キングス カレッジ ロンドンの研究者チームが NVIDIA Cambridge-1 スーパーコンピューターと MONAI を活用し、オープン ソースの脳合成画像群を生成

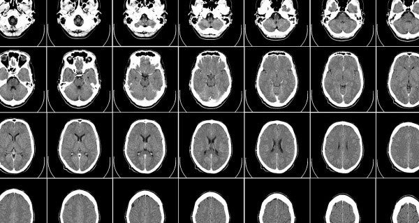
キングス カレッジ ロンドンの医用画像 AIの研究チームが、人間の脳のリアルな 3D 画像を AI で生成する手法を発見し、 10 万枚の脳の合成画像をヘルスケア分野の研究者に無償で公開することを発表しました。 このデータにより、 認知症やパーキンソン病をはじめ、 あらゆる種類の脳疾患への理解促進が期待されるます。
ヘルスケア分野での AI 活用を加速
本研究チームを率いるホルヘ カルドソ (Jorge Cardoso) 氏は、London AI Centre ( https://www.aicentre.co.uk/ ) の CTO であり、MONAI ( https://monai.io/ ) オープン ソース コンソーシアムの創設メンバーでもあります。
「これまで、良質なデータが得られないがために多くの研究者がヘルスケア分野での研究を敬遠してきました。しかしこれからは、その心配がなくなるのです」とカルドソ氏は話します。「AI の持つ力をヘルスケア分野に注げるようになることが我々の望みです。」
これは、脳画像を無償提供する世界最大リポジトリへの非常に大きな貢献となります。現在 UK バイオバンクには、協力者 5 万人あまりからそれぞれ複数枚撮影された脳の画像群が所蔵されていおり、収集には 1 億 5,000 万ドルのコストがかかったと試算されています。
科学分野における合成データ
これらの画像は、合成データ(https://blogs.nvidia.com/blog/2021/06/08/what-is-synthetic-data/ )におけるヘルスケアの一分野の台頭を表しており、この種の合成データはすでにコンシューマー向け、ビジネス向けアプリケーション用コンピューター ビジョンの分野で広く採用されているものです。皮肉なのは、それらの分野では何百万枚もの実世界の画像が含まれたオープン データセットにもアクセスできることでしょう。
一方、医用画像は相対的に不足しており、患者のプライバシー保護の必要上、利用できるのは大病院とつながりのある研究者のみということが一般的です。その場合でさえ、医用画像の数はその病院が抱える患者の属性を反映したものになりがちで、多くの人口をカバーしたものとは限りません。
カルドソ氏の AI アプローチのありがたいところは、画像を必要に応じて生成できる点です。女性の脳、男性の脳、年配者の脳、若者の脳というように。求める条件を入力すれば、それらの画像が生成されます。
シミュレーションの結果とはいえ、検証を重ねたアルゴリズムに基づくそれらの画像は有用で、その見た目と働きはまるで本物の脳のようです。
Cambridge-1 上で MONAI によるスケーリング
研究には、スーパー ソフトウェアを実行するスーパーコンピューターが必要でした。
そこで、ヘルスケア分野での画期的な AI 研究を推進するために関発されたスーパーコンピューター「NVIDIA Cambridge-1」がそのエンジンとして採用され、医用画像のための AI フレームワーク「MONAI」がソフトウェアの燃料の役割を果たすことになったのです。
両者の融合によって生み出された合成データ用の AI ファクトリーでは、研究者が何百もの実験を行い、ベストな AI モデルを選択し、推論を実行して画像を生成できます。
「これは、Cambridge-1 と MONAI がなければ成し得なかった研究です。到底不可能だったでしょう」と、カルドソ氏は振り返ります。
大容量画像を最大 10 倍のスピードで生成
NVIDIA DGX SuperPOD である Cambridge-1 は、640 基の NVIDIA A100 Tensor コア GPU (https://www.nvidia.com/ja-jp/data-center/a100/ ) を搭載し、各 GPU は同チームの最大 1,600 万 3D ピクセルから成る画像を 1 ~ 2 枚生成するために必要な容量のメモリを積んでいます。
MONAI の構成要素には、分野に特化したデータ ローダー、メトリクス、GPU によって高速化された変換機能、最適化されたワークフロー エンジンが含まれます。このソフトウェアのスマートなキャッシングと複数ノードのスケーリングによって処理を最大 10 倍まで加速できると、カルドソ氏は説明します。
また同氏は、cuDNN と「NVIDIA の AI ソフトウェア スタック全体のおかげで研究が格段に速く進んだ」と評価しています。
脳以外での応用
英国営リポジトリである Health Data Research UK (https://www.hdruk.ac.uk/ ) で、10 万枚の脳画像が所蔵される予定です。カルドソ氏は、自身の AI モデルも利用できるようにして、研究者が必要とするどのような画像でも生成できるようにしたいと望んでいます。
それだけではありません。同氏のチームは、人体構造のあらゆる部位の 3D 画像を、MRI、CAT、PET スキャンなど任意の医用画像形式で生成できる方法を模索しています。
「実際にこの手法は、あらゆる容積画像に応用可能です」と同氏は述べ、利用者が画像の種類ごとにモデルの最適化を行う必要があるかもしれないと言います。
今後の多様な方向性
この研究は多様な方向性を指し示していると、カルドソ氏は熱く語ります。
合成画像は、研究者が疾患の経時的な変化を確認するのに役立つでしょう。一方で、同氏のチームは今もこの研究成果を脳以外の人体部位に応用する方法や、最も有用な合成データの種類 (MRI、CAT、PET) を模索し続けています。
その可能性の多様さは驚くべきもので「少し圧倒されるほどです」と同氏は言います。「今、考え始められることはあまりにもたくさんあるのです。」
このプレスリリースには、メディア関係者向けの情報があります
メディアユーザーログイン既に登録済みの方はこちら
メディアユーザー登録を行うと、企業担当者の連絡先や、イベント・記者会見の情報など様々な特記情報を閲覧できます。※内容はプレスリリースにより異なります。
すべての画像
- 種類
- 商品サービス
- ビジネスカテゴリ
- 電子部品・半導体・電気機器医療・病院
- ダウンロード
