胸部X線画像の読影診断を支援するEIRL Chest Screening、肺結節候補域の検出と5つの計測機能を有する新モデルとして販売開始
エルピクセル株式会社(本社:東京都千代田区、代表取締役:鎌田富久、島原佑基、以下「エルピクセル 」)は、胸部X線画像から肺がんが疑われる肺結節候補域の検出機能に加えて、5つの計測機能を有する EIRL Chest Screeningの販売を開始いたしました。本製品は、2020年8月に販売開始した肺結節候補域を検出するEIRL Chest Nodule(1)に、胸腔内の空気含有面積計測機能に加え、新たに4つの機能を追加した EIRL Chest Metry(2)を付加し、全ての機能を一つのソフトウェアとして利用できる新モデルとしてリニューアルいたしました。医師が読影診断に用いる医用画像管理システムやモニター等で、肺結節候補域の検出に加え、胸腔内の空気含有面積・肋骨横隔膜角・心胸郭比・縦隔幅・大動脈弓径の自動計測機能を併用することが可能となります。
なお、肋骨横隔膜角・心胸郭比・縦隔幅・大動脈弓の径の自動計測機能は、「医薬品、医療機器等の品質、有効性及び安全性の確保等に関する法律(医薬品医療機器等法)」に基づき、2021年12月15日に指定管理医療機器の製造販売認証を取得いたしました。
なお、肋骨横隔膜角・心胸郭比・縦隔幅・大動脈弓の径の自動計測機能は、「医薬品、医療機器等の品質、有効性及び安全性の確保等に関する法律(医薬品医療機器等法)」に基づき、2021年12月15日に指定管理医療機器の製造販売認証を取得いたしました。

【 EIRL Chest Screening について】
EIRL Chest Screening は、胸部X線画像から肺結節候補域を検出するEIRL Chest Noduleと、胸腔内の空気含有面積・肋骨横隔膜角・心胸郭比・縦隔幅・大動脈弓径を自動計測するEIRL Chest Metryの2つのソフトウェアを統合した新たな製品です。
2020年8月に販売開始したEIRL Chest Noduleは、これまで80以上の健診施設や総合病院、クリニック等、幅広い医療施設に導入されてまいりました(2022年1月末時点)。健診施設では、多い日には1日500件以上の胸部X線検査が行われ、医師は1件の胸部X検査につき、数十を超える所見(3)に関して読影診断を行います。エルピクセルでは、こうした医師のワークフローを阻害することなく、読影診断における物理的・心理的負担を軽減することを目指し、性能改善だけでなく機能拡充に取り組み、この度のEIRL Chest Screening発売に至りました。
本製品は、2022年2月より、既にEIRLシリーズを導入されている医療施設をはじめ、各医療機関で既に導入しているPACS(医用画像管理システム)やモダリティに接続いただくことで、ご利用開始いただけます。
- EIRL Chest Nodule に関するプレスリリース
- 胸部X線画像から「肺がん」が疑われる肺結節候補域を検出する、医用画像解析ソフトウェア EIRL Chest Noduleを発売(https://lpixel.net/news/press-release/2020/10089/)
- 胸部X線画像から「肺がん」が疑われる肺結節候補域を検出する 医用画像解析ソフトウェア EIRL Chest Nodule、 検出感度の向上および経時的変化の表示機能を追加した新モデルをリリース(https://lpixel.net/news/press-release/2021/10412/)
- EIRL Chest Metryに関するプレスリリース
- 胸部X線画像から胸腔内の空気含有面積を計測するEIRL Chest Metry、 医療機器製造販売認証を取得(https://lpixel.net/news/press-release/2020/10121/)
【新たに追加された4つの機能】
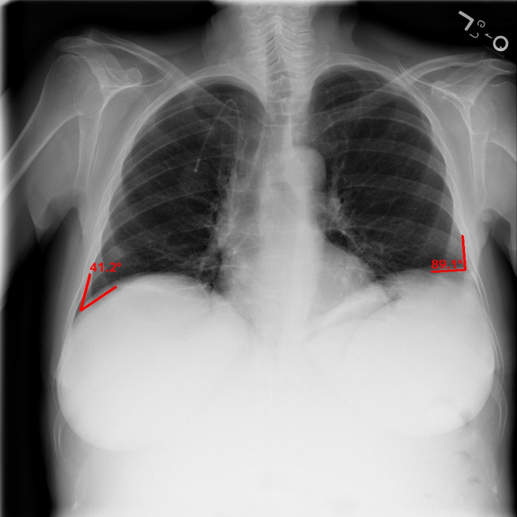
① 肋骨横隔膜角の計測

肺野境界の点のうち横隔膜と肋骨が交差する点とその点から一定の距離にある肺野境界線上の2点とのなす角[°]の計測を行い、計測結果が基準値を超えた場合に表示します。
(左はEIRL Chest Screeningによる肋骨横隔膜角の計測結果の表示例)
<助骨横隔膜の鈍化について>
通常、肺と横隔膜が形成する角は鋭角ですが、鈍化してくる場合があります。これは、胸部に通常存在しない水がたまった状態である「胸水」の所見として、心不全、腎不全、胸膜炎などが疑われます(4)。
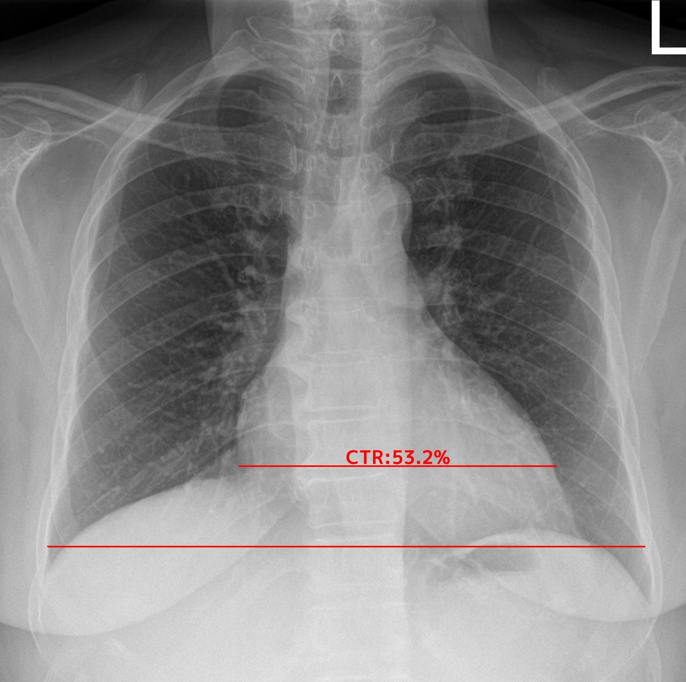
② 心胸郭比(CTR:Cardio-Thoracic Ratio)の計測

肺野の最大幅に対する心臓の最大幅の比[%]を算出し、計測結果が基準値を超えた場合に表示します。
(左はEIRL Chest Screeningによる心胸郭比の計測結果の表示例)
<心胸郭比の拡大について>
心胸郭比は、胸部X線画像での心臓の幅と胸郭の幅の比率です。心陰影の拡大が見られる場合には心不全が疑われ、特に救急現場における心不全の診断に、胸部X線画像は有用であると言われています(5)。
③ 縦隔幅の計測

①大動脈弓上端から下端までの縦隔の最大幅[mm]、②大動脈弓上端より上の縦隔の最大幅[mm]、③大動脈弓下端より下から大動脈弓の高さ分の区間の縦隔の最大幅[mm]を計測し、計測結果が基準値を超えた場合に①~③のいずれか1つを表示します。
(左はEIRL Chest Screeningによる縦隔幅の計測結果の表示例)
<縦隔幅の拡大について>
縦隔陰影の幅の拡大が見られる場合、大動脈瘤、大動脈解離、縦隔腫瘍などが疑われます(6)。また、胸部X線画像では、大動脈解離に合併する胸水や心不全などの二次的所見を評価することができます(7)。
④ 大動脈弓の径の計測

大動脈弓の横幅[mm]を計測します。縦隔幅の計測結果が表示されておらず、かつ径の計測結果が基準値を超えた場合に表示します。
(左はEIRL Chest Screeningによる大動脈弓の径の計測結果の表示例)
<大動脈径の拡張について>
大動脈径の拡張が見られる場合、大動脈弁閉鎖不全、大動脈瘤などが疑われます(8)。大動脈瘤は拡大・破裂に至るまでに時間があることから、破裂前の発見・治療のため、胸部X線検査等によるスクリーニングが重要です。
(1)販売名:医用画像解析ソフトウェア EIRL X-Ray Lung nodule 承認番号:30200BZX00269000
(2)販売名:医用画像解析ソフトウェア EIRL Chest Metry 認証番号:302AGBZX00101000
(3)日本人間ドック学会「胸部X線」https://www.ningen-dock.jp/public/inspection/chest-x
(4)同上
(5)日本循環器学会「急性・慢性心不全診療ガイドライン(2017年改訂版)」https://www.j-circ.or.jp/cms/wp-content/uploads/2017/06/JCS2017_tsutsui_h.pdf
(6)日本人間ドック学会、前掲
(7)日本循環器学会 / 日本心臓血管外科学会 / 日本胸部外科学会 / 日本血管外科学会合同ガイドライン「2020 年改訂版 大動脈瘤・大動脈解離診療ガイドライン」https://www.j-circ.or.jp/cms/wp-content/uploads/2020/07/JCS2020_Ogino.pdf
(8)日本人間ドック学会、前掲
【製品に関するお問い合わせ】
エルピクセル株式会社 EIRL事業本部
TEL:03-6259-1713
Mail:eirl-cs@lpixel.net
URL:https://marketing.eirl.ai/ja/contact/
【AI画像診断支援技術について】
高度化するモダリティとともに、医療画像診断の作業は膨大化しています。AIを活用した独自のアルゴリズムによって、脳MRI、胸部X線などの医療画像情報を解析し、効率的で、正確な診断が出来る環境の提供を目指します。
EIRLプロダクトサイト(医療従事者向け):https://eirl.ai/ja/
【エルピクセル株式会社について】
エルピクセル株式会社は、ライフサイエンス領域の画像解析に強みを持ち、医療・製薬・農業分野において画像解析技術、とりわけ人工知能技術を応用することで、高精度のソフトウエアを開発してまいりました。医師の診断を支援するAI画像診断支援技術「EIRL(エイル)」、創薬に特化した画像解析AI「IMACEL(イマセル)」を軸に事業を展開しています。
https://lpixel.net/
このプレスリリースには、メディア関係者向けの情報があります
メディアユーザーログイン既に登録済みの方はこちら
メディアユーザー登録を行うと、企業担当者の連絡先や、イベント・記者会見の情報など様々な特記情報を閲覧できます。※内容はプレスリリースにより異なります。
すべての画像
