【※6/17東京開催応募概要更新※】日本臨床細胞学会、細胞を“アート”で捉え、楽しく学べる「細胞アート展」開催
公益社団法人化10周年を記念して企画。第一弾としてWebサイト「細胞アートクルーズ」を公開。“アート”を通して、国民の健康を守る細胞診の重要性を伝える

公益社団法人10周年企画「細胞アートクルーズ」Webサイト:https://saibouart.jp/
公益社団法人 日本臨床細胞学会(学会事務局:東京都千代田区、理事長:岡本 愛光、以下「当学会」)は、公益社団法人化10周年を迎え、周年企画として細胞や細胞診について楽しく理解してもらう「細胞アート展」を開催いたします。本企画の第一弾として、Webサイト「細胞アートクルーズ」を公開しました。また、2024年6月に大阪、同年8月に東京にて「細胞アートワークショップ」を開催します。
本企画を通じて、多くの方々に細胞の役割や細胞診を支える細胞診専門医や細胞検査士の重要性を伝えることを目的としています。
「細胞診」高齢化社会が進む中で患者の負担が少なく、がんの早期発見や治療に貢献


医学の進歩と技術の発展により、多くの人々がより健康な生活を送ることが可能になり、平均寿命が延びるなど、健康水準が向上しています。それと同時に、高齢化が進み、加齢とともに発生リスクが高まるがんにおいては特に定期的な検診が呼びかけられています。
そのような中、がんなど疾患の診断や治療の有効な手段として認識されているのが“病理診断”です。細胞や組織の形を肉眼で観察したり、顕微鏡で観察したりすることによって、どのような病気か検査することを“病理検査”と呼びますが、病理検査によって下される「病理診断」は、病気になった細胞や組織を直接観察して下されるため、「病気の最終診断」となります。 特にがんの診断には、病理診断が必ず必要になります。確実にがんであると確認しなければ、手術や抗がん剤の治療など、 負担の大きい治療に進むことができないからです。
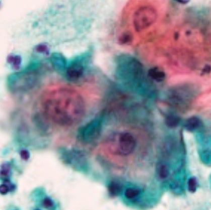
「細胞診」はその中でも塊の「組織」ではなく、こぼれ落ちた「細胞」の形を顕微鏡で観察する検査のことをいいます。細胞診は患者の負担が少なく、特に粘膜や尿などの採取方法は繰り返し行えるため、病気の診断における初期段階の確認に有効です。また、細胞診断の利点は患者の負担が少ないだけではありません。血液検査や画像検査などに比べ、組織サンプルや体液から直接、細胞を取り出し、顕微鏡下で観察することによって、細胞レベルで病変を評価し、疾患の種類や性質を正確に診断することが可能です。子宮頸がん検診にも用いられており、子宮頸癌による死亡率の減少に効果的と報告されています。また子宮体がん、肺がん、乳がん、甲状腺がん、膀胱がんなどの診断に多く用いられています。
本企画を実施する日本臨床細胞学会は、臨床細胞学の研究と細胞診断を推進し、細胞診専門医と細胞検査士の認定を行っています。1962年に設立され、正会員数5,688名(医師会員4,545名 技師正会員1,143名)準会員数7,110名(2023年5月12日現在)が含まれます。
“ミクロのクルーズ船に乗っているかのように”体内の細胞を探索できる
Webサイト「細胞アートクルーズ」で細胞診の重要性を伝える

公益社団法人化10周年を迎えた日本臨床細胞学会は、細胞診とは何か、そして細胞診を支える細胞診専門医や細胞診検査士についての理解を深めてもらうために、周年企画として「細胞アート展」という企画を実施。このたび、本企画の第一弾として、Webサイト「細胞アートクルーズ」を公開しました。
Webサイト「細胞アートクルーズ」では、体内の細胞の構造をミクロのクルーズ船に乗っているかのように探索でき、複雑な体内の細胞がよりわかりやすく、楽しみながら理解できます。また、正常と悪性の細胞を比較できるようになっており、細胞診が、がんなどの早期発見や治療に貢献できることを体感できる仕掛けになっています。日本臨床細胞学会は、本企画を通して、多くの方々に細胞について興味を持ってもらい、細胞診やそれを支える専門職の重要性を伝えることを目的としています。
子どもが自分の細胞を顕微鏡で検査するワークショップ
細胞をアートの視点で捉える写真展で構成された「細胞アート展」開催決定
「細胞アート展」では、実際に小学生やその保護者の方を対象に、実際に細胞について興味を持ってもらうワークショップ「細胞アートワークショップ」を開催いたします。
「細胞アート展」では、顕微鏡で撮影された細胞の写真が一つのアート作品として展示され、細胞をアートの視点で捉えていただく写真展です。また、同時に開催されるワークショップでは実際に子どもたちが自分自身の細胞を顕微鏡で観察しながら細胞診の仕組みを体験することができ、細胞診だけでなく、それを支える細胞診専門医や細胞診検査士の仕事についても同時に学ぶことができます。
ワークショップの詳細は、今後、当学会のプレスリリースおよびWebサイト「細胞アートクルーズ」内のお知らせにて発信いたします。
ワークショップ概要:
大阪開催
日程:2024年6月9日(日)(春期大会3日目[最終日])
場所:大阪国際会議場(住所:大阪府大阪市北区中之島5丁目3−51)
※日本臨床細胞学会の大会中に特設ブースを展示します。
東京開催 ※6/17 情報を更新しました。
◾️「細胞アート展」細胞診体験ワークショップ 概要
日程:2024年8月4日(日)
第一回:10時00分〜11時30分(受付開始9時30分)
第二回:13時00分〜14時30分(受付開始12時30分)
第三回:15時30分〜17時00分(受付開始15時00分)
場所:東京慈恵医科大学
※詳細の場所は、参加者に別途ご案内いたします。
住所:東京都港区西新橋3丁目25−8
対象:小学生〜高校生まで
料金:無料
参加方法:事前お申し込み制となっております。下記の応募フォームにご記入ください。
※お申し込み期間:7月7日(日)まで。
※参加可否にかかわらず、お申し込みいただいた結果は、
7月10日以降に応募いただいた皆様にご連絡させていただきます。
応募フォームはこちら↓
https://forms.gle/JqenQinnMMqfJNcJA
※ワークショップ参加するお子様は体験前に保護者の方より同意書をご記入いただきます。
※応募が多数あった場合には抽選とさせていただきます。
プレスリリースも更新しております。
https://prtimes.jp/main/html/rd/p/000000007.000139559.html
日本臨床細胞学会について
日本臨床細胞学会は、細胞学に着目し、臨床と研究を行ってきた学会です。全身、特に癌の細胞診断を取り扱っており、細胞診専門(指導)医や細胞検査士などの専門家が細胞診断を通して病気の早期発見や治療を行い、国民の健康維持に貢献しています。学会の重要な活動目的として、細胞診専門職の養成と認定があり、細胞診専門医の認定は昭和43(1968)年から、細胞検査士の認定は昭和44(1969)年から、の歴史を誇っています。細胞診を通じて人々の健康維持に貢献し、医学・科学を追及する集団として期待され、発展し続けていくために、皆様と共に進みたいと考えています。
団体名 :公益社団法人 日本臨床細胞学会
代表者 :理事長 岡本愛光
事務局 :公益社団法人化10周年記念事業企画担当 飯嶋(代行:株式会社kushami)
住所 :〒101-0062 東京都千代田区神田駿河台2-11-1 駿河台サンライズビル3F
URL :https://jscc.or.jp/
このプレスリリースには、メディア関係者向けの情報があります
メディアユーザー登録を行うと、企業担当者の連絡先や、イベント・記者会見の情報など様々な特記情報を閲覧できます。※内容はプレスリリースにより異なります。
すべての画像
