ストラタシス、シーメンスヘルスケア社と提携し、医療画像の高度化を目指す画期的な研究プロジェクトに着手
本プレスリリースの正式⾔語は英語であり、その内容・解釈については英語が優先します。
https://www.businesswire.com/news/home/20231127909976/en/
3Dプリンタを使用すれば、医師が実際のシナリオで練習したり相談したりできる3Dモデルにより、治療成績が向上する可能性をもたらす。(写真:Business Wire)
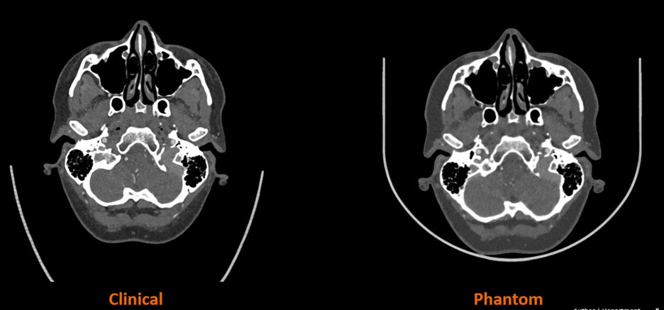
CTファントムとは、CTスキャナーの性能を評価・確認するために使用される特殊な装置です。人体の特定の特性をシミュレーションするように設計されており、放射線量や画質など、さまざまな中核的指標の評価を可能にします。また、キャリブレーションをサポートすることで、一貫したスキャナー性能を確保します。今回の共同開発では、ストラタシスのPolyJet™テクノロジーと独自のRadioMatrix™テクノロジーを組み合わせ、シーメンスヘルスケア社の高度なアルゴリズムを使って、スキャンした患者画像を人体構造の放射線透過性を持つ特定の材料特性に変換します。このソリューションにより、オーダーメイドのファントム製造が可能になり、これまで不可能であった患者固有の病態の完全なX線透視精度を備えた、超リアルな人体解剖学的特性の造形が可能になります。
この共同プロジェクトは、医療分野におけるファントムの活用方法を変革し、場合によっては、医療機器メーカーや学術施設が、人間の遺体を使用せずに3Dプリンタの造形物に置き換えることさえ可能にします。この能力で、重要な効率化が可能になり、避けられない人間のばらつきを最小限に抑えることができます。また、この研究は、重要な研究データを生み出し、CTシステムのアルゴリズムを進歩させ、材料開発を促進し、潜在的な新しい応用分野を解き明かすための重要な洞察だけでなく、将来の研究機会を提供します。
ストラタシスの医療担当VPである Erez Ben Zvi は、次のように述べています。「現在の画像ファントムの限界は、放射線学コミュニティにとって長年の課題でした。シーメンスヘルスケアとの提携により、当社の放射線不透過性材料と3Dプリンタの造形技術が持つ大きな可能性を共同で探求し、これらの障壁を克服することが可能になります。」

この研究では、頭頸部領域の小規模な解剖学的構造ファントムの3D造形に始まり、徐々に大規模で複雑な解剖学的構造の3D造形が行われ、フェーズ1の評価項目である、心臓モデルや人間の胴体全体を完全なX線透視精度で3D造形するところまで到達する予定です。
「このプロジェクトで得られた知識は、3Dプリンタの造形とイメージングに関して、新たな用途の道を開く医療用イメージングのブレークスルーを提供します。このパートナーシップの結果、私たちの前に広がる可能性に興奮しており、医療および学術用途に長期的な影響をもたらすと確信しています。」
ストラタシスについて
ストラタシスは航空宇宙、⾞載、コンシューマ製品、ヘルスケアなどの産業向けの⾰新的な3Dプリンティング・ソリューションを提供し、アディティブ・マニュファクチャリングへのグローバルな移⾏をリードしています。スマートなコネクテッド3Dプリンタ、ポリマー材料、ソフトウェア・エコシステム、オンデマンド・パーツ造形サービスを通じて、ストラタシスのソリューションは、製品バリューチェーンの各ステージで競争⾯での優位性を提供します。世界をリードする企業や組織がストラタシスのソリューションを活⽤し、製品設計のトランスフォーメーション、製造やサプライチェーンの迅速化、患者ケアの向上を実現しています。
ストラタシス・ジャパンはStratasys Ltd.の⽇本⼦会社で、ストラタシスが製造する3Dプリンタおよび3Dプリンタ材料の販売やパーツ造形サービス(DFP)の提供を⾏っています。本社は東京都中央区で、⼤阪に⽀店があります。 ストラタシスの詳細については、https://www.stratasys.co.jp/、ストラタシスのブログ(https://www.stratasys.com/explore)、X/(https://twitter.com/stratasys)、LinkedIn(https://www.linkedin.com/company/stratasys/)、Facebook(https://www.facebook.com/stratasysJP/)をご覧ください。ストラタシスは、SECのレギュレーションFDに基づき、当社のウェブサイトを含む前述のいずれかのソーシャルメディア・プラットフォームを利⽤して、重要な⾮公開情報を共有する権利を留保します。ストラタシスは、適⽤される法律で必要かつ義務付けられている範囲において、かかる情報を当社の開⽰書類に含めることもあります。
このプレスリリースには、メディア関係者向けの情報があります
メディアユーザー登録を行うと、企業担当者の連絡先や、イベント・記者会見の情報など様々な特記情報を閲覧できます。※内容はプレスリリースにより異なります。
すべての画像
- 種類
- 商品サービス
- ビジネスカテゴリ
- パソコン・周辺機器アプリケーション・セキュリティ
- ダウンロード
