オリンパスとキヤノンメディカルシステムズ、超音波診断装置「Aplio i800 EUS」を 欧州・日本国内・オセアニア地域で販売活動開始
高画質の実現や独自技術の搭載により、膵臓がんなどの早期発見・診断を目指す
▪主な特長
1. 革新的なイメージング技術により、迅速かつ確実な診断・治療をサポート
2. 微細で低速な血流を捉えるイメージング機能などの搭載により、信頼度の高い診断に寄与
3. ユーザーニーズに応じてシステム操作をカスタマイズ可能、ユーザビリティの向上を実現

超音波診断装置 Aplio i800 EUS
▪背景
超音波内視鏡検査(Endoscopic Ultrasonography、以下EUS)は、超音波内視鏡と超音波診断装置を組み合わせたシステムで、内視鏡の先端についた超音波センサーにより、消化管の内側から膵臓や胆のうなどの臓器を観察することができます。体表からのアプローチに比べて臓器から近い距離で観察できるため、より鮮明な画像で検査をすることができます。特に膵臓がんの診断は、「膵癌診療ガイドライン(2019)」において、EUSは造影CT、MRIと同等の診断能と認められており、重要性が高まってきています。
オリンパスは長年、EUS領域において新たな機器開発による描出方法、診断方法の充実や手技の拡大に医師と共に取り組み、世界的に高い市場シェアを獲得・維持しています。一方、キヤノンメディカルは、超音波診断装置において1960年代から開発を続け、脳外科用のAモード装置やリニア電子スキャン方式など、他社に先駆け開発してきたリーディングカンパニーです。
この度、膵臓がんをはじめとする病変の早期発見・診断に寄与する高画質を実現し、独自技術を搭載した超音波診断装置「Aplio i800 EUS」の販売活動を開始することで、世界中の内視鏡医をサポートし、内視鏡診断の質的向上を目指します。
▪主な特長の詳細
1. 革新的なイメージング技術により、迅速かつ確実な診断・治療をサポート
EUSでは超音波画像の濃淡の差を見ることが大切です。キヤノンメディカルが開発したD-THI (Differential Tissue Harmonic Imaging)では浅部から深部にかけて十分な感度を持つ高分解能な映像を得ることが可能で、組織内部や境界エコーの描出能が向上します。これにより腫瘍、のう胞などの病変と正常組織の識別が素早く行え、診断・治療をサポートします。

D-THI
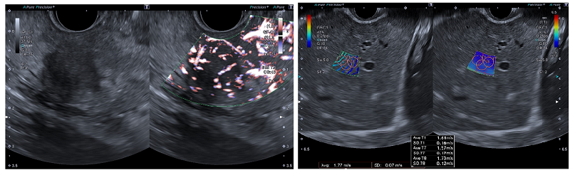
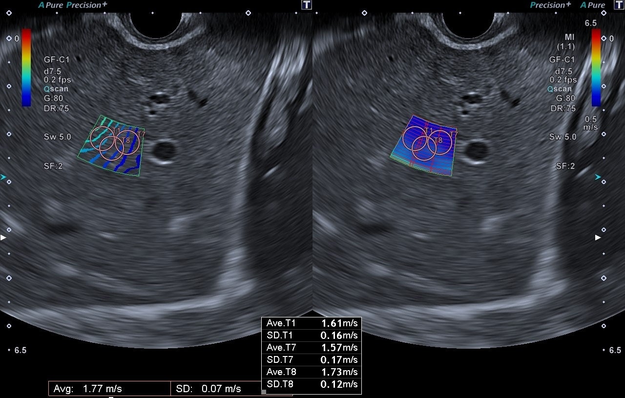
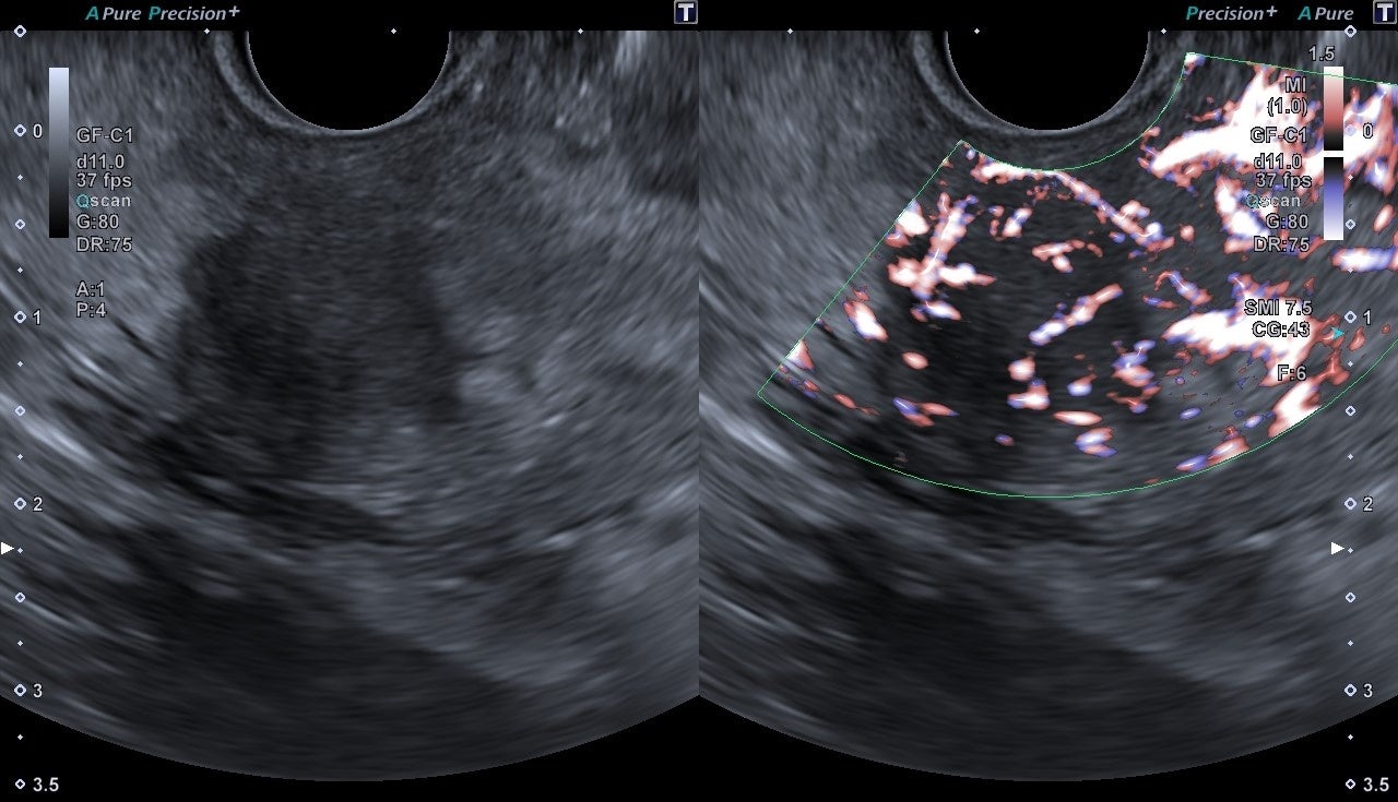
2. 微細で低速な血流を捉えるイメージング機能などの搭載により、信頼度の高い診断に寄与
EUSをサポートする多彩な機能を搭載することで、信頼性の高い診断・治療方針の決定をサポートします。キヤノンメディカル独自技術であるSMI(Superb Micro-vascular Imaging)は、微細で低速な血流を捉える血流イメージングです。カラードプラ※1は描出困難であった低流速血流を高感度、高分解能、高フレームレート※2、低アーチファクト※3に描出できるため、超音波画像下で穿刺を行う場合でも、より安全な手技をサポートします。また、EUSで病変の炎症度や良悪性などを診断する際、病変組織の硬さに関する情報が重要な判断材料になります。SWE(Shear Wave Elastography)は組織の硬さを数値やカラーマップで表示する技術のため、より客観的な硬さの評価が可能です。

SMI SWE
3. ユーザーニーズに応じてシステム操作をカスタマイズ可能、ユーザビリティの向上を実現
本製品はボタン1つで術者に合わせて操作パネルの高さを電動で調整することができるため、術者の操作性の向上・検査時の負担軽減に寄与します。また、操作パネルやタッチパネルのボタンをユーザーのニーズによって配置できるため、ユーザビリティの向上を実現します。

左:ユーザーニーズに合わせて高さ調整可能 右:操作パネル/タッチパネル正面図
※1 生体内の血流に色を付けてリアルタイムで表示する方法。
※2 1秒間に描出できる画像の枚数。フレームレートが高いと滑らかな画像になる。
※3 生体内に実存しない虚像が表示される現象。アーチファクトが低いと虚像の発生を軽減できる。

本リリースに掲載されている商標は各社の商標または登録商標です。
オリンパスについて
オリンパスは「私たちの存在意義」として掲げる、世界の人々の健康と安心、心の豊かさの実現を目指しています。世界をリードするメドテックカンパニーとして、私たちは医療従事者の方々と共に、病変の早期発⾒、診断、そして低侵襲治療に役立つ最適なソリューション・サービスの提供を通じて対象疾患における医療⽔準の向上に貢献してまいります。創業から100余年、オリンパスはこれからも世界中のお客様に最適な価値をもたらす製品を提供することで、社会への貢献を目指します。詳しくはオリンパスの公式サイト(www.olympus.co.jp)ならびにX(@Olympus_Corp_JP)をご覧ください。
キヤノンメディカルシステムズについて
キヤノンメディカルは、疾病の早期診断、早期治療のためCT、MRI、超音波診断装置、X線診断装置などの画像診断装置や体外診断装置、ヘルスケアITソリューションを開発、製造し、世界190以上の国や地域に提供しています。当社の経営スローガンである「Made for Life」(患者さんのために、あなたのために、そしてともに歩むために)のもと、病院経営に貢献し、患者さんに優しい医療システム・サービスをお届けし、これからも変わらず医療に貢献してまいります。
キヤノンメディカルシステムズ株式会社 ホームページ:https://jp.medical.canon/
このプレスリリースには、メディア関係者向けの情報があります
メディアユーザー登録を行うと、企業担当者の連絡先や、イベント・記者会見の情報など様々な特記情報を閲覧できます。※内容はプレスリリースにより異なります。
すべての画像
