイシグナル・スキャン」でリスクが高いと評価された方をフォローアップし、肺がんの診断率を評価したものです。さらに、年単位での追跡調査を通じて、肺がんの罹患率や予後への影響、関連する因子の特定を目指しています。今回の追跡調査の結果、マイシグナル検査で肺がんのリスクが高いと判定された方が精密検査を受け、肺がんの疑いのある腫瘍が発見されました。その結果、手術によりステージ0(AIS)の肺がんを取り除くことができ、完治に至りました。
(共同研究詳細)
・目的:肺がん高リスク群に「マイシグナル・スキャン」を用いた肺がんサーベイランスを実施。その診断率を評価し、また追跡調査から罹患率、予後への影響、これらに関係する因子を推定することを目的とする。
・研究の種類:探索的前向き観察研究
・対象者:北海道岩内町、余市町在住者 100例
・期間:〜2025年3月


■ 第42回 呼吸器外科学会学術大会 について
・開催期間:2025年5月15日(木)〜5月16日(金)
・会場:グランドニッコー東京台場
・公式ホームページ:https://www.congre.co.jp/jacs2025/
■ マイシグナル・スキャンについて
「マイシグナル・スキャン」は、がんの発症や進行、転移に重要な役割を果たすマイクロRNAに着目した尿がん検査です。本サービス最大の特長は“痛みがない”という点です。ご自宅または導入医療機関で採尿するだけで、負担なく気軽にがんのリスクチェックを行っていただけます。現在の対応がん種は大腸がん、肺がん、胃がん、乳がん、すい臓がん、食道がん、卵巣がんの最大7種です。
詳細はWebサイトをご覧ください。(https://misignal.jp/)
マイシグナルシリーズは医療機器ではありません。解析した情報を統計的に計算することによりリスクを判定するものであり、医療行為としてがんに罹患しているかどうかの「診断」に変わるものではなく、リスクが低いと判定された場合でもがんが無いまたは将来がんにかからないとは限りません。
■「CRUSH-Cancer」について
CRUSH-Cancerは、Craif、サツドラHD、社会医療法⼈北⽃ 北⽃病院、社会医療法⼈元⽣会 森⼭病院、医療法⼈社団静会 静和記念病院との5者間と、複数の医療機関より医療技術協力をいただいているがんの早期発⾒と早期治療を⽬的としたコンソーシアムです。 尿がん検査(マイシグナル®︎)の医学的あるいは社会的な有効性を検証していく取り組みです。
<CRUSH-Cancer参画機関>
1. Craif株式会社(所在地:東京都文京区、CEO:小野瀨 隆一)
2. サツドラホールディングス株式会社(所在地:北海道札幌市、代表取締役社長 CEO:富山 浩樹)
3. 社会医療法⼈北⽃ 北⽃病院(所在地:北海道帯広市、理事長:鎌⽥ ⼀)
4. 社会医療法⼈元⽣会 森⼭病院 (所在地:北海道旭川市、理事長:森⼭ 領)
5. 医療法⼈社団静和会 静和記念病院(所在地:北海道札幌市、理事長:川上 雅⼈)
<医療技術協力>
1. 旭川医科大学内科学講座 消化器・内視鏡学部門 教授 藤谷 幹浩
2. 北海道大学大学院医学研究院 消化器外科学教室II 教授 平野 聡
3. 北海道大学大学院医学研究院 産婦人科学教室 教授 渡利 英道
4. 北海道大学大学院医学院 外科学講座 呼吸器外科学教室 教授 加藤 達哉
■ Craifについて
Craifは、2018年創業の名古屋大学発ベンチャー企業です。尿などの簡単に採取できる体液中から、マイクロRNAをはじめとする病気に関連した生体物質を高い精度で検出する基盤技術「NANO IP®︎(NANO Intelligence Platform)」を有しています。CraifはNANO IP®︎を用いてがんの早期発見や一人ひとりに合わせた医療を実現するための検査の開発に取り組んでいます。さらに、すい臓がんが当たり前に早期発見できる世の中を目指し、「すい臓がん啓発プロジェクト powered by マイシグナル」を発足し、がんの啓発活動を推進しています。
【会社概要】
社名:Craif株式会社(読み:クライフ、英語表記:Craif Inc.)
代表者:代表取締役 小野瀨 隆一
設立:2018年5月
資本金:1億円(2024年3月1日現在)
事業:がん領域を中心とした疾患の早期発見や個別化医療の実現に向けた次世代検査の研究・開発、尿がん検査「マイシグナルシリーズ」の提供
本社:東京都文京区湯島2-25-7 ITP本郷オフィス5F
このプレスリリースには、メディア関係者向けの情報があります
メディアユーザー登録を行うと、企業担当者の連絡先や、イベント・記者会見の情報など様々な特記情報を閲覧できます。※内容はプレスリリースにより異なります。
すべての画像
- 種類
- 商品サービス
- ビジネスカテゴリ
- 医薬・製薬フィットネス・ヘルスケア
- 関連リンク
- https://craif.com/
- ダウンロード
