人間ドック・健康診断受診者の満足度向上を目指し、AIレポート自動生成機能「EIRL AI Report」の第一弾として、「EIRL Brain Report」を提供

「EIRL Brain Report」は、人間ドックや健康診断の受診者の各部位の状態について、AIを活用してレポートを自動的に生成する新機能「EIRL AI Report」の一つになります。エルピクセルの持つ豊富な医療データをもとに受診者自身と同年代のデータを比較できることが特徴です。
エルピクセルでは、医師の効率的診断のサポートだけでなく、人間ドックや健康診断受診者の満足度向上や、それらの定期的な受診を促進させるため、今回の「EIRL Brain Report」を皮切りに、頭部だけでなく、各部位の製品の機能として開発していく予定です。
【EIRL Brain Reportについて】
脳ドック受診者向けのEIRL Brain Metryの解析結果を用いたAIレポート自動生成機能で、受診者ご自身の脳の状態を画像やグラフで確認できます。また、白質高信号体積について同年代の方と比較できるほか、定期的に検査を受けることで、過去のデータから推移を見ることができます。
【機能追加の背景】
脳ドックの受診後、診断結果報告書を渡されても説明を十分に受けることができず、不満を感じる方が多いのが現状です。そこで、自動生成されるAIレポートの活用により、受診者への説明の充実や脳ドックの満足度向上を実現し、定期的な脳ドックの受診を促進することを目指します。
■AIレポート(2)の要素
・AIが測定した白質高信号領域の体積とその推移(過去3年の傾向をグラフ化)
・脳室周囲高信号領域と深部皮質下白質高信号領域の体積に基づいたP/Dスコア
・代表画像での白質高信号の可視化
・同年代分布での個人の位置をグラフ化
■レポート例

【EIRL Brain Metry】
脳MR画像から白質高信号領域・Evansindex・Callosal angleを自動計測する定量的自動計測アルゴリズムです。白質等の評価における医師によるばらつきをなくします。
【新モデルによる解析結果例】
旧モデルの解析結果は、医師が作成した正解領域に比べて余分な領域を推論しているのに対し、新モデルでは医師が作成した正解領域により近い領域を出力しています。
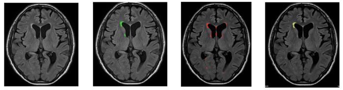
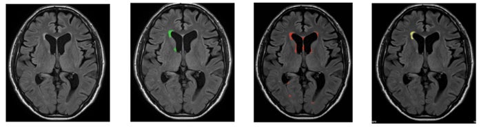
(1) (2) (3) (4)

(1) 元画像 (2) 医師が作成した正解領域 (3) 旧モデルの解析結果 (4) 新モデルの解析結果
【今回のバージョンアップによる改善点】
・白質高信号領域計測結果の表示方法について
従来の体積値表示の他に、大脳総体積に対する相対値表示も可能となりました。
・脳室周囲高信号領域(PVH)と深部皮質下白質高信号領域(DSWMH)のスコアについて
今までは特定スライスの面積による算出でしたが、脳室周囲高信号領域(PVH)と深部皮質下白質高信号領域(DSWMH)のスコアについて相対体積を基準にしました。
【認知症の頭部MRI検査について】
認知症とは、いろいろな原因で脳の細胞が死んでしまったり、働きが悪くなったためにさまざまな障害が起こり、生活するうえで支障が出ている状態を指します(3) 。認知症は、その発症した原因により、主に4つの認知症(アルツハイマー型認知症・血管性認知症・レビー小体型認知症・前頭側頭葉変性症)の種類に分類され、他の疾患と同様に、早期診断と早期対応が大切です。一般に、認知症の診断は米国精神医学会による診断マニュアルであるDiagnostic and Statistical Manual of Mental Disorders-5(DSM-5)、National Institute on Aging-Alzheimerʼs Association(NIA-AA)等の診断基準に基づいて行いますが(4) 、画像診断も重要な役割を果たしています。撮像法としては、CT(computed tomography)、MRI(magnetic resonance imaging)、SPECT(single photon emission computed tomography)、PET(positron emission tomography) 検査などが挙げられます(5)。
そのうちMRI 検査は、脳の形態学的変化と信号変化により、認知症のスクリーニングに使われています。アルツハイマー型認知症では、特に海馬や海馬傍回を含む側頭葉内側の萎縮が特徴的で、脳の容積をボクセル単位でコンピューター解析するVoxel-based specific regional analysis system for Alzheimer’s disease(VSRAD)という画像統計解析法が用いられます。一方、血管性認知症では、大脳の脳室周囲の白質や基底核に、小さな梗塞(ラクナ梗塞)や慢性の虚血性病変が多発してみられ、FLAIR (Fluid attenuated inversion recovery)画像やT2強調画像などの撮像法が有用です。
(1)販売名:医用画像解析ソフトウェア EIRL Brain Metry 認証番号:230AGBZX00107Z00
(2)出力フォーマットは、DICOM PDFもしくはSC(セカンダリーキャプチャ)になります。PACSビューワで確認の上、印刷後に受診者に提供でき、クラウドPACSとの連携も可能です。※各要素はEIRL Brain Metryの解析結果に基づきます。
(3)厚生労働省:政策レポート(認知症を理解する) https://www.mhlw.go.jp/index.html
(4)認知機能の評価法と認知症の診断 |一般社団法人 日本老年医学会 https://jpn-geriat-soc.or.jp/
(5)医学検査 Vol.66 No.J-STAGE-2 認知症予防のための検査特集 2017
【製品に関するお問い合わせ】
エルピクセル株式会社 営業本部
TEL:03-6259-1713 Mail:eirl-cs@lpixel.net
URL:https://marketing.eirl.ai/ja/contact/
【AI画像診断支援技術について】
高度化するモダリティとともに、医療画像診断の作業は増加の一途をたどっています。AIを活用した独自のアルゴリズムによって医療画像情報を解析し、効率的で、正確な診断が出来る環境の提供を目指します。
EIRLプロダクトサイト(医療従事者向け):https://eirl.ai/ja/
【エルピクセル株式会社について】
エルピクセル株式会社は、ライフサイエンス領域の画像解析に強みを持ち、医療・製薬・農業分野において画像解析技術、とりわけ人工知能技術を応用することで、高精度のソフトウエアを開発してまいりました。医師の診断を支援するAI画像診断支援技術「EIRL(エイル)」、創薬に特化した画像解析AI「IMACEL(イマセル)」を軸に事業を展開しています。
このプレスリリースには、メディア関係者向けの情報があります
メディアユーザー登録を行うと、企業担当者の連絡先や、イベント・記者会見の情報など様々な特記情報を閲覧できます。※内容はプレスリリースにより異なります。
すべての画像
- 種類
- 商品サービス
- ビジネスカテゴリ
- 医療・病院
- 関連リンク
- https://eirl.ai/ja/
- ダウンロード
