『CARADA健診サポートパック』、検査画像返却機能の本格提供を開始
~同機能を追加した「スタンダードメニュー」も販売!~
本機能により、受診者は健診結果をより正確に把握できるほか、医療機関受診の際に画像データを医師に提示する※2など、より個人に寄り添った診療を受けられるようサポートします。さらに、受診者への画像データの郵送の手間の削減など、健診機関の業務効率化を支援します。
また本機能と、健診データを院内システムや受診者専用アプリに自動登録できる「データ連携機能」がセットになった「スタンダードメニュー」の販売を5月より開始します。
◆「検査画像返却機能」により、個人のPHR活用や健診機関の業務効率化をさらに後押し!

当社が実施した調査では、健康診断の結果に加えて、X線やエコー、CT、MRIなどの医療機器を用いて撮影した画像データを確認できることについて、約7割の受診者が好意的に受け止めていることが分かりました※3。一方で、多くの健診機関では画像返却の要望に対応するために、CD-ROMやDVDなどに画像データを保存して受診者へ郵送するなどの業務が発生しています。
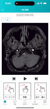
そのような背景を受け、『CARADA健診サポートパック』では本機能を追加します。本機能は、健康診断にて撮影したX線などの画像データを受診者専用アプリ『CARADA 健診サポート』にて閲覧可能とするものです。アプリ上の画像データは、医用画像の共通規格であるDICOM※4形式で表示され、受診者は医療用の高解像度のデータを、角度を変えたり、拡大・縮小しながらスマートフォンで簡単に確認できます。
これにより、受診者は健診結果の正確な把握に加え、医療機関で診察を受ける際などにアプリ上の画像データを医師に提示することができ、自身の健康状態を正確かつ詳細に説明できるなど、より個々人に合わせた医療を受けられる機会を創出します。また、画像データの保存、配送などの健診機関側のコスト削減や業務効率化を図るとともに、受診者のニーズに合わせた対応を迅速に実施できるようになるなど、満足度やリピート率向上を支援します。
≪「検査画像返却機能」を利用できる健診機関≫
本機能は、現在以下の健診機関にて利用可能です※5。
・医療法人社団 健診会 東京メディカルクリニック:https://www.dock-tokyo.jp/
・医療法人知音会 御池クリニック:https://www.oike-clinic.jp/
・医療法人知音会 御池クリニック レディースプラザ:https://www.oike-ladies.jp/
◆新機能を加えた、健診機関の業務を包括的にサポートする「スタンダードメニュー」の販売スタート!
5月より、本機能と、受診者の健診データを院内の健診システムや受診者専用アプリ『CARADA 健診サポート』に自動登録できる「データ連携機能」をセットとした、「スタンダードメニュー」の販売も開始します。
≪スタンダードメニューの提供機能一覧≫
・健康診断結果のアプリ送付
・検査値速報
・受診前、二次検査などのお知らせの手動/自動通知
・オプション検査案内
・二次検査の受診勧奨/追跡調査
・導入サポート
・健康診断にて撮影した画像データのアプリ送付
・院内の健診システムや受診者専用アプリへの健診データの自動連携
※機能や通知ごとに対象とする受診者を属性(氏名・性別・年代・所属・受診コース)や健診結果で絞り込むことが可能です。
今後も『CARADA 健診サポートパック』は、健診機関のICT化を促進し、業務効率化や受診者の満足度向上を図るとともに、個人がPHR※6を活用できる仕組みを構築し、より個人の状況に合った健康増進や医療を受けられる社会の実現に貢献します。
【健診機関向けサービス】

サービス名:CARADA健診サポートパック
受診者が健康診断結果を簡単に閲覧できる専用アプリ『CARADA健診サポート』とCARADA健診管理ツールをパッケージにしたサービスです。
受診者との密なコミュニケーションを実現し、リピート受診者の増加、受診後のアフターフォローの充実、他健診機関との差別化などを支援していきます。
料金・詳細はこちら:https://www.carada.jp/kenshin-clinic/
【受診者向けアプリ】

サービス名:CARADA健診サポート
月額料金(税込):無料
アクセス方法:・アプリ:App Store、Google Playで『CARADA健診サポート』で検索
(対応OS: Android 7.0以上、iOS 14以上)
『CARADA健診サポートパック』を導入している健診機関の受診者が利用できます。
詳細はこちら:https://www.carada.jp/kenshin-clinic/jushinsha/

が目指す未来
人生100年時代、できるだけ心身ともに健康であり続けたい、多くの人がそう考えています。
しかし、自分の健康を、自分の意志で維持するのは意外と難しいこと。CARADAでは生活の記録、お薬の記録、健康診断の記録、検査の記録といった、ひとりひとりの健康の土台となる日々の情報を継続的に管理することができます。そしてこれからは共有したい情報を、共有したい相手にだけ、簡単に共有できる世界を築いていきます。
わたしたちはCARADAを通じ、健康を、個人が自分自身でケアするだけではなく、企業、地域、健診機関、薬局、クリニックや病院、そして家族といった、個人の身近な「つながり」で支えるものに変えていきます。
※1 検査画像返却機能の利用は「スタンダードメニュー」へのお申込みが必要となります。また、本機能は医療支援クラウドサービス『LOOKREC』を利用するため、『LOOKREC』を提供する株式会社エムネスとの契約が別途必要となります。
※2 画像データを医療機関へ提示する際は、健診機関によって推奨される方法が異なる場合があります。
※3 当社によるインターネット調査にて「【利用意向】健診結果について結果だけではなく、X線やエコーなどの画像データも見られること」に対して「とても良いと思う」30.4%、「まあ良いと思う」38.5%とした回答の合計。
調査時期: 2019年7月4日~7月8日 調査対象:1年以内に健診を受診した18~69歳の男女。有効回答者数:985名
学生を除く、学校健診を除く
※4 Digital Imaging and Communications in Medicineの略。CT、MRI、内視鏡、超音波などの医用画像診断装置、医用画像プリンタ、医用画像システム、医療情報システムなどの間でデジタル画像データや関連する診療データを通信したり、保存したりする方法を定めた国際標準規格を指す。
※5 「検査画像返却機能」を利用できる健診機関では、ご要望に応じて従来の形式での画像返却も対応しております。
※6 Personal Health Record の略で、生涯にわたる個人の保健医療情報(健診(検診)情報、予防接種歴、 薬剤情報、検査結果等診療関連情報及び個人が自ら日々測定するバイタル等)
※CARADAは、株式会社エムティーアイの商標または登録商標です。
※Google Play、Androidは、Google LLC.の商標または登録商標です。
※App Storeは、Apple Inc.のサービスマークです。
※iOS は、米国およびその他の国におけるCisco社の商標または登録商標です。
このプレスリリースには、メディア関係者向けの情報があります
メディアユーザー登録を行うと、企業担当者の連絡先や、イベント・記者会見の情報など様々な特記情報を閲覧できます。※内容はプレスリリースにより異なります。
すべての画像
