【慶應義塾】Ku抗体筋炎の特徴を明らかに
東京都立神経病院脳神経内科医長 漆葉章典、慶應義塾大学医学部内科学(神経)助教 大山宗徳を中心に、東海大学、国立精神・神経医療研究センター、およびドイツ、フランスの施設から構成される研究グループは、多発筋炎・皮膚筋炎(筋炎)におけるKu抗体の特徴を明らかにしました。研究成果は、日本時間2024年3月29日に米国神経学アカデミー学会誌「Neurology」オンライン版に掲載されました。
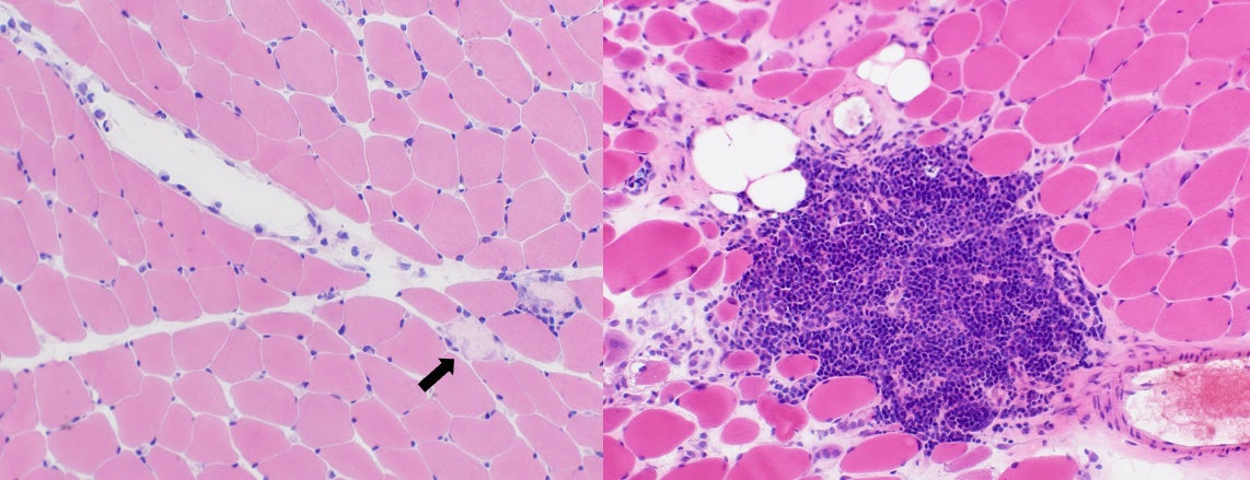
本研究はこれまで未解明であったKu抗体が関与する筋炎の特徴を世界に先駆けて明らかにしました。Ku抗体は一般的な診療では測定できないため、見逃されている可能性があり、検査体制を整備する必要があります。今回の研究から筋炎の病態解明がさらに進み、将来的には患者一人ひとりによって異なる個別化治療への発展が期待されます。
本研究はこれまで未解明であったKu抗体が関与する筋炎の特徴を世界に先駆けて明らかにしました。Ku抗体は一般的な診療では測定できないため、見逃されている可能性があり、検査体制を整備する必要があります。今回の研究から筋炎の病態解明がさらに進み、将来的には患者一人ひとりによって異なる個別化治療への発展が期待されます。
▼全文は本学のプレスリリースをご参照ください。
https://www.keio.ac.jp/ja/press-releases/files/2024/3/29/240329-2.pdf
このプレスリリースには、メディア関係者向けの情報があります
メディアユーザーログイン既に登録済みの方はこちら
メディアユーザー登録を行うと、企業担当者の連絡先や、イベント・記者会見の情報など様々な特記情報を閲覧できます。※内容はプレスリリースにより異なります。
すべての画像
