業界初!4in1(オールインワン)歯科用X線CT装置「PanoACT 3D Upgrade」の取扱開始。
PanoACTシリーズは、厚みのあるパノラマ画像からデンタル画像を再構成し、パノラマ装置でありながらデンタルの診療報酬算定が厚生労働省で初めて認められました。

株式会社オール・デンタル・ジャパン(https://all-dental-japan.com/)は株式会社アクシオン・ジャパン(https://www.axionjapan.com/)との連携により、業界初!4in1(オールインワン)歯科用X線CT装置「PanoACT 3D Upgrade」の取扱を開始しました。
【目次】
-
既存の機器の課題
-
アクシオン・ジャパンはココが違う!
-
日本初!1台でパノラマとデンタル撮影
-
CTの苦手分野を克服!
CBCT/パノラマ/セファロ複合機の課題解決に挑む!
1.既存の機器の課題
1990年代後半に開発されたCBCTですが、近年導入される歯科医院が増えており、3次元的にう蝕の広がりや歯髄への近接、歯根膜腔の拡大、病変の広がりや未処置根管の発見などを事前に把握できることから歯科の画像診断に革命を起こした製品と言えます。
さて、CBCTはCT撮影専用機として開発されましたが、ここ10年ほどでCT撮影専用機は少なくなり、CBCT/パノラマ/セファロ複合機として製品ラインナップされることが殆どとなりました。
1台レントゲン装置があれば、普段使いのパノラマ撮影やセファロ撮影ができるし、より細かに3次元的に撮影が必要であればCBCT撮影ができるとても有用な装置です。
最近ではCBCTに必要なフラットパネルも昔を思えばかなり低コストで製造できるようになり、メーカーによっては、従来の半額くらい安価なCBCT/パノラマ/セファロ複合機が市場にリリースされています。
ただCBCT/パノラマ/セファロ複合機にはパノラマ画像の不鮮明さという大きな課題があります。
せっかく高額な費用を支払ってCBCT/パノラマ/セファロ複合機を購入したのに、パノラマの画像が悪いと実感されている先生は多いことでしょう。
購入時、メーカーの営業の方から説明を受けた時に画像が良く見えたのは奇跡的に撮れたチャンピョンデータで説明を受けていたからかもしれません。
一見綺麗そうに見える画像も無理やりエッヂ強調して画像の粗いものが多いと感じます。パノラマの不鮮明さはどこから起こるのか、それはフラットパネルの性能に依存しています。
先に申し上げたようにほぼ全てのメーカーがCBCT/パノラマ/セファロ複合機としてリリースしているため、1枚のフラットパネルセンサーをCT撮影とパノラマ撮影で共用しています。
コストを抑えた構造にするには、どうしようもない部分もあるのですが、このフラットパネルの半導体の感度がパノラマを撮影するにしては極端に悪いこと、また1秒間に何フレームの画像データを処理できるかを表すフレームレートが数フレームと極端に低いことが原因だと考えられます。
2.アクシオン・ジャパンはココが違う!
2002年、2015年のノーベル物理学賞獲得で話題になったように、JAXA など多くの研究機関で、空から降ってくる微細な宇宙線をキャッチするための研究が進められています。
その中でも注目されているのは、CdTe(カドミウムテルライド)半導体で、【図1】に示すように、一般のフラットパネルセンサーで使用されてきているSi(シリコン)は原子番号が14、Ge(ゲルマニウム)は32に対して、CdTeの場合、実効原子番号が50と大きく、SiやGeを使用した放射線検出素子に比較して、CdTeを用いた検出器はエックス線の吸収率、つまり感度が非常に高く、1秒間に300フレームという高フレームレートで多くの画像情報をもたらすことができることから医療分野や産業分野で幅広い応用展開されています。

課題解決のために、半導体そのものを多くの他社が採用しているものではなく、上記のCdTe(カドミウムテルライド)半導体センサーを採用することにしました。
実際にアクシオン・ジャパンのパノラマ画像は、北京で開催された放射線学会でどれだけ読影のしやすい鮮明な画像であるか発表されています。
【図2】の左側に示すように一般のフラットパネルセンサーのエックス線→蛍光→フォトダイオードという多層構造だとノイズが多くなるのに対して、【図2】の画像のように各画素単位で線量に比例した電気信号に直接変換するためノイズが少なく、低吸収から高吸収領域まで広いレンジで画像のつぶれが少ないのが特徴です。

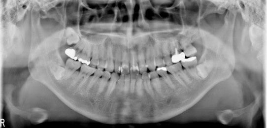
【図3‐1】の画像はCBCT/パノラマ複合機のフラットパネルで撮影されたパノラマ画像です。
全体的に画像にザラツキがありますが、特に真ん中の部分が白くなっています。これは、どうしても歯を全体的に撮影しようとすると頸椎が映りこんでしまう影響です。
見て頂けると分かるように、これでは特に前歯の部分の画像がボケて詳細な診断までは難しく、多くの歯科医が画像に対する不満をお持ちです。
従来製品の概念を打ち破り、CdTe半導体センサーで撮影した膨大なボリュームデータから画像ノイズを除いて見たい部分だけ出力することができるので、【図3‐2】の画像のように頸椎の影響がなく、骨梁構造が明瞭に描出された鮮明な画像出力ができます。


【図4】に示すCdTe半導体センサーを搭載したCBCT/パノラマ/セファロ複合機PanoACT 3D Upgradeシリーズを製品化しています。
本製品は、上述のパノラマ画像の鮮明さだけでなく、CdTeがもたらす豊富な画像情報をもとに画像の再構成の後に焦点面を自由に変更することが可能であり、次の章で述べるように、日本で初めてパノラマ撮影とデンタル撮影が1台で行え、最先端の画像の鮮明さや低被ばく線量を兼ね備えた革新的な装置として歯科業界で話題となっています。また、セファロ画像についてもCdTe半導体センサーを用いて撮影していることから、従来製品に比べて、軟組織、硬組織がバランスよく観察できると評価されています。


3.日本初!1台でパノラマとデンタル撮影
PanoACT 3D Upgradeシリーズは、パノラマ画像、セファロ画像の鮮明さだけでなく、業界で初めてトモシンセシス技術を搭載し、断層位置や方向を撮影後に調整(画像再構成)できる装置です。従来の歯科医院のレントゲン室にはパノラマ装置とデンタル装置2台あることが一般的ですが、アクシオン・ジャパンでは、検査対象に適した断層域内の焦点面を選択して画像再構成できるので、パノラマ撮影装置でありながらデンタル撮影も可能で、日本で初めて1台でありながら双方の診療報酬の認可を受けた1台2役の装置です。
デンタル撮影に関しては、歯が最も明瞭に描出されている断面位置を自動的に作成するオートフォーカス機能を備えており、【図5】に示すように、短時間で全顎のデンタル撮影(10枚法や14枚法)のテンプレートを自動的に作成することができます。


4.CTの苦手分野を克服!
CBCTの課題を先生にお聞きすると、金属アーチファクトとお答えになる先生が多いでしょう。
金属アーチファクトは、成人になると歯の治療により金属の充填物、補綴物、インプラントなどを施されていることが多く、撮影により金属部を通過したエックス線は著しいフォトン不足を発生し、フラットパネルにたどり着く信号がゼロに近づくために、この部分の画像を再構成するコンピュータアルゴリズムでは画像を再構成することができず、白い放射状像として描出されるというのが発生原因と言われています。
PanoACT 3D Upgradeシリーズは、パノラマやセファロの高画像品質だけでなく、CBCTの課題解決にも取り組んでおり、【図6ー2】に示したように、金属アーチファクト低減機能を開発しています。
アクシオン・ジャパンのアルゴリズムは、金属によって 生じた投影データ上の誤差を補正することで金属アーチファクトを低減する方法で、アーチファクトの発生要因によらずに投影データの補正を行うため、金属部が連続してフォトン不足が深刻な状態においても効果的に影響を低減できていると高評価を受けています。


もう一つCBCTの課題を挙げるとすれば、CT値(ハンスフィールド値)に定量性が無いということでしょう。これは、医科用CTと歯科のCBCTの構造的な違い、つまり医科用CTと異なり、CBCTの場合、受け側であるセンサー側にコリメータ―などのグリッドが無いので、どうしても余計なフォトンがセンサーに入射してしまうことが原因と言われています。
PanoACT 3D Upgradeでは、補正技術を用いて【図7】に示すように医科CTのCT値並みの数値が表示されるように開発しましたので、高空間分解能でありながらCT値にもこだわった装置です。


「ADJ×株式会社アクシオン・ジャパン」の強みは、歯科医院のアフターフォローとサポート力にあります!

ADJとタッグを組んでるからこそ、より手厚く歯科医院をサポートすることができます。
単に製品を提供するだけでなく、その製品を最大限に活用し、患者様の治療に貢献する方法を提案することができるのは、ADJに協賛した株式会社アクシオン・ジャパンの強みです。
また、保守契約プランはフルサポート保守であることが特徴です。
保守料には、交通宿泊費、作業費用、一般交換部品代、高額部品(センサー、X線管球)の交換が含まれております。
初年度は無料保証(製品保証含む)となります。
一般的に保守料は、減価償却の6年が過ぎると7年目以降保守料が年々上がりますが、アクシオン・ジャパンでは、2年目から最大10年目までの費用は一定額です。
11年目以降は、必要な時に必要な費用をご負担いただくオンコール契約となります。
歯科医療の現場で働く皆様が、最高の治療結果を実現できるようにサポートすることが目標です。
アクシオン・ジャパンは、全国どこへでも、訪問デモを実施しております。
先生のご都合の良いお昼休みや診療後の時間帯に合わせ、約30分の説明と質疑応答(1時間程度)で実施いたします。
ご説明の内容としましては、CTソフトの金属アーチファクト低減技術と高精度CT値表示技術や高画質画像が出力される仕組みを、ハード・ソフト両面からご説明させていただきます。
また、PanoACTソフトによる2.5次元画像の有用性もご体感いただきます。
最後に、レントゲン室の状況を確認させていただき、設置に関するご相談を承ります。
また、池袋ショールームでは、実機によるデモンストレーションも随時開催しておりますので
ご興味がございましたらお気軽にご相談ください!
【池袋ショールーム】
〒171-0022
東京都豊島区南池袋2-30-12 Bitビル10F
※池袋駅東口より徒歩5分
※事前予約制
土日祝日・時間外OK!
御希望の曜日・時間にご来場いただけます。
株式会社オール・デンタル・ジャパンHP商品一覧【歯科用CT・レントゲン(株式会社アクシオン・ジャパン)】
【問い合わせ窓口】
株式会社オール・デンタル・ジャパン
TEL:03-6820-1000
Mail:info@all-dental-japan.com
担当:秋谷・小向・稲葉
すべての画像
- 種類
- 商品サービス
- ダウンロード
