国産初の次世代フォトンカウンティングCTを目指した臨床研究開始
キヤノン株式会社(以下、キヤノン)、キヤノンメディカルシステムズ株式会社(以下、キヤノンメディカル)、国立研究開発法人国立がん研究センター(以下、国立がん研究センター)は、次世代のX線CTとして期待されるフォトンカウンティング検出器を搭載したⅩ線CTによる臨床研究を開始しました。
撮影イメージ
EPOCは、がん(Cancer)の治癒(Cure)及び克服(Conquer)(Conquer and Cure Cancer=“3C”)を目指し、がんの医薬品や医療機器の開発に向けたシーズ探索から前臨床、早期臨床試験までを一貫して支援・実施しています。EPOCは、異分野領域を含めて横断的なネットワークを基盤とした早期トランスレーショナル研究開発の拠点として、先進的ながん治療薬・医療機器開発を推進し、産官学民の共創による画期的医療の導出を多数実現しており、本研究開発も重要な取り組みの一つです。
フォトンカウンティング検出器の原理は、日本の卓越したスペーステクノロジー(宇宙技術)の中で作られた技術の応用によって生まれました。従来装置に比べて大幅な被ばく低減(より優しく)、画像の高精細化による病変の検出能向上(よりきれいに)、体内の複数の物質構成の弁別とその優れた定量性画像による腫瘍組織の性状や悪性度の評価等、Oncology領域において診断から治療効果判定、予後評価まで診断精度の向上(より詳しく)が期待されています。
2020年からEPOCならびに東病院とPCCTの実用化に向けた共同研究(※2)を開始し、これまでの研究活動の成果として北米放射線学会をはじめ、欧州放射線学会議ならびに日本放射線技術学会総会で多くの学術研究発表を全世界に向けて発信し、日本放射線技術学会総会ではCyPos賞を受賞するなど、その基礎性能の高さが広くグローバルに評価されています。
なお、4月13日(木)~16日(日)に横浜で開催される第82回日本医学放射線学会総会、第79回日本放射線技術学会総会学術大会において、東病院より学術発表、セミナー講演を予定しています。
東病院 放射線診断科 科長の小林達伺医師は「PCCTは、従来CTと比較して低被ばくであるにも関わらず、画像ノイズやアーチファクトの少ない良好な画像が得られています。さらに画像の高精細化およびマルチエナジー解析が可能になることで、新しい画像診断方法や薬効評価方法などの開発に期待が持てます。」と述べています。
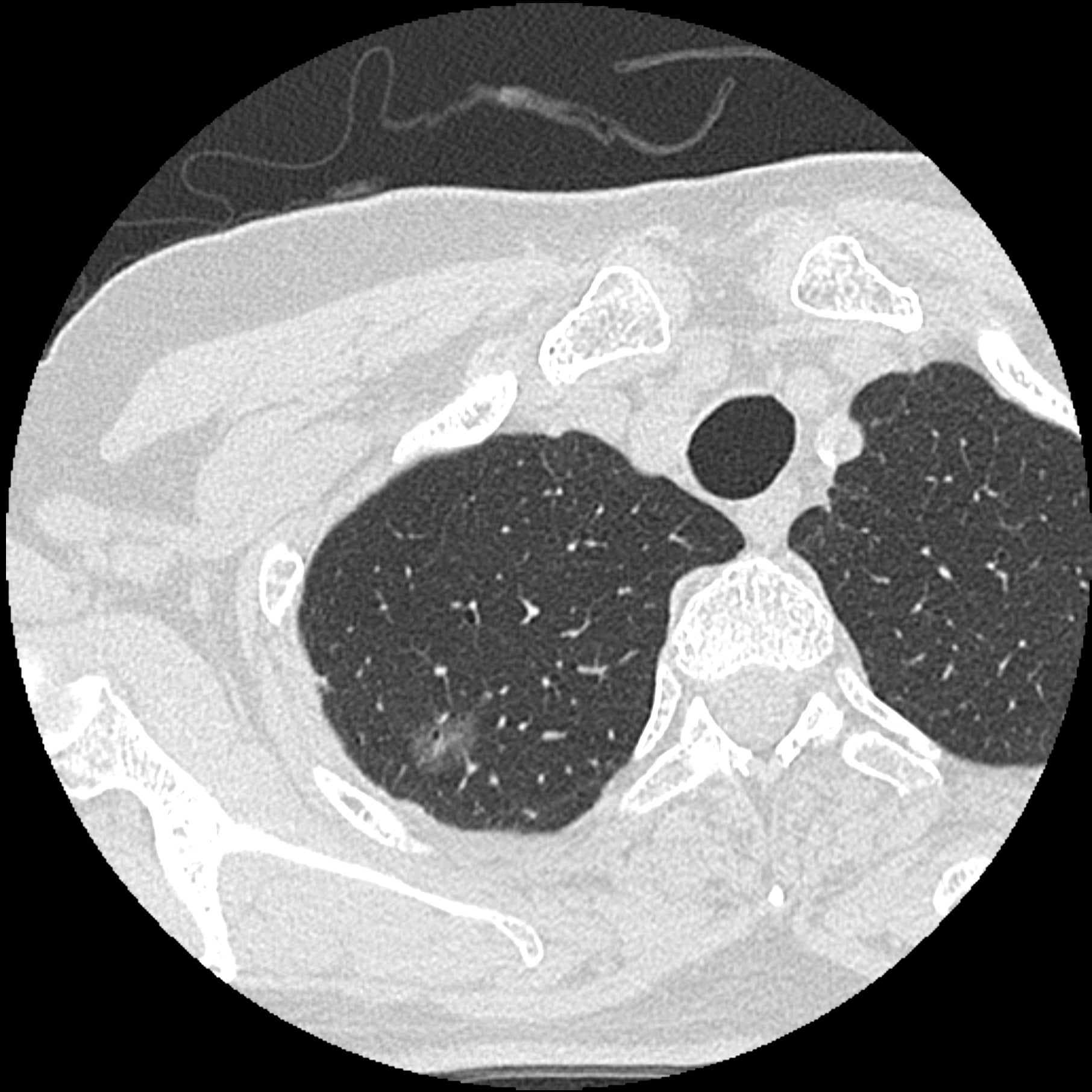
PCCTの肺がん疑い症例
a 胸部CT画像5mm厚
b Thin slice CT画像
c 全肺野3D画像(黄色部が病変)
d 胸部~上腹部造影CT冠状断画像
キヤノン専務執行役員・キヤノンメディカル代表取締役社長の瀧口登志夫は「国立がん研究センターと連携・共創することで、先生方が実際に使用された際のご意見や評価などを直接お聞きすることができ、PCCTの実用化が飛躍的に加速することにつながります。キヤノングループの技術を結集したPCCTのより優しく、よりきれいに、より詳しい画像情報を全世界に提供することで、よりよい医療の実現に貢献できると考えています。PCCTの早期実用化を通じてCTグローバルシェアNo.1を実現し、画像診断技術のさらなる発展に寄与してまいります」と語っています。
※1. 2023年4月10日現在。キヤノン調べ。
※2.https://jp.medical.canon/News/PressRelease/Detail/107617-834
このプレスリリースには、メディア関係者向けの情報があります
メディアユーザーログイン既に登録済みの方はこちら
メディアユーザー登録を行うと、企業担当者の連絡先や、イベント・記者会見の情報など様々な特記情報を閲覧できます。※内容はプレスリリースにより異なります。
すべての画像
- 種類
- その他
- ビジネスカテゴリ
- 医療・病院電子部品・半導体・電気機器
- ダウンロード
