リガクのX線装置が「地方発明表彰」で特別賞2件を2年連続受賞
リガク・ホールディングスのグループ会社である、X線分析装置の世界的ソリューションパートナーの株式会社リガク(本社:東京都昭島市 代表取締役社長:川上 潤、以下「リガク」)は、計3件の特許技術が令和6年度の地方発明表彰(主催:公益社団法人発明協会)を受賞しました。特別賞2件の受賞は2 年連続となります。
この度の受賞を励みに、今後もリガクは先端X線技術のスペシャリストとしてX線が持つ可能性をより一層追求してまいります。
【特別賞】
パワー半導体の研究や品質管理に貢献する「化合物ウェーハ検査用X線トポグラフィ装置」
本発明では、電力の変換ロスを大幅に削減できる化合物半導体ウェーハ全面の結晶欠陥を非破壊で測定し、得られた画像によって、欠陥の位置や種類を高感度で特定することが可能です。さらに、X線の反射や透過像を高速に処理できます。(※1)
これらの技術がパワー半導体の研究や品質管理に大きく貢献しています。本技術はハイスループット&高分解能X線トポグラフイメージングシステム「XRTmicron」に搭載されています。

受賞名:関東地方発明表彰特別賞「中小企業庁長官賞」
発明名称:「化合物ウェーハ検査用X線トポグラフィ装置」(特許第5838114 号)
発明者: 表 和彦、上ヱ地 義徳、松尾 隆二、菊池 哲夫
実施功績賞: 川上 潤
発明詳細: https://koueki.jiii.or.jp/hyosho/chihatsu/R6/jusho_kanto/detail/chusho1.html
製品詳細: https://rigaku.com/ja/products/semiconductor-metrology/xrt/xrtmicron
※1:従来の1枚数時間を数分に短縮
汚染物質を非破壊かつ高感度・高速で検出ができる「ウェーハエッジ測定可能なTXRF検査装置」
従来の全反射蛍光X 線分析(TXRF)ではウェーハエッジ付近の正確な汚染物質の定量を行うことが困難でした。
本発明では、ウェーハエッジ付近の測定でもウェーハの面積を正確に算出し、単位面積当たりの汚染量を精度良く求めます。これにより、ウェーハ全面の汚染のマッピング測定が可能です。本技術は、全反射蛍光X線分析装置「TXRF‐3760」「TXRF-310Fab」「TXRF-V310」などに搭載されています。より高感度・高速で汚染物質の検出が可能となったことで、品質管理にさらに貢献します。

受賞名: 近畿地方発明表彰特別賞「大阪発明協会会長賞」
発明名称: 「ウェーハエッジ測定可能なTXRF検査装置」(特許第4514785号)
発明者: 清水 康裕、河野 浩、池下 昭弘
製品詳細: https://rigaku.com/ja/products/semiconductor-metrology/txrf
【発明奨励賞】
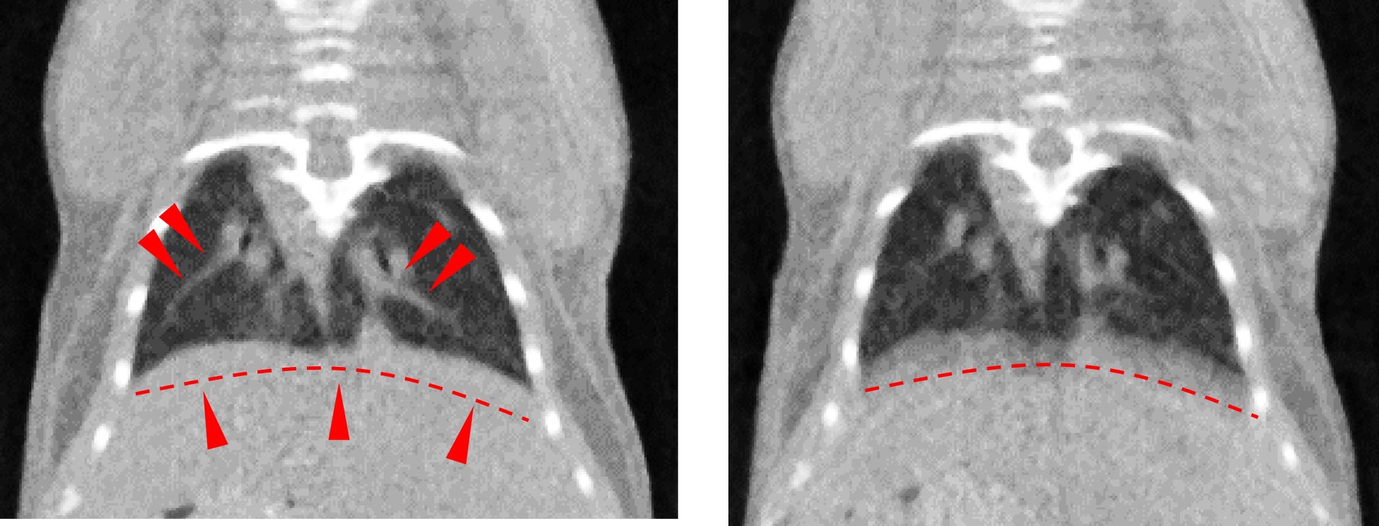
高効率&低被ばくで撮影ができる「息止めセンサー不要の呼吸同期X線CT」
従来の呼吸拍計などのセンサーを用いたCT同期撮影では、実際の呼吸に同期して撮影をするか、必要な投影角度のデータを収集するために複数回の撮影を行う必要がありました。
本技術は、CT撮影を行う際のX 線透過データから呼吸拍信号を抽出し、呼吸同期撮影を行います。これにより息止めや呼吸拍センサー無しで効率良く撮影することが可能です。また2回転撮影で呼吸同期データを収集できるため、複数回の撮影を行う必要がなく、短時間かつ低被ばくで呼吸同期CT撮影を行うことが可能です。本技術はX線CT装置「StellaScan」「CosmoScan」などに搭載されています。

受賞名:関東地方発明表彰「発明奨励賞」
発明名称:「息止めセンサー不要の呼吸同期X線CT」(特許第4852451号)
発明者: 原 幸寛、山田 鮎太
製品詳細:https://rigaku.com/ja/products/imaging-ndt/biological-imaging
・「XRTmicron」「StellaScan」「CosmoScan」は、株式会社リガクの商標または登録商標です。
【リガクグループについて】
リガクグループは、X 線分析をコアに熱分析等も含む最先端の分析技術で社会をけん引する技術者集団です。産業・研究用分析のソリューションパートナーとして1951年の創業以来、90か国以上でお客様と共に成長を続けています。日本国内で極めて高いシェアを誇り、海外売上は約70%に達しています。応用分野は、半導体や電子材料、電池、環境・エネルギーからライフサイエンスまで日々拡大中です。世界で2,000名超の従業員が「視るチカラで、世界を変える」イノベーションの実現に取り組んでいます。詳しくはrigaku-holdings.comをご覧ください。
このプレスリリースには、メディア関係者向けの情報があります
メディアユーザー登録を行うと、企業担当者の連絡先や、イベント・記者会見の情報など様々な特記情報を閲覧できます。※内容はプレスリリースにより異なります。
すべての画像
- 種類
- 商品サービス
- ビジネスカテゴリ
- 電子部品・半導体・電気機器
- ダウンロード
