サンスター財団初の歯科ドック(精密歯科健診)、関西メディカルネット会員制人間ドックの健診メニューに10月導入開始

歯科ドックは、一般的な歯やハグキの検査に加え歯周組織、歯並びや咬み合わせなどを総合的にチェックすることで、歯やハグキに関する自覚症状のない病気を早期に発見できる、精密歯科健診です。また歯やハグキに将来的に引き起こされる可能性がある病気やトラブルについても、生活習慣や全身に関わる病気もふまえて判定します。人間ドックがさまざまな検査を通し健康状態を確認するのと同様に、歯科ドックでは、一般的な歯科健診には含まれない、3Dエックス線撮影や、唾液検査、口腔内スキャン撮影など、きめ細かな検査を行います。検査後は、歯科医師による検査結果説明、個人に合わせたセルフケアの方法、必要に応じて治療、歯科医院の選び方などのアドバイスを受けることができます。検査からアドバイスまで約90分のプログラムです。
サンスター財団は、お口の健康から全身の健康を考え、最適な治療と予防を提供することを通し人々の健康の増進に寄与してきました。一方、メディカルネットは20年以上にわたり会員制人間ドックを運営し、会員さまのがんの早期発見、健康状態の把握に取り組んできたノウハウをもっており、このたび、さらなるサービスの拡充を図るため、会員制人間ドックの健診メニューの中に、サンスター財団が新たに提供する歯科ドックを組み込むことになりました。近年のオーラルケアの意識の高まりで、会員さまから歯と口腔の健康状態についての相談が増えており、そのニーズに応えることも目的としています。
サンスター財団とメディカルネットは、今後も、皆さまの健康で豊かな生活に貢献してまいります。
【歯科ドック内容】
検査、歯科医師より検査結果報告・アドバイス、歯科衛生士より個人の状況に合わせた歯みがき指導(約90分)
検査結果シートは後日郵送
■口腔内写真撮影
お口の中を撮影する専用の一眼レフカメラで撮影し、日頃、鏡で見ただけではわからない歯やハグキの状態、歯並びや咬み合わせの状態を確認できます。

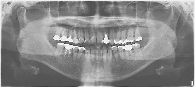
■パノラマエックス線撮影
口、顎全体を1枚の写真に写すエックス線撮影では、むし歯や歯周病、のう胞、腫瘍、唾石、骨折など歯と顎骨の中の病気や、上顎洞(副鼻腔)の炎症有無などを診ることができます。
■歯周組織精密検査
歯周組織の健康状態を調べる検査で、下記の4項目について検査を行い、エックス線撮影の結果と併せて、歯周病の進行状態やリスクについて判定を行います。
・歯周ポケットの深さ(1本の歯の周囲を6ヶ所測定)
・歯周ポケット測定時の出血の有無

・歯の動揺度
・プラーク(歯垢)付着度
■3Dエックス線撮影(CBCT)
歯や骨の状態を3次元的に調べるエックス線検査で、通常のエックス線写真では重なりが生じて見えない病気の発見や、病変の大きさ、位置関係などを調べられる為、歯科医師がより正確な診断、治療をするのに役立ちます。
歯の欠損部位があり、インプラント治療をご検討されている方は、インプラント治療の可否を診断するうえで非常に重要な情報となります。

■口腔内スキャン撮影(必要に応じて実施)
3Dスキャナを用いて口の中を撮影し画像でご確認する事ができます。歯型を取ることなく、鏡で見ることのできない歯の裏側やハグキの状態を画像で確認することができます。
■唾液検査
お口をすすいで吐き出した唾液から、将来のお口の病気リスクを数値化して示す検査のひとつです。受診時間内で結果判定が出るため、他の検査結果と併せて、お口の健康に関するアドバイスをする際に使用します。
【企業概要】
<関西メディカルネット>
関西電力のグループ会社として、2003年に設立し、会員制人間ドックの運営を柱に、特定保健指導やサプリメントの販売、医学研究など、ヘルスケア分野において多岐に渡る事業を展開しています。会員制人間ドックでは、がんの早期発見に有効なPETやMRI、CTによる先進的な画像診断等を複合的に組み合わせた総合健診により、会員さま(約2,000名)の健康状態を把握しています。
<サンスター財団>
サンスター財団は、1977年に設立された財団法人「サンスター歯科保健振興財団」を前身とし、活動領域を広げるために、2011年4月に一般財団法人「サンスター財団」として新たにスタートしました。
歯科診療(サンスター財団附属千里歯科診療所、所在地:大阪府豊中市)、産業歯科健診、歯科保健指導、研究助成(金田博夫研究助成基金、国際ペリオ賞、世界歯科衛生士賞など)、教育啓発、調査・研究、データヘルス計画に基づく健康増進などの事業を実施しており、近年は口腔衛生のみならず全身の健康増進に寄与する事業を展開、国民や地域コミュニティあるいは国際的な保健、医療及び福祉の発展に寄与することを目的としています。
100年mouth 100年health

人生100年時代、サンスターが目指すのは、お口の健康を起点とした、全身の健康と豊かな人生。毎日習慣として行う歯みがきなどのオーラルケアは、お口の健康を守り、そして全身の健康を守ることにもつながって
います。100年食べ、100年しゃべり、笑う。一人ひとり、自分らしく輝いた人生、豊かな人生を送るためにも、お口のケアを大切にしていただきたいと考えています。今後もお口の健康を起点としながら全身の健康に寄与する情報・サービス・製品をお届けすることで、人々の健康寿命の延伸に寄与することを目指していきます。
このプレスリリースには、メディア関係者向けの情報があります
メディアユーザー登録を行うと、企業担当者の連絡先や、イベント・記者会見の情報など様々な特記情報を閲覧できます。※内容はプレスリリースにより異なります。
すべての画像
