蒸し大豆の継続摂取は、運動不足気味の健常人に対して筋量および筋力を向上させることを証明
-日本栄養食糧学会の英文誌「Journal of Nutritional Science and Vitaminology」で発表-
フジッコ株式会社(本社:神戸市中央区/代表取締役社長執行役員:福井正一)は、徳島大学大学院医歯薬学研究部 生体栄養学分野 教授 二川 健先生との共同研究により、蒸し大豆の継続摂取が運動不足気味の健常人に対して、弱いながらも筋力増強に寄与することが明らかになりました。この研究成果は、日本栄養食糧学会の英文誌「Journal of Nutritional Science and Vitaminology」(68巻6号/2022年12月号)に掲載されました。

高齢者や寝たきりの方の骨格筋量や骨格筋機能を維持するために、たんぱく質を補給する様々な食品が利用されています。良質なたんぱく質には同化促進作用があり、筋力や筋パフォーマンスを向上させるのに役立ちます。徳島大学大学院医歯薬学研究部ではこれまでに、大豆のたんぱく質が、寝たきりの患者さんの筋量と筋力を増加させるという研究結果を得ていました。
本研究では、運動不足気味のタクシードライバーを対象に、大豆摂取が筋機能に及ぼす影響について検証しました。ほとんど運動を行っていない36~71歳の健康な男性タクシードライバー25名を対象とした症例対照研究を実施しました。対象を、毎日の食事(夕食)とともに蒸し大豆50 g(フジッコ社製)を30日間摂取してもらう大豆食群(n = 13)と、大豆を摂取しないコントロール群(n = 12)の2群に分け、大豆摂取前と摂取開始30日後の両群の筋断面積と筋力・筋機能を測定しました。その結果、両食事群の体重の推移には有意な差は認められませんでしたが、大豆食群における30日間摂取後の筋断面積と握力は、コントロール群と比較して有意に高い値を示しました。以上の結果から、大豆摂取は、運動不足のタクシードライバーの筋機能を向上させることが示されました。
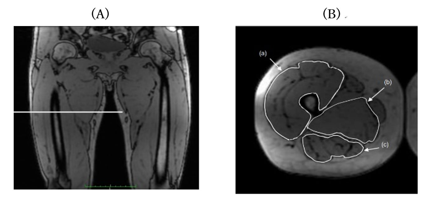
■磁気共鳴画像(MRI)(図1)

(A)大腿部の両側冠状断磁気共鳴画像。白線は右大腿部の断面撮影ポイントを示しています。
(B)右大腿部の断面画像上における筋群の分割。(a) (b) (c)はそれぞれ大腿四頭筋、内転筋、ハムストリングスを示しています。
■大豆摂取が筋肉断面積に及ぼす影響(図2)

食事介入期間の前後でMRI検査を行い、大腿四頭筋断面積の変化量を算出しました。値は平均値±SEMで表しています。* は有意水準(P =0.05)を示しています。
MRI検査の結果、大豆食群ではコントロール群と比較して、大腿四頭筋断面積が有意に高かったことが示されました。コントロール群では、大腿四頭筋断面積が減少(-1.43 cm2)していました。
一方、大豆食群では筋量の減少はみられず、1ヵ月の大豆摂取期間後、大腿四頭筋断面積は0.12 cm2増加していました。
■大豆摂取が垂直跳びに及ぼす影響(図3)

食事介入期間の前後で垂直跳びテストを行い、最も高いジャンプ得点のみを記録・報告しました。値は平均値±SEMで表しています。
跳躍テストの結果、大豆食群では、コントロール群と比較して、跳躍力が向上する傾向がみられました。しかし、大豆食群とコントロール群の跳躍テストの結果に統計的な有意差は認められませんでした(p = 0.181)。
■大豆摂取が握力に及ぼす影響(図4)

食事介入期間の前後で握力を測定し、握力の変化量を算出しました。値は平均値±SEMで表しています。* は有意水準(P = 0.05)を示しています。
大豆食群でみられた大豆摂取に伴う筋断面積の増加と一致して、大豆食群はコントロール群と比較して握力も増加させました。大豆食群における握力の増加量は、コントロール群の2倍以上でした。この結果は、大豆摂取が筋力を向上させ、寝たきりに近い状態などによる筋力低下を抑制することを示唆しています。
■筋断面積の変化量と跳躍力の相関性(図5)

グラフは、大豆食群とコントロール群における筋断面積の変化量と跳躍力の相関について解析しました。
その結果、大腿四頭筋断面積の変化量と跳躍力の変化量との間には、弱いながらも正の相関関係が観察されました。相関グラフ上において、大豆食群のデータは、コントロール群と比較して、低値領域から高値領域へと移行していることが示されました。
筋断面積を表す点や領域はグラフの負の値の領域にありますが、垂直跳びの高さを表す点や領域は徐々に正の値の領域に移行しており、大腿四頭筋断面積の増加に伴って跳躍力が徐々に向上していることがわかります。これらの結果から、大豆摂取は筋量を増加させ、筋力および筋機能に好影響を与えることが示唆されました。
■結果・考察
本臨床試験では、健康な男性タクシードライバーを対象に、蒸し大豆の摂取が筋量、筋力、および筋パフォーマンスに有益な影響を及ぼすかどうかを検討しました。その結果、大豆食を1ヵ月間毎日摂取することで、運動不足のタクシードライバーの骨格筋量と筋力が増加することが確認されました。我々の知る限り、本研究は、大豆の摂取が運動不足の健常人の筋機能に及ぼす有益な効果について報告した最初の研究です。
結論として、大豆の摂取は、座業従事者、あるいは運動量が極めて少ない健常人の筋肉の機能とパフォーマンスを向上させることが示されました。さらに、大豆摂取が筋量にプラスの影響を及ぼすことが、大豆食群における筋断面積の増加によって確認されました。今後は、大豆の筋肉の発達と機能に対する効果の機序を明らかにするために、より多くの被験者とより長期の大豆摂取期間による試験を行う必要があると考えられます。
- 臨床試験 概要

- 発表の詳細
発表日:2022年12月31日(68巻6号/2022年12月号)
内容: 蒸し大豆食品の継続摂食は運動不足の健常人の筋量および筋力を向上させる
URL: J-STAGE
https://www.jstage.jst.go.jp/article/jnsv/68/6/68_521/_article/-char/en
- 臨床実験実施
2. 徳島大学 医学部 保健学科 放射線技術科学専攻:大石 あかね、平山 楓子、竹村 祐馬
3. 徳島大学大学院医歯薬学研究部 医用画像解析学分野:髙尾 正一郎
4. 徳島大学大学院医歯薬学研究部 医用画像情報科学分野:金澤 裕樹、松元 友暉
5. 徳島大学大学院医歯薬学研究部 放射線医学分野:原田 雅史
6. フジッコ株式会社 イノベーションセンター:鈴木 利雄
徳島大学大学院医歯薬学研究部 生体栄養学分野 教授 二川 健(にかわ たけし)

1987年、徳島大学医学部卒業。同大学の医学部基礎系医員。
独デュッセルドルフ大学医学部研究員等を経て、
現在は徳島大学大学院医歯薬学研究部生体栄養学分野教授と
宇宙食品産業・栄養学研究センター(宇宙栄養研究センター)のセンター長を併任。
無重力化での問題を緩和する機能性宇宙食の研究を、高齢化社会にも役立てることを提唱。
このプレスリリースには、メディア関係者向けの情報があります
メディアユーザーログイン既に登録済みの方はこちら
メディアユーザー登録を行うと、企業担当者の連絡先や、イベント・記者会見の情報など様々な特記情報を閲覧できます。※内容はプレスリリースにより異なります。
すべての画像
- 種類
- その他
- ビジネスカテゴリ
- 食品・お菓子フィットネス・ヘルスケア
- ダウンロード
