GEヘルスケア・ジャパン、心臓向け超音波画像診断装置「Vivid」シリーズの最新モデル「Vivid Pioneer」を販売開始
~「Vivid」シリーズを11年ぶりに刷新し、AI機能で効率性を向上~
2026年3月19日
医療の課題解決に取り組むヘルスケアカンパニー、GEヘルスケア・ジャパン株式会社(本社:東京都日野市、代表取締役社長兼CEO:松岡慎一、以下GEヘルスケア)は、心臓向け超音波画像診断装置「Vividシリーズ」の最新モデル「Vivid Pioneer」を3月19日より日本で販売開始いたします。
「Vivid Pioneer」は「Vivid」シリーズを11年ぶりに刷新した心臓領域の最上位機で、画質向上と新たに搭載されたAI補助機能により効率性の向上を目指します。なお、GEヘルスケアは3月20日より開催される第90回日本循環器学会学術集会にて本製品を初展示いたします。

「Vivid Pioneer」の特長
1. 最大360%(※)高速化したAIパフォーマンス
複数のAI補助機能が、ワークフローの自動化、検査スピードの短縮、画像精度の向上や測定レベルの一貫性を支え、最大360%(※)高速化したAIパフォーマンスを提供します。(※当社比)
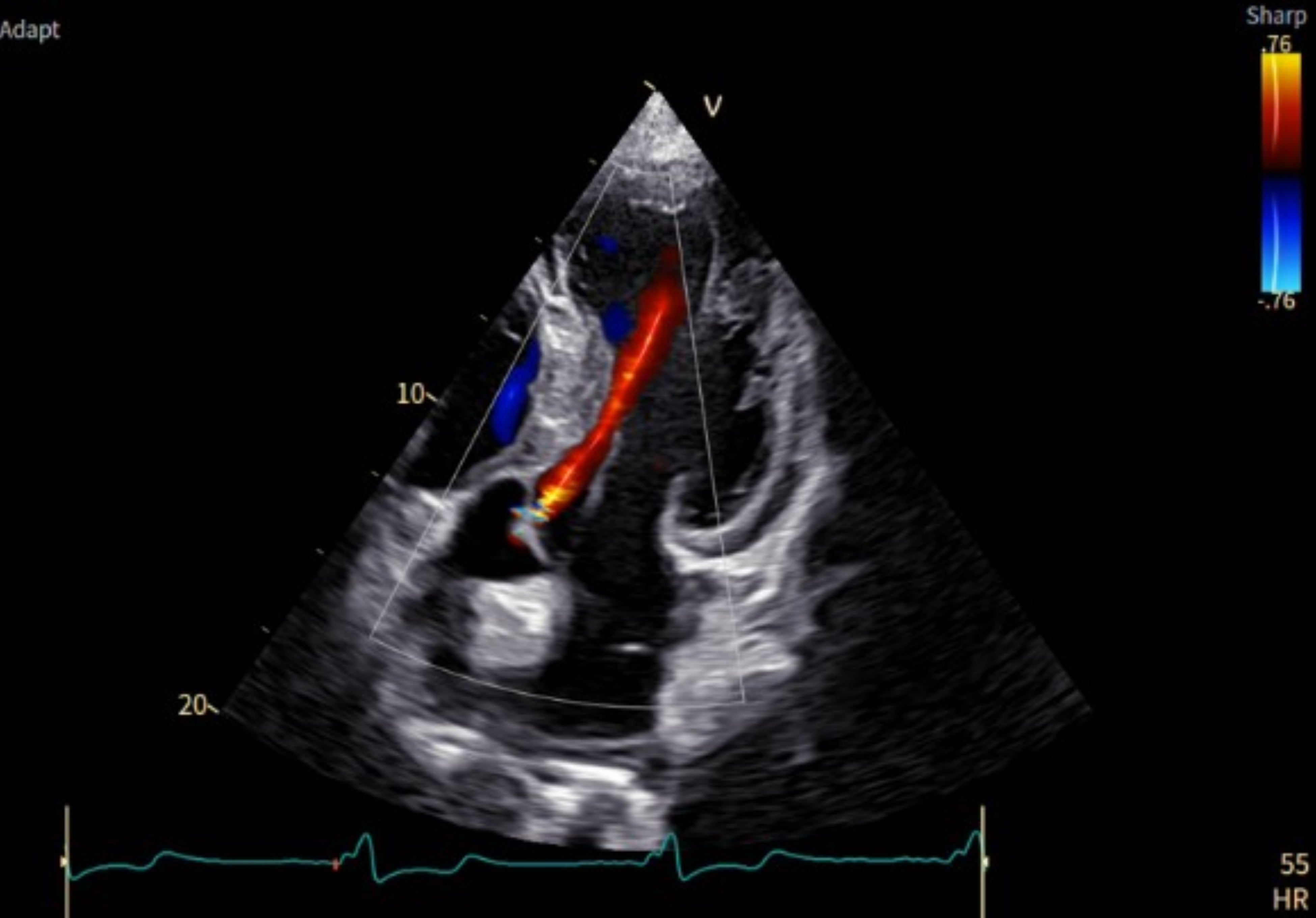
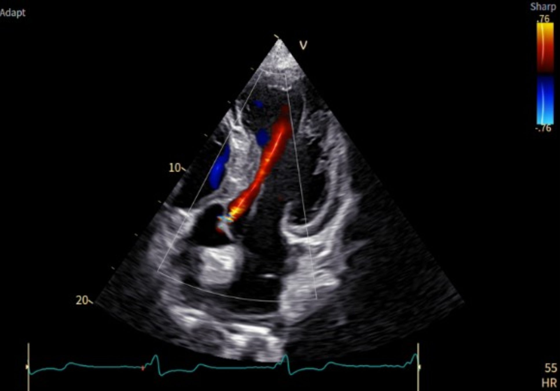
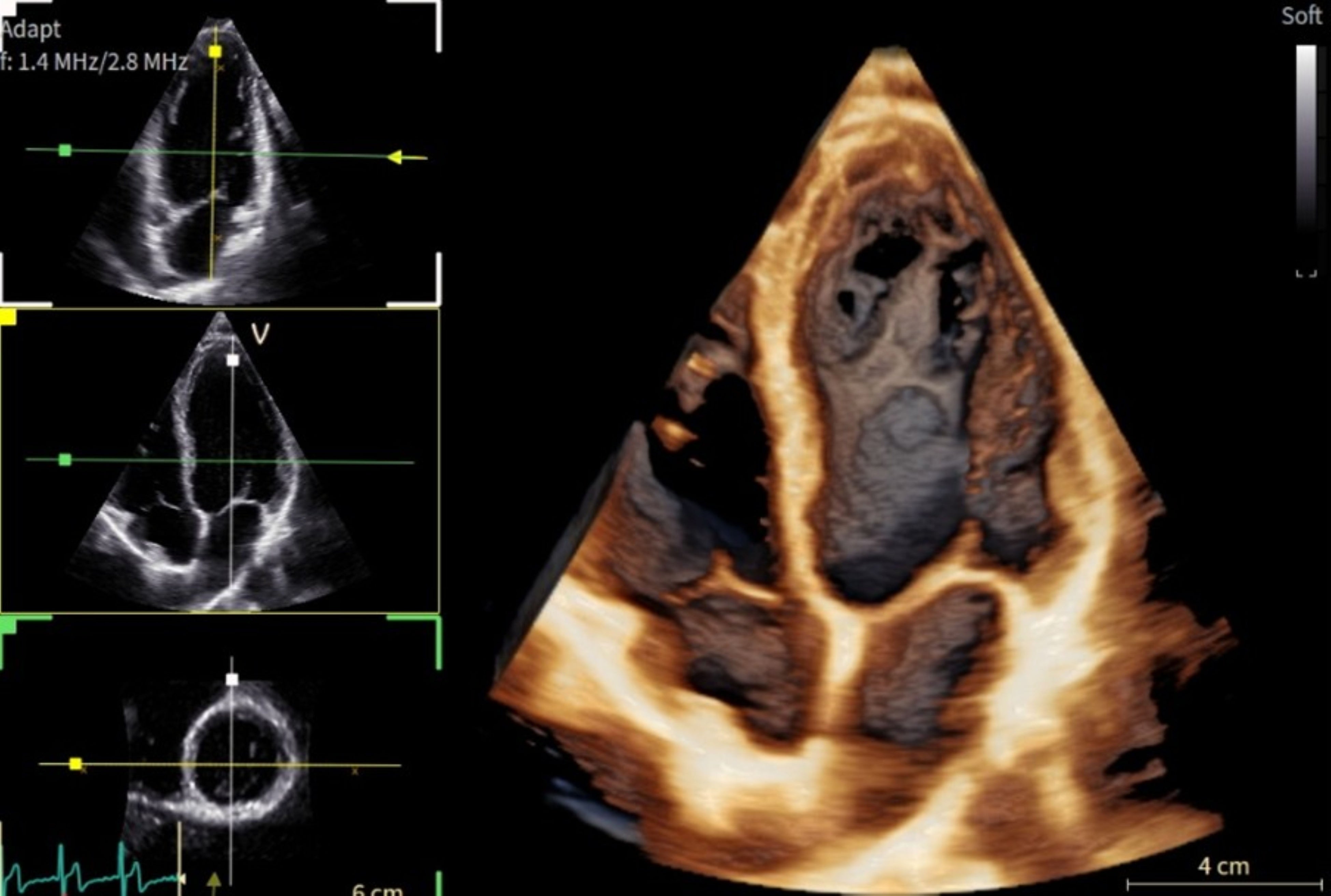
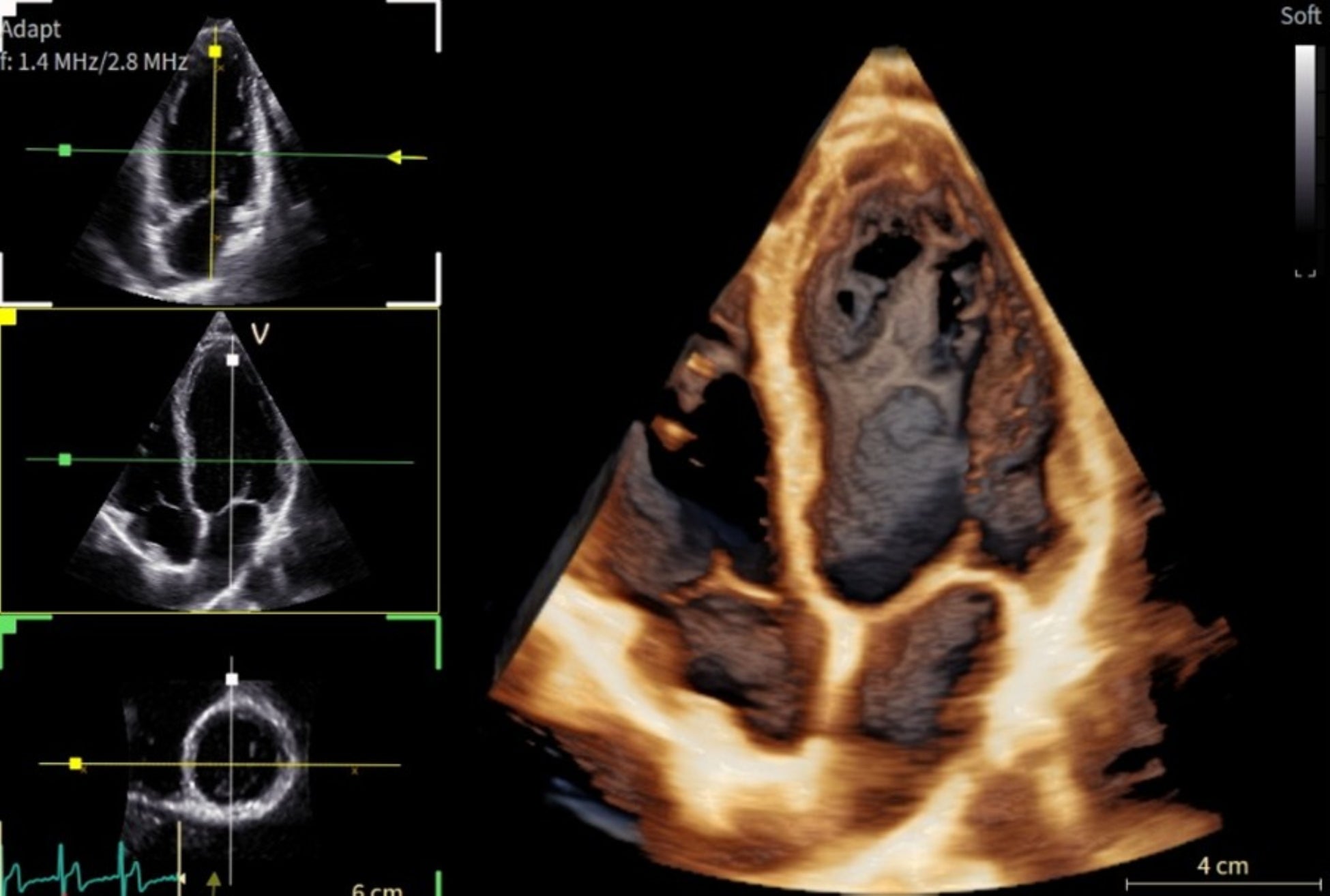
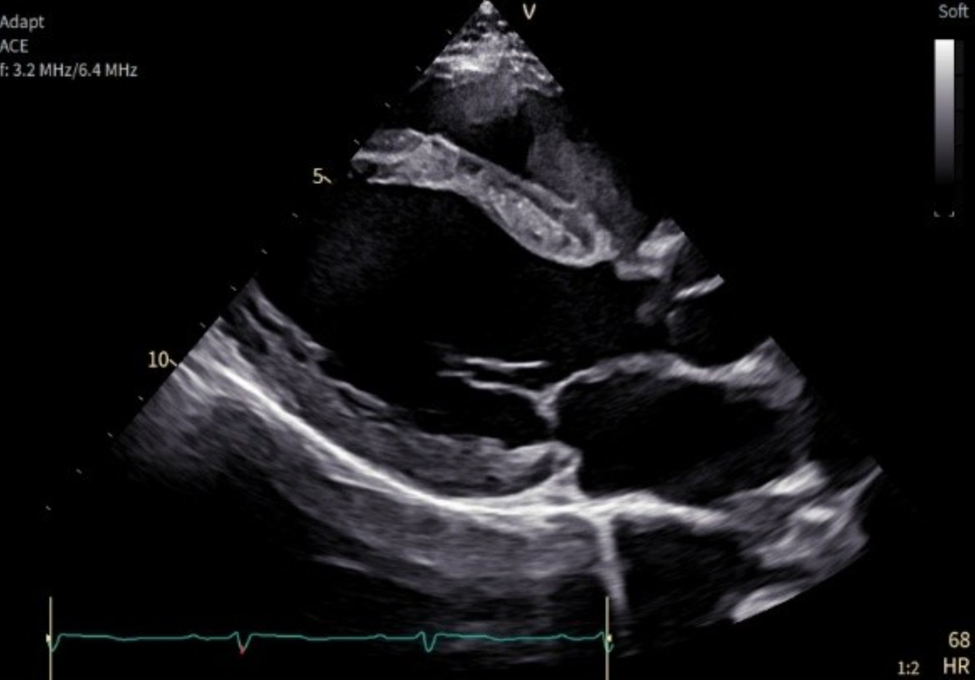
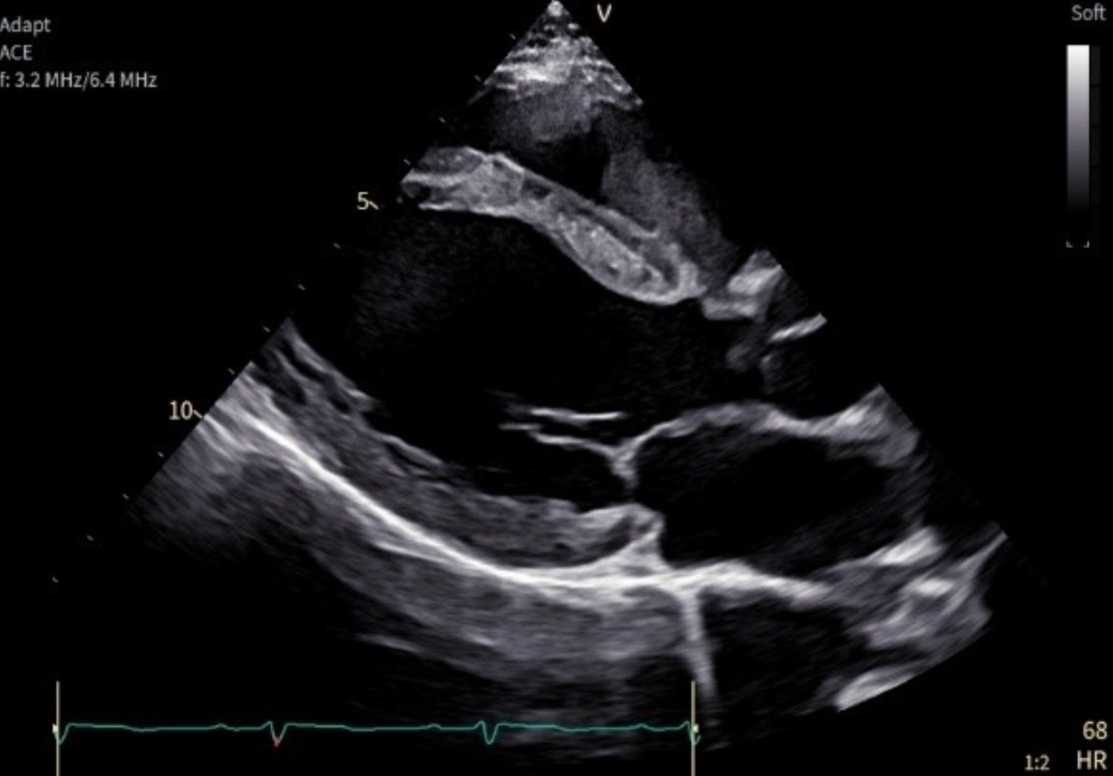
「Vivid Pioneer」は、これまで検査者が手作業で行っていた血流解析をAIが自動で行い、短時間で安定した測定プロセスを提供します。また、心臓の主要な部位(左心室と左心房)の動きや形を三次元で自動分析し、検査者間の標準化を支援します。そのほか、次世代の画像エンジン機能により、細部の見やすさ(空間分解能)や色の見やすさ(カラー感度)が向上し、より高精度な心臓の立体画像を描出します。



2.柔軟性を確保
「Vivid Pioneer」は、検査室や病室など限られたスペースにも適するようコンパクトに設計され、超音波画像診断装置に最適な大型モニターも備えています。またユーザーインターフェイスもシンプルで直感的に操作できるよう刷新されました。加えて、バッテリー搭載が可能となり、電源を抜いても検査を継続することや、停電時でも最大5分間スキャンすることができます。そのほか、プローブは広帯域の周波数を使用し幅広い年齢層やさまざまな体格の患者さんに対応し、心臓の微細構造を鮮明に描出します。




高齢化社会と心血管疾患の増加による医療現場の課題
心血管疾患は依然として世界の死因の首位であり、全世界の死因の約3分の1を占めています[i]。これらの疾患の負担を軽減することは困難であり、その進行は初期段階で無症状であることが多いため、見過ごされがちです[ii]。複雑な心疾患の管理において、早期発見と一貫した画像診断は依然として重要な課題ですが、これにより全体的な負担を減らし、逼迫した医療環境への圧力を緩和することが期待されます。
「Vivid Pioneer」は、精度・スピード・正確性が不可欠な心血管診断の要望に応えるために設計されました。次世代の画像エンジン、AIによる自動化されたワークフローや計測、直感的なデザインを備えた「Vivid Pioneer」は、医療従事者が自信をもって迅速に高度化された心エコー検査を行えることを目指しています。
[i] World Heart Federation. (2023). World Heart Report 2023: Confronting the world’s number one killer. Geneva, Switzerland. Retrieved from https://world-heart-federation.org/wp-content/uploads/World-Heart-Report-2023.pdf
[ii] Oude Wolcherink, M. J., Behr, C. M., Pouwels, X. G. L. V., Doggen, C. J. M., & Koffijberg, H. (2023). Health Economic Research Assessing the Value of Early Detection of Cardiovascular Disease: A Systematic Review. PharmacoEconomics, 41, 1183–1203. https://doi.org/10.1007/s40273-023-01287-2
製品名/薬事販売名/医療機器認証番号は以下の通り:
製造販売 GEヘルスケア・ジャパン株式会社
販売名称 汎用超音波画像診断装置 Vivid Pioneer
医療機器認証番号 307ACBZX00047000
販売名称 6Sc-Dプローブ
医療機器認証番号 307ACBZX00046000
GEヘルスケア・ジャパンについて
GEヘルスケア・ジャパン株式会社は、GEヘルスケアの中核拠点の1つとして1982年に創設されました。予防から診断、治療、経過観察・予後管理までをカバーする「プレシジョン・ケア」の実現を目指し、インテリジェント機器やデータ分析、ソフトウェア、サービス等を提供しています。国内に研究・開発、製造から販売、サービス部門までを持ち、お客様のニーズにお応えしつつ、日本が直面する医療課題の解決に取り組んでいます。日本における社員数は約1,500名、本社および60カ所の事業拠点があります。
詳細はホームページwww.gehealthcare.comをご覧ください。
<本件に関するお問い合わせ>
GEヘルスケア・ジャパン(株)
コーポレート コミュニケーション
TEL: 0120-202-021
すべての画像
