乳癌超音波画像AI診断支援ソフトウェア「スマートオピニオン METIS Eye」の医療機器承認取得
株式会社Smart Opinion(本社:東京都港区、代表取締役社長:山並 憲司)は、乳癌超音波画像AI診断支援ソフトウェア「スマートオピニオン METIS Eye」の製造販売承認(薬事承認)を取得したことをお知らせいたします。深層学習を活用した乳がんエコー検査で撮像するエコー画像を対象にした医療機器プログラムとなります。今後は、2024年夏の販売開始を目指し、準備を進めてまいります。
【スマートオピニオン METIS Eyeの概要】
・一般的名称 超音波装置ワークステーション用プログラム
・販売名 乳癌超音波画像AI診断支援ソフトウェア スマートオピニオン METIS Eye
・承認番号 30600BZX00086000
・分類 管理医療機器(クラスⅡ)
乳がん検診における超音波検査(エコー検査)について
日本では、近年、乳がんの罹患者は急激に増加し、現在は女性の9人に1人が罹ると言われています。40代になると急に罹患率が増えるのが特徴で、女性活躍社会を目指す日本において、対峙すべき大きな社会課題の一つとなっています。
乳がんは、早期に発見できると完治の可能性や生存率が極めて高い疾病ですが、ステージ2以上になると生存率が下がってしまうため、早期発見のための乳がん検診が重要とされています。しかし、日本の乳がん検診率は45%と欧米諸国の70-80%に比べて低く、乳がんによる死亡率は年々上昇しています。


乳がん検診は、触診やマンモグラフィ検査が推奨されていますが、浸潤癌(腫瘤)を検出するにはマンモグラフィ検査よりもエコー検査(超音波検査)の方が優れています。特に若い人に極めて多い高濃度乳腺(デンスブレスト)の場合でも、エコー検査では感度を落とすことなく検査ができるため、4割の自治体が自主的にエコー検査を乳がん検診のメニューの一つとして導入しています。エコー検査はマンモグラフィと異なり「痛くない」というメリットもあり、乳がん検診を受ける女性の約4割がエコー検査を行っているという統計もあるほど、エコー検査は乳がん検診の主要な検査方法の一つとなっています。
一方、エコー検査は、検査担当者の技量により精度のばらつきが生じてしまう点が課題とされてきました。乳がん検診の精度管理は、日本乳がん検診精度管理中央機構(精中機構)が中心に行なわれていますが、学会でAIを活用した乳がん診断のシンポジウムが多数開催されるなど、AIを活用した精度向上が期待されています。

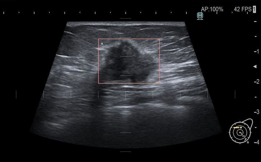
乳がんの精密検査の要否が疑われる所見を検出する感度が94.4%の医療機器プログラム
本プログラムは、慶應義塾大学病院との共同研究を通じて開発した技術をベースに、医師の読影を補助し、見落とし防止を支援することを目的に開発しました。
乳がん検診は精密検査を行うべき症例か否かを判断する場であることから、本プログラムは、精密検査の必要性が疑われる病変候補部位と、当該病変候補部位を国際的な基準であるBI-RADSカテゴリー分類に基づき判定し、精密検査の必要性の有無を検出します。
精密検査の必要性が疑われる所見の検出感度は94.4%であり、また、医師単独で読影した場合の正診率69.3%と比べて、本プログラムを用いて読影した場合は感度73.1%となり、有意な読影精度の向上が認められました。[1]
医療用画像管理システム(PACS)と連動して使用する場合は、撮影した画像を本プログラムがシームレスに解析し、その結果をPACSに保存します。医師は、これまでの検診フローを変えることなく、本プログラムによる解析結果をPACSのビューワーで確認しながらセカンドリードでき、より丁寧な読影を行うことができます。検診を受ける方には、追加の検査負担が無く、より高精度な検診が受けられる環境を提供することを目指しております。
[1]医師24名を対象にした乳房超音波画像50枚の読影導入評価試験結果の平均値。
医師24名:乳腺専門医(4名)、非専門医(乳房超音波画像の診断経験40症例以上)(5名)、非専門医(乳房超音波画像の診断経験40症例未満)(15名)

慶應義塾大学病院 ブレストセンター長 林田 哲医師のコメント
日本乳癌学会が認定する乳腺専門医は2024年4月の段階で2,038名が登録されていますが、増加する一方の乳がん患者数に対して十分な医師数ではありません。そのため、診断の入り口となる乳がん検診施設において専門医が常駐するケースは少なく、診断精度をいかに確保するかが重要な課題です。
専門医を凌駕する診断精度を持つAIを活用することで、施設間や地域間での格差が解消され、均てん化が成し遂げられれば、本邦の予防医療に大きく貢献することが期待されます。また、AIによるスクリーニング精度の向上により、保険診療における不必要な精密検査の数が減少することで、医療財源の改善についても見込まれると考えます。
政府のAI医療機器プログラムへの期待
政府は、医療機器プログラム(SaMD)の実用化に関し我が国における開発の立ち遅れ(いわゆるSaMDラグ)を解消し、先端医療機器等の開発・導入並びにその産業化において、日本が世界をリードできるよう、AIを活用した画像診断支援プログラムの開発を支援しています。
Smart Opinionが目指す世界
日本は、2035年に「健康先進国」になり、「自ら最適な医療の選択に参加・協働する」社会を目指しています。Smart Opinionは、ITやディープテックを活用し、医療機関や医師ごとの技術や能力の多様性を患者が理解でき、自分に適したサービスを見出して、選択できる環境を提供することで、自らの健康を担保できる社会の実現に貢献してまいります。
関連URL:厚生労働省「低い日本の受診率」https://www.gankenshin50.mhlw.go.jp/campaign_2022/outline/low.html
関連URL:乳がんのファーストオピニオン「乳腺エコーがまるごとわかる 」https://firstopi.jp/screening/echo_all/
関連URL:乳がんのファーストオピニオン「生存率 」https://firstopi.jp/glossary/survival_rate/
関連URL:乳がんのファーストオピニオン「デンスブレスト 」https://firstopi.jp/glossary/dense_breast/
関連URL:BI-RADSカテゴリー分類 https://firstopi.jp/screening/risky_result/risky_result_drhayashida/
関連URL:慶應義塾大学医学部のプレス発表 https://www.keio.ac.jp/ja/press-releases/2022/8/30/28-126515/
関連URL:厚生労働省「俯瞰図に基づくAI開発促進のための工程表」 https://www.mhlw.go.jp/content/10601000/001055939.pdf
株式会社Smart Opinionについて
株式会社フィックスターズ(東証プライム:3687)とプロディジーメディカル株式会社との合弁会社として、2019年10月に設立された株式会社Smart Opinionは、ディープテックを活用した患者中心の医療DXに挑戦しています。AIを活用したデジタルヘルスで、女性の健康増進を応援しています。
https://www.smartopi.com/
報道関係のお問い合わせ
株式会社Smart Opinion 広報担当
Email: contact@smartopi.com
Tel: 03-6420-0762
すべての画像
