ブレインラボが「第52回日本脊椎脊髄病学会学術集会」に出展、脊椎外科デジタル手術用製品ポートフォリオを展示いたします
ブレインラボ株式会社(本社 東京都港区)は、2023年4月13日(木)~15日(土)に札幌コンベンションセンター/札幌市産業振興センターで開催される「第52回日本脊椎脊髄病学会学術集会」に出展します。脊椎外科デジタル手術の製品ポートフォリオとして、新世代ロボティックイメージング装置、手術支援ロボットアーム、脊椎外科手術用AR、手術計画ソフトウェアをご紹介しますので、是非この機会にブースまでお立ち寄りください。
ブレインラボは、臨床ワークフローをデジタル化、自動化、最適化するソフトウェア主導の手術支援技術を開発しています。
ブースでは、脊椎外科デジタル手術の製品ポートフォリオ“Digital Spine Suite”を構成する、以下の製品をご紹介します。
また、パートナー企業様に手術用顕微鏡および手術台の出展協力をいただき、手術室に近いレイアウトで製品実機をご確認いただけますので、皆様のご来場を心よりお待ちしております。
ブレインラボは、脊椎手術に対してデジタル技術を活用する開発ビジョンを持ち、脊椎領域の製品ポートフォリオのコンプリートパッケージとして“Digital Spine Suite”をご提案します。
一連の製品を連動することで、「手術計画、術中画像撮影、手術ナビゲーション、ロボットによる器具動作支援」までシームレスな運用が可能となり、効率性が高く、高精度で安全な手術が行えます。
【可動式術中2D/3Dイメージング装置】
事前に登録した停止位置や撮影位置への自立的移動や、ナビゲーション誘導による2D撮影などのロボティック機能により、効率的な術中ワークフローを実現します。
非アイソセントリックな高解像度の2D/3D CBCT撮影が可能であるとともに、撮影範囲を症例や解剖学的構造に合わせて調整できます。
撮影した画像は、自動レジストレーション機能によりナビゲーションシステムへ即座にデータ転送され、すぐにナビゲーションを開始することができます。
https://prtimes.jp/main/html/rd/p/000000009.000073157.html
【Cirqロボットアームシステム】
脊椎外科・脳神経外科領域に対応する当社製ナビゲーションシステムのアドオンシステムとして、精度の高い手術器具の挿入支援を行います。術者の関与を残した手動制御の7軸電磁駆動アーム部と、自律制御のハンド部で構成されたモジュール構造で、安全で効率的な運用が可能です。
2021年4月の国内初導入後、全国の採用6施設で、様々な手術台や術中イメージング装置との連携実績があります。初導入施設では、Cirqを用いたロボット脊椎手術の椎骨スクリュー挿入本数が3000本を超え、また、各施設では頚椎手術、MIS手術、側弯症手術においてもご活用いただいています。
<対応術中イメージング装置>
術中アンギオ装置、多列術中CT、フラットパネル型3D Cアーム(2社)、リング型コーンビームCT
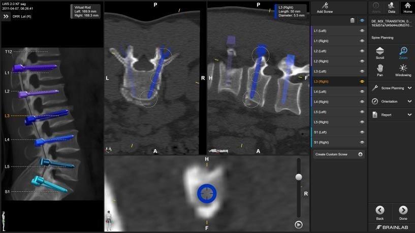
【Spine ARナビゲーション】
【Brainlab Elements】
Brainlab Elementsは、ロボットを用いない通常の手術にも対応するほか、一連のデジタル手術製品と併用することにより、一貫性のあるエンドツーエンドのソリューションを提供します。
製造販売元:ブレインラボ株式会社
販売名:Loop-Xモバイルイメージングシステム (医療機器承認番号:30400BZX00137000)
販売名:Curve ナビゲーションシステム (医療機器承認番号:22400BZX00153000)
販売名:Elements サージカルアドバンス (医療機器認証番号:227AABZX00098000)
【ブレインラボについて】
ドイツ ミュンヘンに本社を置くブレインラボは、ソフトウェアの技術や知識を駆使し、より先端的で非侵襲的な治療を目指した製品の開発に取り組んでいます。
多情報ガイド下の手術ナビゲーションシステム、放射線手術、高精度放射線治療、ORのデジタルインテグレーション、XR技術、知識や情報をビッグデータとして蓄積し活用する基盤の構成を製品開発の重点要件としています。
1989年にドイツ ミュンヘンで株式非公開企業として設立されて以来、ブレインラボのシステムは、世界122か国で6,300以上のご施設に採用頂いています。世界25拠点に2,200名以上の従業員がおり、そのうちの3分の1以上の従業員が製品開発チームの重要部分を担う研究開発エンジニアです。
ソフトウェアを軸とした医療のITをけん引するエンジニア集団企業として、常に最新バージョンのソフトウェアをご利用いただけるよう、"サブスクリプション契約”を導入しております。
また、サポート体制として、ブレインラボ・コネクテッド・ケアを販売しており、ご契約頂いたお客様には、リモートでの技術支援、臨床支援、ソフトウェアインストール、アップグレードを提供しています。
なお、リモートでのサービスを提供するにあたり、ISO27001/ISMS(情報セキュリティマネジメント)システムを取得、サポートエンジニアには社内認定制度にてトレーニングを徹底する等、近年意識が高まりつつある情報セキュリティにおいても、万全な対策を取っています。
ブースでは、脊椎外科デジタル手術の製品ポートフォリオ“Digital Spine Suite”を構成する、以下の製品をご紹介します。
また、パートナー企業様に手術用顕微鏡および手術台の出展協力をいただき、手術室に近いレイアウトで製品実機をご確認いただけますので、皆様のご来場を心よりお待ちしております。
【出展製品】
- 可搬式術中2D/3Dイメージング装置 Loop-X®
- 手術支援ロボットアーム Cirq® ロボットアームシステム
- 脊椎外科手術用AR Spine ARナビゲーション
- 手術計画ソフトウェア Brainlab® Elements
【出展概要】
- 出展期間 : 2023年4月13日(木)~15日(土)
- 出展場所 : 札幌コンベンションセンター1F ブースNo.11
- 学会HP : https://site2.convention.co.jp/jssr2023/
ブレインラボは、脊椎手術に対してデジタル技術を活用する開発ビジョンを持ち、脊椎領域の製品ポートフォリオのコンプリートパッケージとして“Digital Spine Suite”をご提案します。
一連の製品を連動することで、「手術計画、術中画像撮影、手術ナビゲーション、ロボットによる器具動作支援」までシームレスな運用が可能となり、効率性が高く、高精度で安全な手術が行えます。
【可動式術中2D/3Dイメージング装置】

事前に登録した停止位置や撮影位置への自立的移動や、ナビゲーション誘導による2D撮影などのロボティック機能により、効率的な術中ワークフローを実現します。
非アイソセントリックな高解像度の2D/3D CBCT撮影が可能であるとともに、撮影範囲を症例や解剖学的構造に合わせて調整できます。
撮影した画像は、自動レジストレーション機能によりナビゲーションシステムへ即座にデータ転送され、すぐにナビゲーションを開始することができます。
https://prtimes.jp/main/html/rd/p/000000009.000073157.html
【Cirqロボットアームシステム】

脊椎外科・脳神経外科領域に対応する当社製ナビゲーションシステムのアドオンシステムとして、精度の高い手術器具の挿入支援を行います。術者の関与を残した手動制御の7軸電磁駆動アーム部と、自律制御のハンド部で構成されたモジュール構造で、安全で効率的な運用が可能です。
2021年4月の国内初導入後、全国の採用6施設で、様々な手術台や術中イメージング装置との連携実績があります。初導入施設では、Cirqを用いたロボット脊椎手術の椎骨スクリュー挿入本数が3000本を超え、また、各施設では頚椎手術、MIS手術、側弯症手術においてもご活用いただいています。
<対応術中イメージング装置>
術中アンギオ装置、多列術中CT、フラットパネル型3D Cアーム(2社)、リング型コーンビームCT
【Spine ARナビゲーション】

【Brainlab Elements】

特定の症例に特化した複雑な手術計画ワークフローに対し、自動化されたソリューションを提供する手術計画ソフトウェアです。
病変の輪郭描出などの画像処理から手術計画に至るプロセス全体における、高度に限定された個々のタスクを、連携する一連のElementsソフトウェアがカバーし、高精度な手術計画を短時間で作成できます。また、ユーザーのニーズに合わせて必要なソフトウェアのみ選択可能です。Brainlab Elementsは、ロボットを用いない通常の手術にも対応するほか、一連のデジタル手術製品と併用することにより、一貫性のあるエンドツーエンドのソリューションを提供します。
製造販売元:ブレインラボ株式会社
販売名:Loop-Xモバイルイメージングシステム (医療機器承認番号:30400BZX00137000)
販売名:Curve ナビゲーションシステム (医療機器承認番号:22400BZX00153000)
販売名:Elements サージカルアドバンス (医療機器認証番号:227AABZX00098000)
【ブレインラボについて】
ドイツ ミュンヘンに本社を置くブレインラボは、ソフトウェアの技術や知識を駆使し、より先端的で非侵襲的な治療を目指した製品の開発に取り組んでいます。
多情報ガイド下の手術ナビゲーションシステム、放射線手術、高精度放射線治療、ORのデジタルインテグレーション、XR技術、知識や情報をビッグデータとして蓄積し活用する基盤の構成を製品開発の重点要件としています。
1989年にドイツ ミュンヘンで株式非公開企業として設立されて以来、ブレインラボのシステムは、世界122か国で6,300以上のご施設に採用頂いています。世界25拠点に2,200名以上の従業員がおり、そのうちの3分の1以上の従業員が製品開発チームの重要部分を担う研究開発エンジニアです。
ソフトウェアを軸とした医療のITをけん引するエンジニア集団企業として、常に最新バージョンのソフトウェアをご利用いただけるよう、"サブスクリプション契約”を導入しております。
また、サポート体制として、ブレインラボ・コネクテッド・ケアを販売しており、ご契約頂いたお客様には、リモートでの技術支援、臨床支援、ソフトウェアインストール、アップグレードを提供しています。
なお、リモートでのサービスを提供するにあたり、ISO27001/ISMS(情報セキュリティマネジメント)システムを取得、サポートエンジニアには社内認定制度にてトレーニングを徹底する等、近年意識が高まりつつある情報セキュリティにおいても、万全な対策を取っています。
このプレスリリースには、メディア関係者向けの情報があります
メディアユーザーログイン既に登録済みの方はこちら
メディアユーザー登録を行うと、企業担当者の連絡先や、イベント・記者会見の情報など様々な特記情報を閲覧できます。※内容はプレスリリースにより異なります。
すべての画像
