GEヘルスケア・ジャパン 汎用超音波画像診断装置“LOGIQ Fortis”の販売を開始 ― よりスピーディで精密な診断をアシストするモバイルcSound ―
医療課題の解決に取り組むヘルスケアカンパニー、GEヘルスケア・ジャパン株式会社(本社:東京都日野市、代表取締役社長兼CEO:多田荘一郎)は、汎用超音波画像診断装置“LOGIQ”シリーズの最新モデル「LOGIQ Fortis」(ロジック フォルティス)の販売を開始しました。「LOGIQ Fortis」は、フラグシップモデルであるLOGIQ E10シリーズが開発をリードするcSound技術をコンパクトに凝縮し、日本のお客様のニーズに対応するために画質、機能、デザインを突きつめた新製品です。
LOGIQ Fortis
製品特長
■迷いのない診断をアシストする高画質
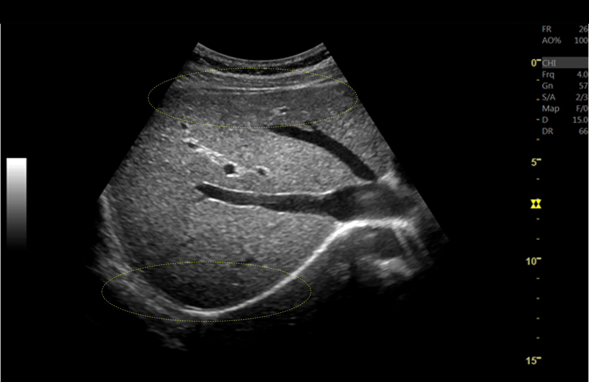
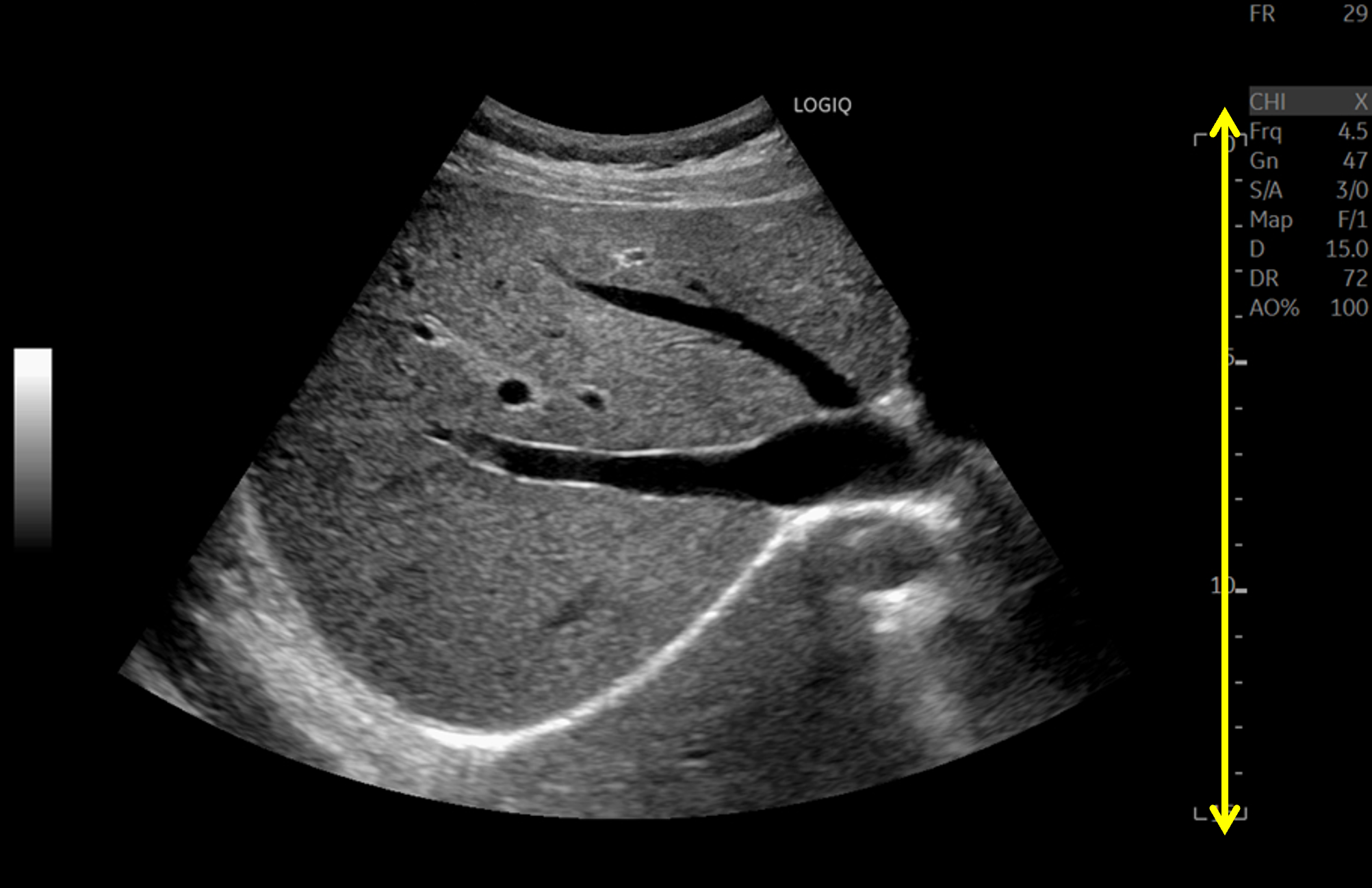
LOGIQ Fortisには、フラグシップモデルのLOGIQ E10シリーズと同じcSound Imageformer*1)が搭載されており、近位部から深部に至るまで均一なイメージを提供するために全視野・全深度フルフォーカスを実現しています。
XDclearプローブ*2)は単結晶の振動子を用いることに加え、Acoustic Amplifier技術により損失していたエネルギーの効率的な利用を可能とし、Cool Stack技術により熱損失を低減することで深部感度と分解能を最大化するために日本で開発されたプローブです。帯域幅の拡大により、従来2本のプローブを必要としていた周波数帯域を1本でカバーできるため、多忙な日常診療の中でも、精査・治療までの的確な判断をスピーディに下せるようにサポートします。さらに、超高周波24MHzリニアプローブを採用し、近年要望が増えている皮膚科・整形領域においても高分解能かつ高感度な血流評価により正確な診断をサポートします。
*1)cSound Imageformer


| 従来装置ではフォーカス近傍が明瞭に描出されているが、フォーカス以外の部分は明瞭に描出できておらず、関心領域に応じてフォーカスの位置を適宜変更する必要がある。LOGIQ Fortisでは、フルフォーカスにより浅部も深部も明瞭に描出され、フレームレートも高い。 |
*2)XDclearプローブ

腹部や心臓から、血管、表在まで、様々な領域において誰もがシンプルに使いこなせることを目指した数々の先進アプリケーションを搭載しています。特にUGAPは、超音波信号の減衰量から減衰係数(AC)を推定し、Attenuation MAP(減衰マップ)を表示します。自動計測アルゴリズムとQuality indicator(クオリティマップ)の採用により,安定したデータ収集が可能です。
cSoundの高画質と相まって、誰もが使いこなせる先進技術を目指し、様々な機能をより使いやすく進化をさせました。
■使い勝手が良く、カスタマイズが可能、ワークフローの効率化
誰もが手に取りやすく、使いやすいデザインを追求し操作パネルを一新しました*3)。また、LOGIQ Fortisをご施設の使用用途に合わせ、検査中によくご使用いただくタッチパネルのカスタマイズができます。
作業関連運動器障害(Work-Related Musculoskeletal Disorders; WRMSD)はエコー検査においても古くから重要な問題と言われております。LOGIQ Fortisの開発時にエコー検査者の作業姿勢について研究を行い、WRMSDのリスクが高い下肢検査と心エコー検査の体勢の改善を目的としてデザインされました。
検査者の負担を軽減するエルゴノミクスを意識したデザインとして、世界三大デザイン賞の1つと呼ばれているIF Design Award 2022を受賞しました。
*3)LOGIQ Fortis 操作パネル&スーパーローポジション


| 直感的に使用しやすい操作性を実現するために操作パネルを一新しました。スーパーローポジションは、下肢検査においても体の負担を軽減するために設計されたエルゴノミクスデザインです。 |
■その他、本資料に記載された装置の製品名/薬事販売名/医療機器認証番号は以下の通り:
製品名: 汎用超音波画像診断装置 LOGIQ E10s
医療機器認証番号: 302ACBZX00003000
発売日: 2022年2月25日(金)
初年度国内販売目標: 500台
メーカー小売希望価格:92,000,000円
※LOGIQ Fortisは汎用超音波画像診断装置LOGIQ E10sの類型です。
※Fortisは、ゼネラル・エレクトリック社の登録商標です。
※LOGIQ は、ゼネラル・エレクトリック社の登録商標です。
販売名称:C1-6-Dプローブ 医療機器承認/認証番号:224ABBZX00168000
販売名称:C2-9-Dプローブ 医療機器承認/認証番号:224ABBZX00142000
販売名称:M5Sc-Dプローブ 医療機器承認/認証番号:225ABBZX00120000
販売名称:L6-24-Dプローブ 医療機器承認/認証番号:302ABBZX00005000
GEヘルスケア・ジャパンの超音波画像診断装置
当社の超音波画像診断装置は、現在、汎用の「LOGIQ(ロジック)」、循環器用の「Vivid(ヴィヴィッド)」、産婦人科用の「Voluson(ボルソン)」、各診療科の特定ニーズに対応する「Venue(べニュー)」、開業医向け「Versana(ベルサナ)」、乳房用「Invenia ABUS(インべニアエイバス)」、ならびに2010年10月に発売したポケットサイズの「Vscan(ヴィースキャン)」の7ブランド体制で、エントリーモデルからプレミアムハイエンド機まで、医療機器のニーズに応えるために、きめ細やかにチューニングされた製品を世に送り出しています。
また、VenueシリーズやVscanなどバッテリー駆動の可動性と簡便性、高い機能性を誇る装置を通じて、在宅・災害医療時や、麻酔科や整形外科、リウマチ科などこれまで超音波画像診断装置の使用頻度が低かった分野における新たな利用機会の創出を積極的に進めています。
これらの取り組みを通じて、全てのブランドにおいて幅広い製品の投与ならびにサービスの充実を進めることで、優れた医療ソリューションの提供を図り、「人にやさしい、社会にやさしい」医療の実現に貢献することを目指します。
GEヘルスケア・ジャパンについて
GEヘルスケア・ジャパン株式会社は、GEヘルスケアの中核拠点の1つとして1982年に創設されました。予防から診断、治療、経過観察・予後管理までをカバーする「プレシジョン・ヘルス」の実現を目指し、インテリジェント機器やデータ分析、ソフトウェア、サービス等を提供しています。国内に研究・開発、製造から販売、サービス部門までを持ち、日本のお客様のニーズにお応えしつつ、日本が直面する医療課題の解決に取り組んでいます。日本における社員数は約1,700名、本社および約60カ所の事業拠点があります。
詳細はホームページwww.gehealthcare.co.jpをご覧ください。
JB05504JA
このプレスリリースには、メディア関係者向けの情報があります
メディアユーザーログイン既に登録済みの方はこちら
メディアユーザー登録を行うと、企業担当者の連絡先や、イベント・記者会見の情報など様々な特記情報を閲覧できます。※内容はプレスリリースにより異なります。
すべての画像
