GEヘルスケア・ジャパン、女性医療のさらなる診療の質向上への貢献を目指して「Voluson Expert 22」に新機能搭載
2023年11月2日(木)より開催される第26回日本IVF学会学術集会にてVoluson Expert 22新バージョンの初出展
Voluson Expert 22
日本をはじめとする先進諸国ではライフスタイルの多様化が進み、女性を取り巻く環境も大きな変化を遂げてきました。女性医療の重要性やニーズも高まるなか、子宮内膜症などの婦人科良性疾患の罹患に長年気付かず望んだタイミングで妊娠ができなかったり、骨盤底障害による腹圧性尿失禁や臓器脱などの問題を抱えながらの生活など、女性のクオリティ・オブ・ライフ低下の要因となる疾患への対応も強く求められるようになってきました。
この様な状況を受け、GEヘルスケアでは、女性一人ひとりが、自身の健康に興味を持ち、生き生きと活躍できる社会の実現をより強力に支援するべく、周産期領域に加え、婦人科領域でお役立ていただける製品や機能の開発に注力し始めました。
周産期・産婦人科分野の診療の正確性と効率化を追求するべく、先進の3D/4D機能や産婦人科向け自動化ツール、プローブテクノロジーの開発・製造に20年をこえて注力して参りましたが、これまでに培ってきたテクノロジーや医療現場での経験、お客様からいただいたご意見やご要望を取り入れ、婦人科診療向けの機能を拡充したVoluson Expertシリーズ新バージョンの国内における販売を開始します。本製品を通じて、女性のクオリティ・オブ・ライフに対する課題解決によりフォーカスするべく、経腟プローブの改良と、婦人科良性疾患の一つである子宮筋腫、及び骨盤底の評価を支援する自動化ツールを搭載し、外来診療において、より短時間で、早期発見・介入につながる多くの情報の提供を目指します。
【製品特長】
婦人科診療の負担軽減に貢献する新しい経腟プローブ
Voluson Expert 22では、より膨大な情報を高速処理可能な次世代エンジンを搭載し、ソフトウェア制御されたビームフォーミングを実現しています。弊社独自のXDclear技術を搭載した、新しい4D経腟プローブとの組み合わせにより、ペネトレーション、分解能に優れた画像を提供します。弊社の従来プローブよりも42%の軽量化を実現するとともに、視野角、揺動角も広がり、一度に広範囲のボリュームデータの収集が可能となりました。経腟超音波検査における、医師、患者双方にとっての時間的、身体的負担を軽減致します。
RIC10-Dプローブ
婦人科疾患のより早期の検出をサポートするアプリケーション
Volusonが長年培ってきた3D技術と、開発へのAI活用により、婦人科超音波検査の効率化に貢献する2つのアプリケーションを搭載しました。1つは、少ないステップで子宮筋腫の立体的位置関係を可視化する機能で、これまで断層像を用いて立体像をイメージしながら実施していた検査を3D画像化することで、簡便に子宮内膜との位置関係や、大きさを把握できるようサポートします。(画像➀)
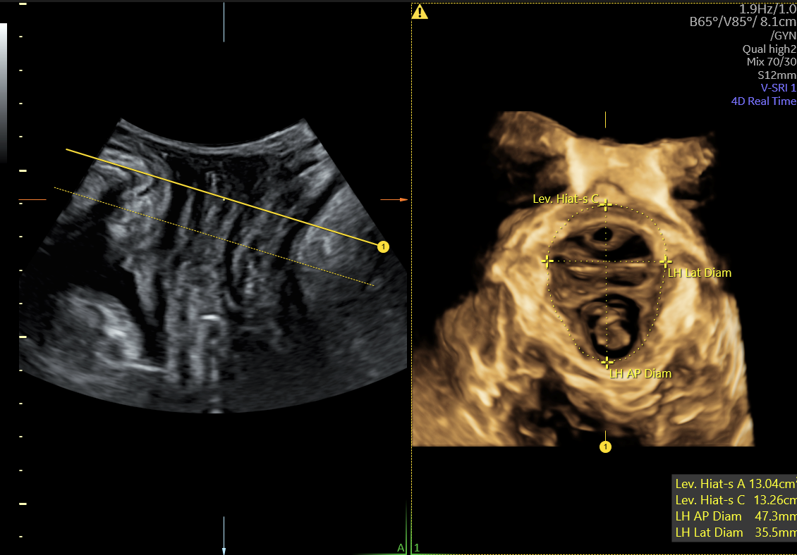
もう1つは、再現性のある骨盤底超音波画像の取得と計測をアシストする機能で、断面の位置合わせをリアルタイムに自動トラッキングして表示し、挙筋裂孔面積等の計測を装置がアシストします。(画像②)

■GEヘルスケア・ジャパンについて
GEヘルスケア・ジャパン株式会社は、GEヘルスケアの中核拠点の1つとして1982年に創設されました。予防から診断、治療、経過観察・予後管理までをカバーする「プレシジョン・ヘルス」の実現を目指し、インテリジェント機器やデータ分析、ソフトウェア、サービス等を提供しています。国内に研究・開発、製造から販売、サービス部門までを持ち、日本のお客様のニーズにお応えしつつ、日本が直面する医療課題の解決に取り組んでいます。日本における社員数は約1,500名、本社および約60カ所の事業拠点があります。
詳細はホームページ https://www.gehealthcare.co.jp/ をご覧ください。
このプレスリリースには、メディア関係者向けの情報があります
メディアユーザー登録を行うと、企業担当者の連絡先や、イベント・記者会見の情報など様々な特記情報を閲覧できます。※内容はプレスリリースにより異なります。
すべての画像
