頭部MRA画像から脳動脈瘤候補点を検出するEIRL Brain Aneurysm偽陽性の低減を実現した新モデルを発売

エルピクセル株式会社(本社:東京都千代田区、代表取締役:鎌田富久、以下「エルピクセル 」)は、EIRL Brain Aneurysm(1)の偽陽性の低減を実現した新モデルについて、「医薬品、医療機器等の品質、有効性及び安全性の確保等に関する法律(医薬品医療機器等法)」に基づき一部変更申請を行い、2025年6月12日付で承認を取得いたしました。
本製品は、頭部MRA(Magnetic Resonance Angiography)画像から脳動脈瘤の候補点を検出するプログラム医療機器です。2019年に放射線画像領域におけるAIを活用したプログラム医療機器として、本邦で初めて承認を取得いたしました(2)。2021年6月には1症例あたりの偽陽性数を低減させるなど検出精度の改善を行い(3)、今回で二度目のバージョンアップになります。
新モデルでは、学習データの追加学習に加えてアルゴリズムの見直しを行うことで、検出感度を維持しながら、症例あたりの平均偽陽性数を「1」以下となるよう改善を行いました。
引き続き、EIRLは医師に寄り添うパートナーとして、製品リリース後も迅速に性能改善に取り組むことができることを強みとしながら、対象領域や対象所見の拡大を目指し、研究開発に努めてまいります。
【性能強化の背景】
エルピクセルが提供するEIRLシリーズは、2019年10月に販売開始した脳MRA画像から脳動脈瘤の候補点を検出する医用画像解析ソフトウェア EIRL Brain Aneurysm(エイル ブレイン アニュリズム)を皮切りに、頭部・胸部・大腸の3つの領域で9つの製品をリリースしてまいりました。これまで大学病院から診療所まで累計1000以上の幅広い層の医療施設に導入され、総解析件数は1200万を突破(4)するなど、全国各地の医療機関における読影診断をサポートしています。
臨床現場で活用され社会実装が進む中、ユーザーである医師からは様々な声が寄せられています。特に、EIRL Brain Aneurysmについては、偽陽性(False Positive)(5)の割合が多い点が医師の読影を阻害する要因として課題となっており、性能改善に取り組んでまいりました。
【強化された機能】
・1症例あたりの偽陽性数が減少
EIRL Brain Aneurysでは、脳動脈瘤の候補点について1症例あたり最大4つを検出し、表示します。今回、一部変更申請を取得した新バージョンでは感度92.3%、1症例あたりの偽陽性の検出数が「1」以下となりました。

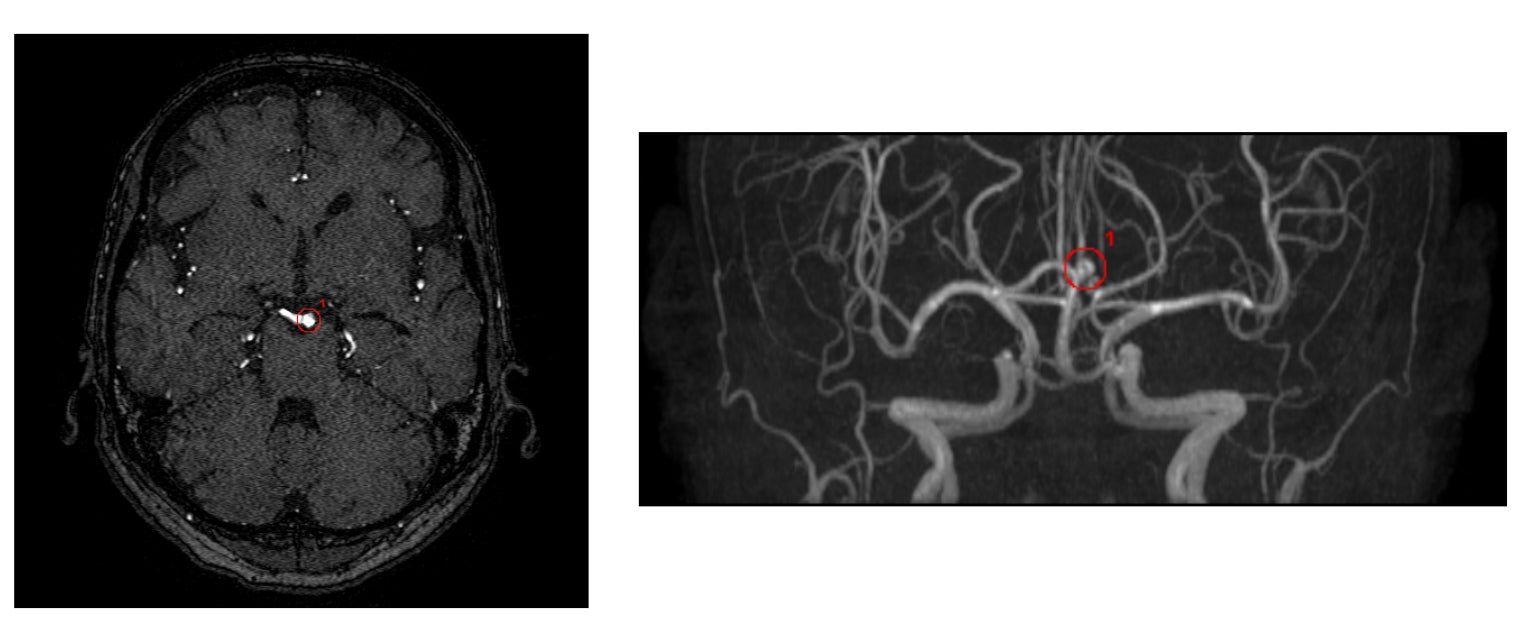
【検出事例】
・旧モデルと比較して「偽陽性」が低減した症例

・脳底動脈の検出事例

※いずれの検出例もイメージであり、実際の製品表示とは異なる場合があります。
(1) 販売名:医用画像解析ソフトウェア EIRL aneurysm 製造販売承認番号:30100BZX00142000
(2) 出典:「プログラム医療機器の製造販売承認品目一覧」(2024年12月31日時点)/独立行政法人医薬品医療機器総合機構
(3) 2021年6月4日「医用画像解析ソフトウェア EIRL Brain Aneurysm、一部変更申請の承認を取得」
https://lpixel.net/news/press-release/2021/10319/
(4) 2025年6月時点。トライアル含む。
(5) 正しくは陰性である検査結果が陽性と判定されること。
(6) エルピクセルが実施した252症例に対するプログラム単体の性能評価試験。
【エルピクセル株式会社について】
エルピクセル株式会社は「医療AIですべての人に健康な未来を」を掲げ、医療AIの研究開発・社会実装を進めています。オープンイノベーションのハブとしてパートナーの皆様と連携し、予防・診断・創薬・手術など医療のあらゆる分野の課題に対して、革新的なプロダクトを提供してまいります。医師の診断を支援する画像診断支援AI「EIRL(エイル)」、創薬・アカデミア向け画像解析AI「IMACEL(イマセル)」を軸に事業を展開しています。
・コーポレートサイト:https://lpixel.net/
・公式ブログ(note):https://note.com/lpixel/
【画像診断支援AI技術について】
高度化するモダリティとともに、医療画像診断の作業は増加の一途をたどっています。AIを活用した独自のアルゴリズムによって、胸部X線、CT、内視鏡、MRIなどの医療画像情報を解析し、医師が効率的で、正確な診断ができる環境の提供を目指します。エルピクセルが提供する画像診断支援AI「EIRL(エイル)」シリーズは、これまでに大学病院から診療所まで幅広く、47都道府県全てにおいて累計1000以上の医療施設に導入され、総解析件数は1200万件を突破いたしました(2025年6月末時点、トライアル含む)。
・EIRLプロダクトサイト(医療従事者向け):https://eirl.ai/ja/
【製品に関するお問い合わせ】
エルピクセル株式会社 EIRLビジネス本部
TEL:03-6259-1713 Mail:eirl-cs@lpixel.net
URL:https://marketing.eirl.ai/ja/contact/
【本件に関するお問い合わせ】
エルピクセル株式会社 広報室
TEL:03-6259-1713 Email:pr@lpixel.net
このプレスリリースには、メディア関係者向けの情報があります
メディアユーザー登録を行うと、企業担当者の連絡先や、イベント・記者会見の情報など様々な特記情報を閲覧できます。※内容はプレスリリースにより異なります。
すべての画像
