メドメイン、免疫組織化学標本のKi-67陽性細胞率を自動計測するAIを開発~ Diagnosticsに論文が掲載 ~
デジタル病理支援ソリューション「PidPort」を提供するメドメイン株式会社(本社:福岡県福岡市、代表取締役CEO:飯塚 統、以下「メドメイン」)は、Ki-67タンパク質の免疫組織化学デジタル標本において、Ki-67陽性細胞を検出し、陽性細胞率(Labeling Index)を自動計測するAIの開発に成功いたしました。
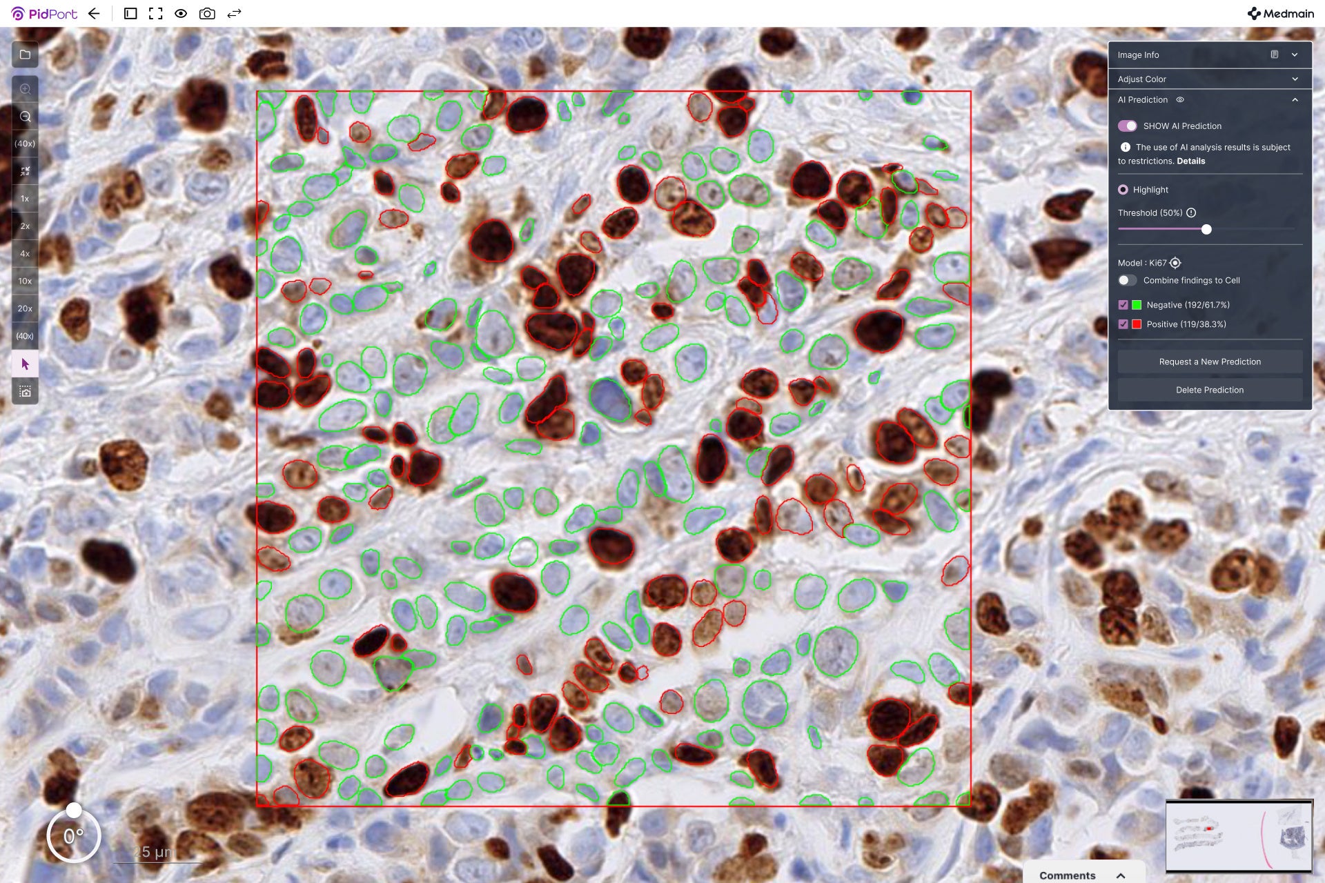
本研究では、Whole-Slide Image(WSI)上で細胞核の検出および細胞レベルでの分類を行うことで、Ki-67陽性細胞と陰性細胞を自動的に識別し、陽性細胞率を算出するAIモデルを開発しました。開発したAIモデルは高い分類性能を示し、病理医による評価結果とも高い相関が確認されました。
本研究内容が、MDPI(https://www.mdpi.com)が発行するDiagnosticsに掲載されたことをお知らせいたします。
論文URL:https://www.mdpi.com/3765504

■本研究成果の概要
免疫組織化学デジタル標本において、Ki-67陽性細胞を検出し、陽性細胞率(Labeling Index)を自動計測するAIの開発に成功いたしました。
■本研究の背景
細胞増殖マーカーのひとつであるKi-67タンパク質(MKI67)は、細胞増殖を行っている全ての細胞周期(G1期、S期、G2期、M期)で発現が認められる一方で、細胞増殖を行っていない静止期(G0期)では発現が認められません。Ki-67は細胞核に特徴的な発現を示すため、通常、免疫組織化学染色(Immunohistochemistry:IHC)を用いて発現局在を可視化し評価されます。
Ki-67免疫組織化学は、腫瘍の増殖能を評価する重要な指標として病理診断において広く用いられており、陽性細胞率(標識率)はLabeling Index(LI)として評価されます。LIが高い症例ほど腫瘍の増殖が速いことを示し、乳癌や脳腫瘍、軟部腫瘍、神経内分泌腫瘍など様々な腫瘍において悪性度や予後予測のマーカーとして日常診療で利用されています。
例えば乳癌においては、浸潤癌細胞におけるKi-67陽性細胞率を計測することが求められており、少なくとも500〜1000個程度の細胞をカウントする必要があります。従来は手動カウンターなどを用いて病理医が計測する方法が一般的ですが、計測には時間と労力を要するため、客観的かつ効率的に計測できるソフトウェアの開発が求められていました。
このような背景から、本研究ではKi-67免疫組織化学デジタル標本において、Ki-67陽性細胞を検出し、陽性細胞率を自動計測するAIモデルの開発を行いました。
■本研究の内容
国内の医療施設から提供を受けた、乳がんを含めた様々な癌腫の組み合わせからなる320枚のKi-67免疫組織化学染色標本をデジタル化し(WSI: Whole-Slide Image)、Ki-67陽性細胞および陰性細胞について病理医によるアノテーションを行い、教師データを作成しました 。
開発したAIモデルでは、まず細胞核の検出(Cell detection)を行った後、教師データを用いて学習させた細胞分類モデルにより陽性細胞および陰性細胞を識別(Cell classification)します。これにより、Ki-67陽性細胞および陰性細胞の数を自動的にカウントし、陽性細胞率(Labeling Index)を算出するアルゴリズムを開発しました。
また、本AIモデルでは、病理医がWhole-Slide Image上で関心領域(ROI: Region of Interest)を指定することで、その領域に含まれる細胞をすべて検出し、Ki-67陽性細胞と陰性細胞に分類した上で陽性細胞率を自動計測することが可能です。
■本研究の成果
Ki-67陽性細胞の分類性能において、ROC-AUC 0.981という高い性能が得られました。また、本AIモデルが算出したKi-67陽性細胞率(LI)は、同一画像を病理医が評価した結果と比較して高い相関が得られました。
これらの結果から、本AIモデルが病理医によるKi-67陽性細胞率評価を補助するツールとして有用であることが示されました。
■今後の展望
本研究ではKi-67を対象としてAIの開発を行いましたが、本研究で開発した手法は、免疫組織化学において核内に陽性シグナルが認められる他のタンパク質(例:P53など)にも応用可能であると考えられます。
今後は、核内タンパク質だけでなく、細胞膜タンパク質など様々な細胞局在を示すタンパク質についても、その発現様式を客観的かつ定量的に評価することが可能なAIの研究開発を進めてまいります。
■原著論文
▼論文タイトル:
Automated Assessment of Ki-67 Labeling Index Using Cell-Level Detection and Classification in Whole-Slide Images
▼日本語訳:
免疫組織化学デジタル標本におけるKi-67陽性細胞率を自動計測するAIの開発
▼掲載誌:
Diagnostics
▼DOI:
https://doi.org/10.3390/diagnostics16050816
▼論文URL:
https://www.mdpi.com/3765504
■著者・所属
<メドメイン株式会社>
常木 雅之
Meng Li
Fahdi Kanavati
本研究成果は、福岡県革新的医療機器研究開発支援事業費補助金の助成を受けて実施された研究開発により得られたものです。

■会社概要
【会社名】メドメイン株式会社 (Medmain Inc.)
【設立日】2018年1月11日
【事業内容】医療ソフトウェア・クラウドサービスの企画・開発・運営および販売
【代表取締役/CEO】飯塚 統
【所在地】[東京オフィス] 東京都港区南青山2-10-11 A青山ビル2F / [福岡オフィス] 福岡県福岡市中央区赤坂2-4−5 シャトレサクシーズ104 / [シリコンバレーオフィス] 212 Homer Ave, Palo Alto, CA 94301 USA(Medmain USA Inc.)
■各種関連サイト
【コーポレートサイト】https://medmain.com
【プロダクトサイト】https://service.medmain.com
このプレスリリースには、メディア関係者向けの情報があります
メディアユーザー登録を行うと、企業担当者の連絡先や、イベント・記者会見の情報など様々な特記情報を閲覧できます。※内容はプレスリリースにより異なります。
すべての画像
