<イヤホンの長時間利用による耳トラブルが増加>夏の耳ムレ、耳カビのリスクと症状を解説するセミナーを実施。解決策としてオープンイヤーの優位性についても解説
~セルフチェック&耳不快指数チャートを公開~
NTTソノリティ株式会社(本社:東京都新宿区、代表取締役社長:坂井 博、以下「NTTソノリティ」)は、没入ではなく“共存(Co-being)”をコンセプトとするNTTグループ初の音響ブランド「nwm(ヌーム)」の価値を社会に広げる取り組みの一環として、梅雨~夏の時期に密閉型イヤホン・ヘッドホンの着用がもたらす健康リスクへの意識と実態を明らかにすべく、全国の男女500名を対象に独自調査を実施しました。


今回、調査結果を踏まえ、密閉型イヤホンの使用による耳の不快感と健康リスクについて啓発し、ケア方法を発信するラウンドテーブルを2025年6月19日(木)に開催。
当日は、そらいろ耳鼻咽喉科センター北駅前院 院長である内尾 紀彦先生より、昨今の患者さんの傾向やイヤホンで起こる耳のトラブルや予防法についてお話しいただきました。


■外耳炎、耳掃除が主な原因から、イヤホン使用をきっかけに発症するケース増加
昨今、外耳炎や耳カビなども注目される中、今回のラウンドテーブルでは、そらいろ耳鼻咽喉科センター北駅前院 院長の内尾 紀彦先生より、昨今の患者の傾向やイヤホンで起こる外耳炎や耳のトラブルについてお聞きしました。
『夏は“外耳炎”や“耳カビ”の患者数が増加します。とくに多いのは「イヤホンの長時間利用」です。イヤホンを5時間以上使用している方は、使用時間が少ない方に比べ、外耳炎や耳のカビ、耳のかゆみなどの症状が出ることが約4倍になるとされています。ほかの原因として、「過度な耳掃除」や、この時期特有の「高温多湿な環境」も挙げられます。』

■なぜ夏に増える?
なぜ夏に増えるのかについて、『夏場は気温が高く、発汗量も多くなるため、外耳道が湿った状態が続き皮膚のバリア機能が低下。菌の繁殖を促し外耳炎を引き起こしやすくなります。
特に、プールや海で泳ぐ際には、耳に水が入ることがあります。水が入ると耳垢が水分を吸収して膨張し、耳が詰まったような感じや、音がこもって聞こえる場合があります。また、清潔ではない水が耳に入ることで、細菌感染を起こしやすくなります。』 その他、 補聴器の使用、アレルギー性皮膚炎、整髪料などの刺激についても解説いただきました。

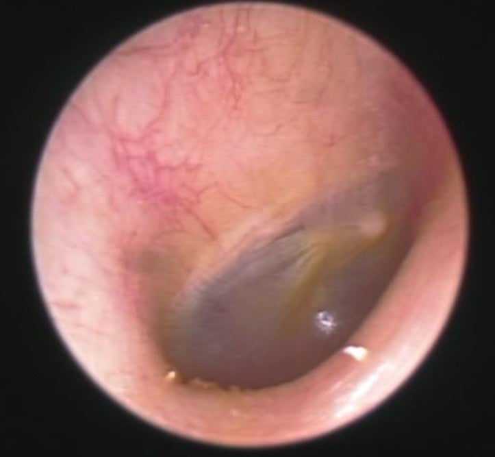
■外耳炎や外耳道真菌症(耳カビ)についても解説

『外耳炎は、耳の入り口から鼓膜までの「外耳道」と呼ばれる部分の皮膚に細菌が繁殖しておきる病気です。真菌(カビ)が繁殖すると、外耳道真菌症(耳カビ)になります。発症リスクが上がる原因のひとつとして「密閉型イヤホンの長時間使用」が挙げられます。
主な症状は、かゆみ、痛み、耳が詰まったような感じ、聞こえにくさです。特にかゆみは薬で治療しないとサイクルから抜け出せません。温度が20~30度、湿度が60%以上、風通しが悪く日陰だとこのようなカビが繁殖することがあります。密閉型のイヤホンを長時間装着すると、このようなカビができるリスクが高まります。治療法として、外来でカビを掃除して薬を塗ることを繰り返し行いますが、1ヶ月~数ヶ月かかることも稀ではありません。
耳のトラブルを放置すると、治りにくくなる、聴力が低下する、さらに悪化してしまい中耳や内耳、悪性外耳道炎などの重篤な病気が進行してしまう場合もあります。痒みや違和感は無理せずケアをしましょう。』と医師の観点から解説していただきました。
■耳ケアは見過ごされがち? でも約半数が我慢している状態
ラウンドテーブルではNTTソノリティ株式会社 事業本部 製品事業部 マーケティング&コミュニケーションG コミュニケーションディレクター 清野裕美より、「高温多湿の夏における耳の不快調査」の結果を紹介しました。調査の結果、87.4%の人がこの時期にもイヤホンを使用しており、その約半数が1時間以上利用。特に10代では、5時間以上使用する層も一定数存在しています。これは、昨今の動画・音楽視聴などのエンタメが加速していることも影響していると考えられます。

また、夏のケアに関しては、イヤホン蒸れや通気対策などの「耳のケア」を行っている人はわずか11%と見過ごされがちですが、実際には43.2%の人がイヤホン使用時に「耳の中がムズムズする」「痒い」「雑菌が気になる」などの不快を感じていることがわかりました。しかし、その54.6%が「我慢している」と回答。イヤホンやヘッドホンの装着中に感じる不快感は見過ごされる傾向があり、“耳のケア”もおざなりにされている実態を説明しました。
■独自のセルフチェックシートと「耳の不快指数」を公開!
調査の結果と耳トラブルの解説を踏まえ、内尾先生監修のもとに独自で開発した「耳の不快指数」セルフチェックシートを公開。
セルフチェックシートはイヤホンの使用状況や、かゆみ・ムズムズなどの自覚症状、対処の状況、過去の利用経験と、4つの観点から作成した15個の質問を用意しました。当てはまる項目にチェックを入れ、その数に応じて自分の耳の状態が5つのレベルに分類されます。

内尾先生からはこの5つのレベルの具体的な懸念点や対策法についても説明いただきました。『自覚症状がある予備軍ゾーンは、耳のバリア機能が弱まりかけて感染を起こしかけているということになります。 これを放置してしまうと、外耳炎や感染の進行の可能性がでてきます。ケア必要ゾーンまで来てしまうと外耳炎の一歩手前と言えます。常に軽度の外耳炎や皮膚炎の可能性があり、具体的な対処が必要となります。具体的にはイヤホンをできるだけしない、乾燥させるなどの対処が必要になります。医療介入推奨ゾーンに当てはまる明らかな異常な症状が複数該当してしまった場合は、外耳炎や湿疹真菌症など既に発症してしまっている可能性がございますので、速やかに耳鼻科に受診をする必要があります。
また、予兆のワードである「耳ぐじゅ」の状態をあえて例えるなら“生乾きの靴下、長靴の中の状態、また梅雨時の押入れといった、ジメジメと湿っている状態になります。』と、チャートの内訳とともに、耳ムレを日常に例えて解説いただきました。
また今回、チャートを作成するにあたり、調査とあわせて集めた不快指数の実態も披露。『意外にも快耳ゾーンの方が多くてホッとしたのですが、一方で予備軍ゾーンも10人に1人となっており、この確立としては会場の皆さまの中でも、2~3名いらっしゃるような状態です。これから夏にかけてジメジメする日が多くなるので、定期的にチェックして耳ムレ対策をしてほしいです。』とセルフチェックシートの活用を呼びかけました。


<チェック数とチャート詳細>
0~1:非常に良好。理想的な耳のコンディション。
2~4:耳の中に軽い湿気やムズムズ感などを感じたことがある。外耳炎の前段階にあたるリスクあり。
5~8:耳の中のムレ感・違和感を自覚している。既に耳のバリア機能が弱まりかけているサイン。
放置すれば炎症や感染の進行可能性あり。
9~12:耳の中がムレてかゆい、違和感が続く、イヤホンが当たると痛いなど、不快が継続している状
態。すでに軽度の外耳炎や皮膚炎の可能性あり。具体的な対処が必要。
13~15:痛みや強いかゆみ、耳垢の異常、分泌液など、明らかに異常な症状が複数該当。
外耳炎・湿疹・真菌症などを既に発症している可能性あり。すみやかに耳鼻科を受診すること。
■耳トラブルを未然に防ぐ!ケア方法を紹介

最後に内尾先生から、ケア方法について説明。『耳の中は皮膚が非常に薄くてデリケートです。この“湿気と熱”が続くと、細菌や真菌、いわゆる“カビ”が繁殖しやすくなります。悪化すると、耳の粘膜に真菌が発生して激しい痛みや発熱を伴うことも。ある研究では、“イヤホン表面の細菌数は便座の20倍”というデータも出ているため、清潔に保つ意識がとても大切です。今日からできる方法は大きく分けて3つ。
1つ目は「耳を清潔に保ち、乾燥させる」こと。汗をかいた後や水泳・入浴後は、清潔なタオルで耳の入り口や耳介を優しく拭き取りましょう。不快感がある場合は、ドライヤーの「冷風」を耳から30cm以上離し、数秒程度弱風を当てても良いです。ただし、温風や長時間使用は火傷や皮膚を傷めるため注意してください。綿棒で奥の水分を取ろうとすると、水を押し込んだり外耳道を傷つけたりする危険性があるため避けましょう。
2つ目は「耳かきは控えめにする」こと。耳には本来自浄作用があり、耳垢や古い皮膚は自然に排出されます。実は耳垢は、抗菌や保湿の役割も担っているため、過度な耳かきや奥までこする行為は、皮膚を傷つけて外耳炎のリスクを高めてしまいます。耳掃除は月1〜2回、見える範囲を優しく拭う程度にしましょう。少しでもかゆみや痛みがある場合は、無理せず耳鼻科を受診してください。
3つ目は「イヤホンのケア」です。夏はイヤホンのケアも重要になります。通り道である外耳道を塞いでしまうと耳ムレや耳カビのリスクがありますので、なるべくふさがないで高温多湿を避けるために長時間使用もしないようにしましょう。耳をふさがないオープンイヤー型は予防に大変おすすめです。通気性が良く蒸れにくいので、外耳炎の予防ができると考えられます。
今回のセルフチェックシートは早めに耳の症状に気づくきっかけにもなりますので、ご参考にいただければ幸いです。』と締めくくりました。
<登壇者プロフィール>
内尾紀彦(うちお・のりひこ)先生
そらいろ耳鼻咽喉科センター北駅前院院長。耳鼻咽喉科専門医、日本音声言語医学会認定音声言語認定医、めまい相談医。東京慈恵会医科大学を卒業後、同大学の耳鼻咽喉科学教室、JCHO東京新宿メディカルセンター、富士市立中央病院耳鼻咽喉科での勤務を歴て、2021年7月から「そらいろ耳鼻咽喉科センター北駅前院」院長に就任。フジテレビ「めざましテレビ」、テレビ朝日「ミュージックステーション」などメディア出演多数。
<プレスセミナー概要>
名称 :オープンイヤーと耳の不快に関するラウンドテーブル
開催日時:2025年6月19日(木)13:00~14:30
主催 : NTTソノリティ株式会社
登壇者 :・NTTソノリティ株式会社 事業本部 製品事業部 マーケティング&コミュニケーションG
コミュニケーションディレクター 清野 裕美
・そらいろ耳鼻咽喉科センター北駅前院 院長 内尾 紀彦 先生
■【夏は耳スピ!】耳をふさがない、夏の耳ムレに「耳スピ」を提案
耳トラブル&リスクを回避して、快適に音を楽しもう!この夏をノリ切る、新定番「耳スピ」。
暑さや湿気の厳しい夏こそ、NTTの技術を搭載した耳をふさがないイヤホン「耳スピ」を取り入れることで、耳の蒸れやこもりを感じることなく快適にリスニングをお楽しみいただけます。

NTTの技術搭載、耳をふさがないイヤホン「耳スピ」とは
nwmのオープンイヤー型デバイス。イヤホンなのに、まるでスピーカーのような開放感と臨場感のあるサウンドであることから「耳スピーカー」、略して「耳スピ」という愛称でシリーズを展開中。NTT独自のPSZ(パーソナライズドサウンドゾーン)技術などの搭載により、耳をふさがないのに音漏れしにくく、周囲の音も聞こえるのでコミュニケーションも快適です。

POINT 1
イヤホンなのに、まるでスピーカーのような開放感と臨場感のあるサウンド。
POINT 2
耳をふさがないのに音漏れしにくく、周囲の音が聞こえてコミュニケーションも快適。
POINT 3
耳に負担をかけない、軽やかな着け心地。蒸れナシ。圧迫感ナシ。長時間ストレスフリー。



製品一覧
オープンイヤー型 オーバーヘッド 耳スピーカー「nwm ONE(ヌーム ワン)」
圧倒的な開放感が生む、新時代のサウンド体験。
オープンイヤーならではの広がりのある空間表現と軽い装着感でありながら、2wayドライバー搭載により圧倒的な再生周波数帯域を両立したフラッグシップモデル。自分の音と周囲の音を融合させる、機能美を追求したミニマルなデザイン。
製品ページ:https://nwm.global/products/one

オープンイヤー型 完全ワイヤレス 耳スピーカー「nwm DOTS」
聴く、話す、自由自在。
音楽鑑賞はもちろん通話にも最適なマルチユースモデル。完全新規設計のドライバーにより、高音質かつパワフルなオーディオ体験を実現。 オンオフ問わないシックなツートーンカラーと快適な装着感で、一日中着けっぱなしで活躍。
製品ページ:https://nwm.global/products/dots

オープンイヤー型 ネックバンドワイヤレス 耳スピーカー「nwm GO(ヌーム ゴー)」
アクティブな日常を、音鮮やかに。
アウトドアやワークアウトと相性抜群のアクティビティモデル。軽量かつ柔軟性に優れたネックバンド設計に、迫力あるサウンド。趣味や遊びのモチベーション向上をサポートするとともに、仲間とのスムーズなコミュニケーションを実現。
製品ページ:https://nwm.global/products/go

オープンイヤー型 有線 耳スピーカー「nwm WIRED(ヌーム ワイヤード)」
ワークスタイルを、もっと開放的に。
オープンイヤーが気になるすべての人が手に取りやすいよう、機能性とコストパフォーマンスを追求したエントリーモデル。有線なので遅延や充電切れの心配がなく、オンライン会議はもちろん、ゲームや動画視聴にも最適。
製品ページ:https://nwm.global/products/wired


搭載技術
通話や通信の課題解決から生まれた、NTTの音を操るコア技術を搭載しています。
PSZ技術
― 音を閉じ込め、音漏れを抑える
究極の矛盾を両立させる、NTT独自の「PSZ(パーソナライズドサウンドゾーン)」技術※1。ある音波(正相)に対し180 度位相を反転させた波形(逆位相)を重ねると音が消える原理を応用。独自のハードウェア設計により耳元の一定エリアに音がとどまるため、耳をふさがなくても周囲への音漏れを抑えます。

Magic Focus Voice
― 必要な音だけ、クリアに取り出す
声の特性を熟知し、開発された、NTTの特許技術「Magic Focus Voice」※1,2。音が2つのマイクに到達する時間差を利用して音響空間を認識し、話者を特定する「ビームフォーミング」、雑音を除去して音声だけを抽出する「スペクトルフィルター」の2つの技術をハイブリッド処理。周囲の音をカットし、あなたの「声」だけ届けます。

※1 NTTコンピュータ&データサイエンス研究所が開発した技術です。
※2 nwm ONEおよびnwm DOTSに搭載している技術です。
実施中キャンペーン
「夏は耳スピ!キャッシュバックキャンペーン」
対象製品を期間中にご購入・ご応募いただいた方に抽選で33人に1人、10,000円分をキャッシュバックいたします。抽選にはずれても、製品に応じた金額を全員にキャッシュバックいたします。

<キャンペーン対象製品>
オープンイヤー型 オーバーヘッド 耳スピーカー nwm ONE
オープンイヤー型 完全ワイヤレス 耳スピーカー nwm DOTS
オープンイヤー型 ネックバンドワイヤレス 耳スピーカー nwm GO
<賞品>
抽選で33人に1名、10,000円分のキャッシュバック。
抽選にはずれた方でも、製品ごとに以下の金額をキャッシュバックいたします。
•nwm ONE・・・4,000円分
•nwm DOTS・・・2,000円分
•nwm GO・・・1,500円分
詳細は「夏は耳スピ!キャッシュバックキャンペーン」特設ページをご覧ください。
https://nwm.global/pages/cbcp2025
■「nwm(ヌーム)」について
nwm(ヌーム)は、変化するライフスタイルの中で自分の世界と周囲の世界をシームレスにつなぐために生まれたNTTグループ初の音響ブランド。没入ではなく”共存(Co-being)”をコンセプトに、音を操るコア技術を活用したオープンイヤー型デバイスを開発しています。イヤホンなのに、まるでスピーカーのような新体験、耳スピーカー「耳スピ」を約2年半で8製品展開し、音の技術で世の中の課題を解決する音響ブランドへ成長しています。New Wave Makerの頭文字をとったブランド名には、音のテクノロジーと新しい発想でよりよい暮らしを提案し、世の中に新しい波を起こしていくという想いが込められています。https://nwm.global/
■NTTソノリティについて
最先端の音響信号処理技術を用いて音響関連事業を行う会社として2021 年9 月1 日に設立。「音のテクノロジーで心を動かし、新しいスタンダードを作っていく。」というパーパスのもと、音を仕分ける・音を閉じ込める・特定の音を見つけ出す、の3つの技術を使い、ビジネスやプライベートなどさまざまなシーンで一人ひとりに快適な音響空間を実現する製品やサービスを提供しています。2022年11月には、音響ブランド「nwm(ヌーム)」を発表。オーディオ機器の開発・販売、パートナー企業との製品開発、音声DXの3つの事業をメインに、音響技術を駆使したソリューションで世の中の課題を解決、新たな生活価値やライフスタイルを生み出します。
すべての画像
